google ads
Diagnostic Case Quiz ❯ Anatomical Region Quiz: Chest


Previous Case 170 of 171 Next

CTisus CT Scanning

Login / Register to save your answers and track your progress


Email Address:

Password:


Forgot your password?

Create a free account
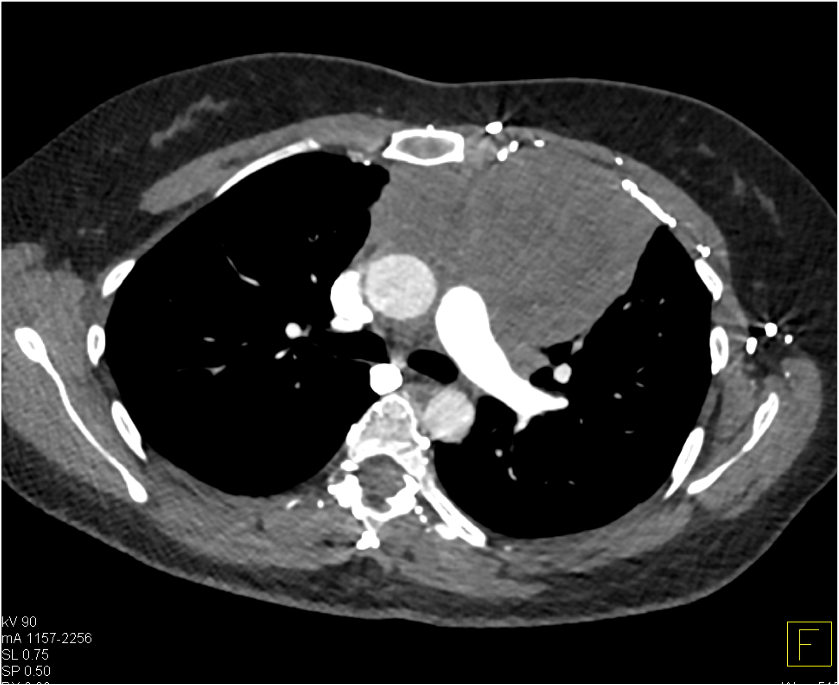
The most likely diagnosis in this 30ish year old with FUO is?

CTisus Quiz   CTisus Quiz
teratoma
thymoma
ectopic thyroid tissue
B-cell lymphoma

Privacy Policy

Copyright © 2025 The Johns Hopkins University, The Johns Hopkins Hospital, and The Johns Hopkins Health System Corporation. All rights reserved.