google ads
Diagnostic Case Quiz ❯ Anatomical Region Quiz: Adrenal


Previous Case 44 of 121 Next

CTisus CT Scanning

Login / Register to save your answers and track your progress


Email Address:

Password:


Forgot your password?

Create a free account
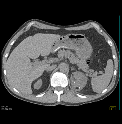
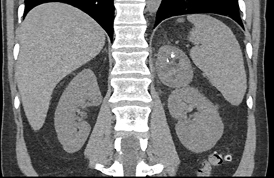
The workup for the patient incidental left adrenal mass is?

CTisus Quiz   CTisus Quiz
laparascopic adrenalectomy
CT or Ultrasound guided biopsy
an adrenal protocol CT
lesion is benign with no need for routine folllow-up

Privacy Policy

Copyright © 2025 The Johns Hopkins University, The Johns Hopkins Hospital, and The Johns Hopkins Health System Corporation. All rights reserved.