google ads
Diagnostic Case Quiz ❯ Anatomical Region Quiz: Adrenal


Previous Case 23 of 121 Next

CTisus CT Scanning

Login / Register to save your answers and track your progress


Email Address:

Password:


Forgot your password?

Create a free account
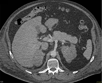
In this patient with no known malignancy the best diagnosis for the adrenal glands is?

CTisus Quiz   CTisus Quiz
occult adrenal metastases from unknown primary
adenomatous hyperplasia
adrenal hyperplasia
lymphoma

Privacy Policy

Copyright © 2025 The Johns Hopkins University, The Johns Hopkins Hospital, and The Johns Hopkins Health System Corporation. All rights reserved.