google ads

Foot Pathology: Ankle Trauma

  

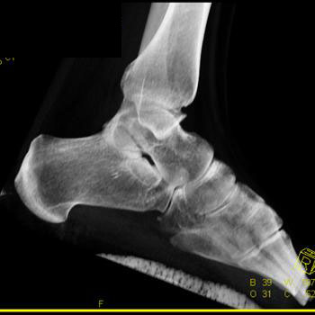
Clinical History: 12 year old female who fell down steps. She presents with left lower extremity pain.

CT Findings: Nondisplaced triplane left ankle fracture involving medial malleolus, with opened epiphysis.

Diagnosis: Minimally displaced of the medial malleolus and widening of the epiphyseal plate defined.

Outcome: Nonweightbearing. She was placed in a splint.

 
 

Diagnosis: Fracture of the tibia.

 
 
 

Diagnosis: Tibial fracture.

 
 
  

Diagnosis: Tibial fracture.

 
 

Diagnosis: Tibial fracture.

 
 
  

Diagnosis: Talar neck fracture.

 
 
 

Diagnosis: Fibular fracture.

 
 
  
Diagnosis: Nonunion of a fibular fracture.
 
 

Diagnosis: Tibial fracture.

 
 
  

Diagnosis: Tibial fracture.

 
 

Diagnosis: Post. ORIF.

Privacy Policy

Copyright © 2025 The Johns Hopkins University, The Johns Hopkins Hospital, and The Johns Hopkins Health System Corporation. All rights reserved.