google ads
Diagnostic Case Quiz ❯ Anatomical Region Quiz: Cardiac


Previous Case 137 of 137 Next

CTisus CT Scanning

Login / Register to save your answers and track your progress


Email Address:

Password:


Forgot your password?

Create a free account
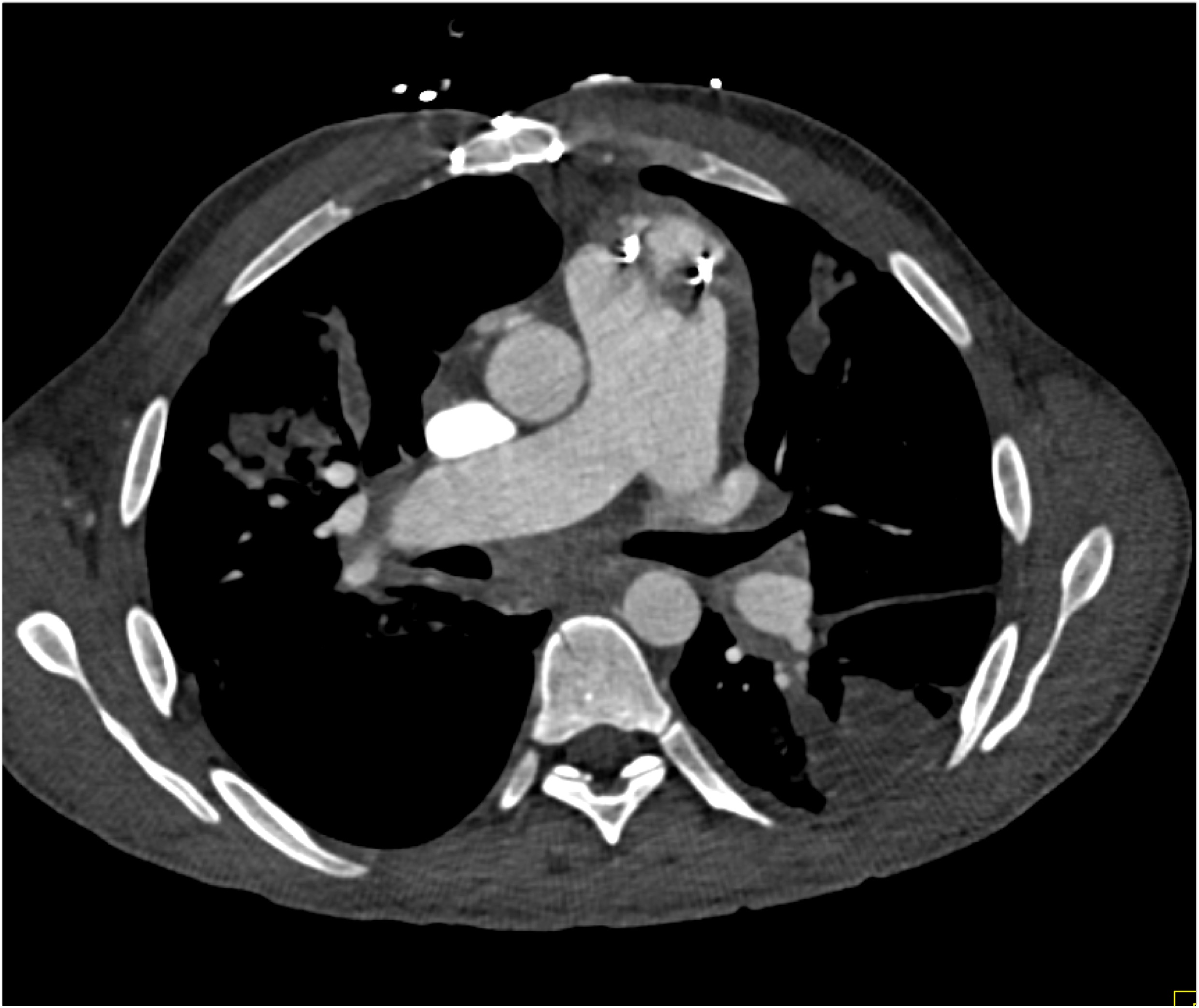
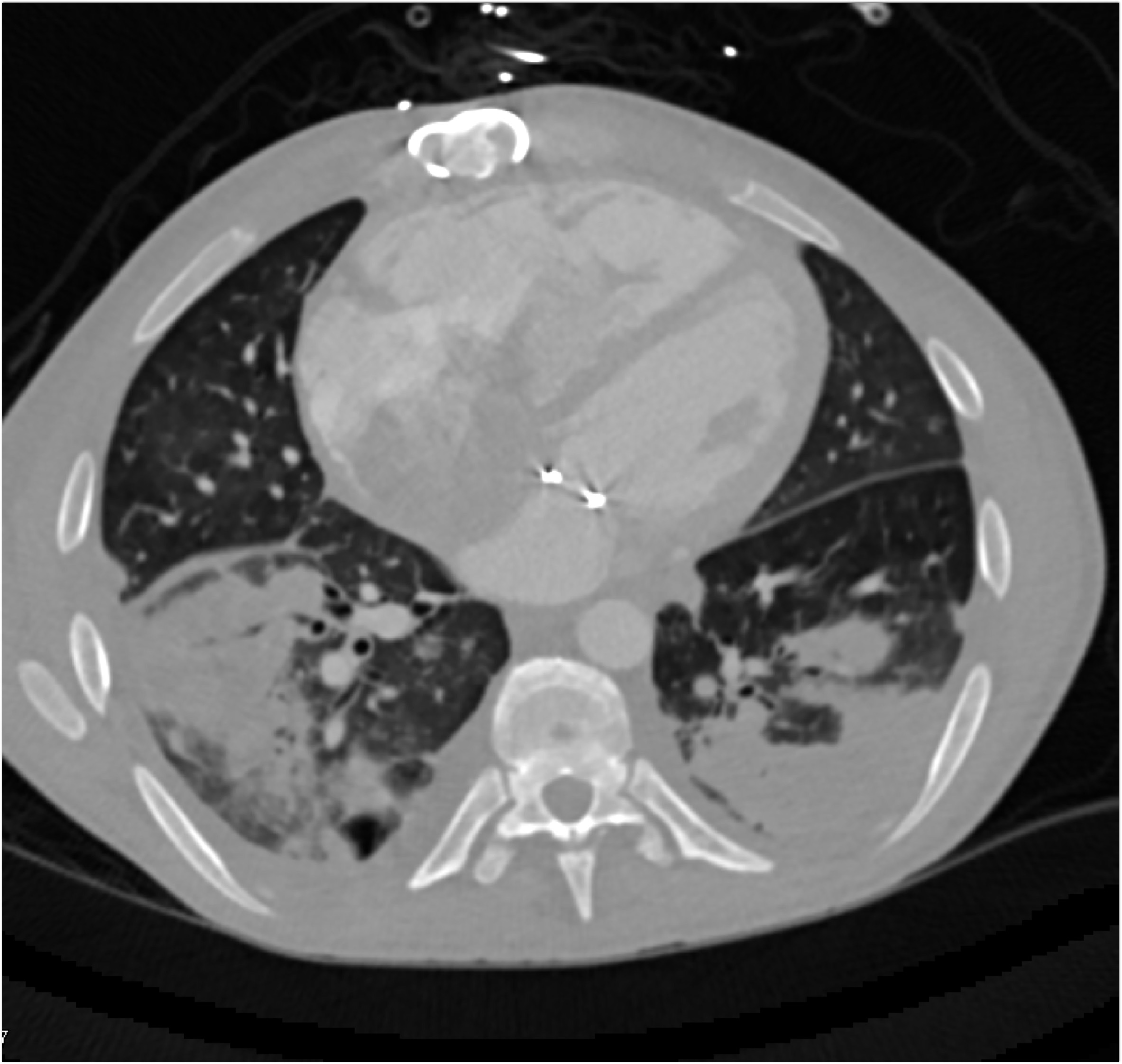
The most likely diagnosis in this case is?

CTisus Quiz   CTisus Quiz
vegetations in pulmonary valve
failed pulmonic valve
normal appearance of repaired pulmonary valve
abscess of the pulmonary artery

Privacy Policy

Copyright © 2025 The Johns Hopkins University, The Johns Hopkins Hospital, and The Johns Hopkins Health System Corporation. All rights reserved.