google ads
Diagnostic Case Quiz ❯ Anatomical Region Quiz: Adrenal


Previous Case 29 of 121 Next

CTisus CT Scanning

Login / Register to save your answers and track your progress


Email Address:

Password:


Forgot your password?

Create a free account
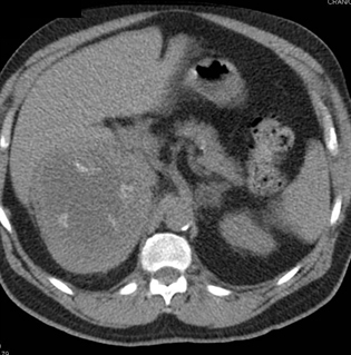
The most likely dx in this case of a newly detected adrenal mass is?

CTisus Quiz   CTisus Quiz
lymphoma
primary adrenal carcinoma
old adrenal hematoma
metastatic melanoma

Privacy Policy

Copyright © 2025 The Johns Hopkins University, The Johns Hopkins Hospital, and The Johns Hopkins Health System Corporation. All rights reserved.