google ads
Diagnostic Case Quiz ❯ Anatomical Region Quiz: Adrenal


Previous Case 49 of 121 Next

CTisus CT Scanning

Login / Register to save your answers and track your progress


Email Address:

Password:


Forgot your password?

Create a free account
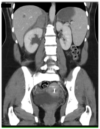
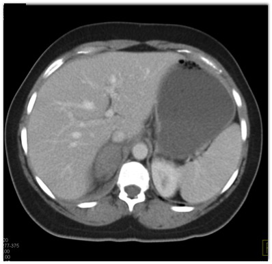
In this patient with right upper quadrant pain the most likely diagnosis is?

CTisus Quiz   CTisus Quiz
adrenal metastases
aldosteronoma
adrenal hemorrhage
acute hepatitis

Privacy Policy

Copyright © 2025 The Johns Hopkins University, The Johns Hopkins Hospital, and The Johns Hopkins Health System Corporation. All rights reserved.