google ads
Diagnostic Case Quiz ❯ Anatomical Region Quiz: Chest


Previous Case 9 of 173 Next

CTisus CT Scanning

Login / Register to save your answers and track your progress


Email Address:

Password:


Forgot your password?

Create a free account
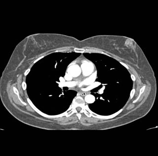
The best dx in this case is?

CTisus Quiz   CTisus Quiz
lung cancer
lymphoma
breast cancer
melanoma

Privacy Policy

Copyright © 2025 The Johns Hopkins University, The Johns Hopkins Hospital, and The Johns Hopkins Health System Corporation. All rights reserved.