google ads
Diagnostic Case Quiz ❯ Anatomical Region Quiz: Cardiac


Previous Case 14 of 137 Next

CTisus CT Scanning

Login / Register to save your answers and track your progress


Email Address:

Password:


Forgot your password?

Create a free account
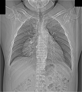
The best diagnosis in this case is

CTisus Quiz   CTisus Quiz
Ebsteins Anomaly
sarcoma of the pericardium
sarcoma the right atrium
Congenital absence of the pericardium

Privacy Policy

Copyright © 2025 The Johns Hopkins University, The Johns Hopkins Hospital, and The Johns Hopkins Health System Corporation. All rights reserved.