google ads
Diagnostic Case Quiz ❯ Anatomical Region Quiz: Adrenal


Previous Case 33 of 121 Next

CTisus CT Scanning

Login / Register to save your answers and track your progress


Email Address:

Password:


Forgot your password?

Create a free account
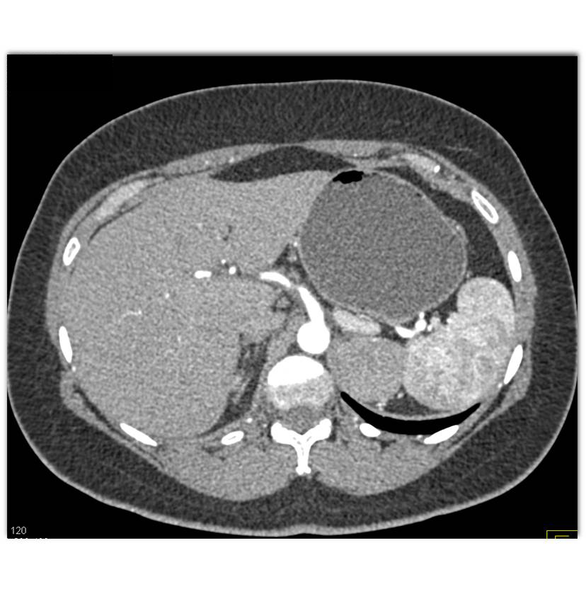
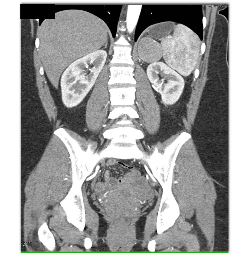
The least likely diagnosis for this 5cm left adrenal mass is?

CTisus Quiz   CTisus Quiz
adrenal adenoma
adrenal carcinoma
pheochromocytoma
adrenal lymphoma

Privacy Policy

Copyright © 2025 The Johns Hopkins University, The Johns Hopkins Hospital, and The Johns Hopkins Health System Corporation. All rights reserved.