google ads
Diagnostic Case Quiz ❯ Anatomical Region Quiz: Adrenal


Previous Case 47 of 121 Next

CTisus CT Scanning

Login / Register to save your answers and track your progress


Email Address:

Password:


Forgot your password?

Create a free account
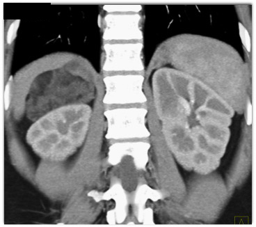
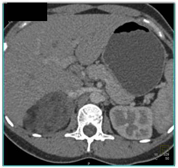
The best diagnosis in this case of an incidental adrenal mass is?

CTisus Quiz   CTisus Quiz
adrenal adenoma
adrenal myelolipoma
pheochromocytoma
indeterminate lesion

Privacy Policy

Copyright © 2025 The Johns Hopkins University, The Johns Hopkins Hospital, and The Johns Hopkins Health System Corporation. All rights reserved.