google ads
Diagnostic Case Quiz ❯ Anatomical Region Quiz: Cardiac


Previous Case 23 of 137 Next

CTisus CT Scanning

Login / Register to save your answers and track your progress


Email Address:

Password:


Forgot your password?

Create a free account
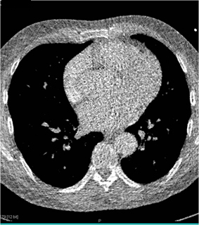
On this cardiac CTA why do the images seem of such poor quality?

CTisus Quiz   CTisus Quiz
it was a poorly performed CCTA and the wrong mAs/kVp was chosen
the image was reconstructed from data outside the selected prospective rendering window (60-75%)
iterative reconstruction was used
the patient had a PVC

Privacy Policy

Copyright © 2025 The Johns Hopkins University, The Johns Hopkins Hospital, and The Johns Hopkins Health System Corporation. All rights reserved.