google ads
Diagnostic Case Quiz ❯ Anatomical Region Quiz: Adrenal


Previous Case 35 of 121 Next

CTisus CT Scanning

Login / Register to save your answers and track your progress


Email Address:

Password:


Forgot your password?

Create a free account
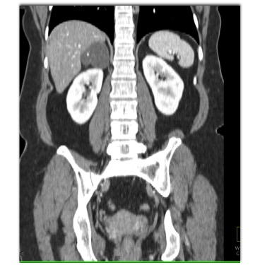
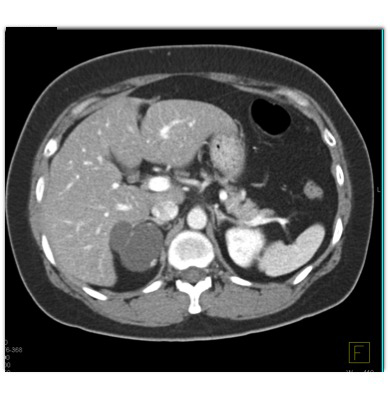
The most likely diagnosis for the right adrenal mass is?

CTisus Quiz   CTisus Quiz
adrenal cyst
adrenal hematoma
adrenal lymphangioma
adrenal carcinoma

Privacy Policy

Copyright © 2025 The Johns Hopkins University, The Johns Hopkins Hospital, and The Johns Hopkins Health System Corporation. All rights reserved.