google ads
Diagnostic Case Quiz ❯ Anatomical Region Quiz: Adrenal


Previous Case 31 of 121 Next

CTisus CT Scanning

Login / Register to save your answers and track your progress


Email Address:

Password:


Forgot your password?

Create a free account
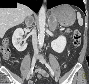
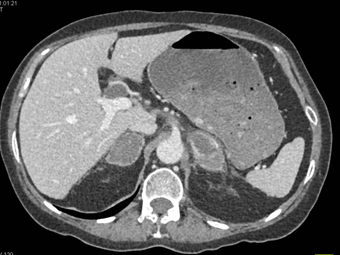
The least likely primary tumor in this case is

CTisus Quiz   CTisus Quiz
metastatic melanoma
lung cancer (NSCL)
colon cancer
renal carcinoma

Privacy Policy

Copyright © 2025 The Johns Hopkins University, The Johns Hopkins Hospital, and The Johns Hopkins Health System Corporation. All rights reserved.