Diagnostic Case Quiz ❯ Quiz of the Month ❯ November 2025
Archives:
Instructions
- Login / Register to CTisus.com to save your answers and track your score and progress.
- Review your answers below.
- Click on thumbnail images to view a larger version of the image
- Select the best answer
- Submit your answers by selecting the "Submit" button at the end of the quiz.
Quiz Discussion
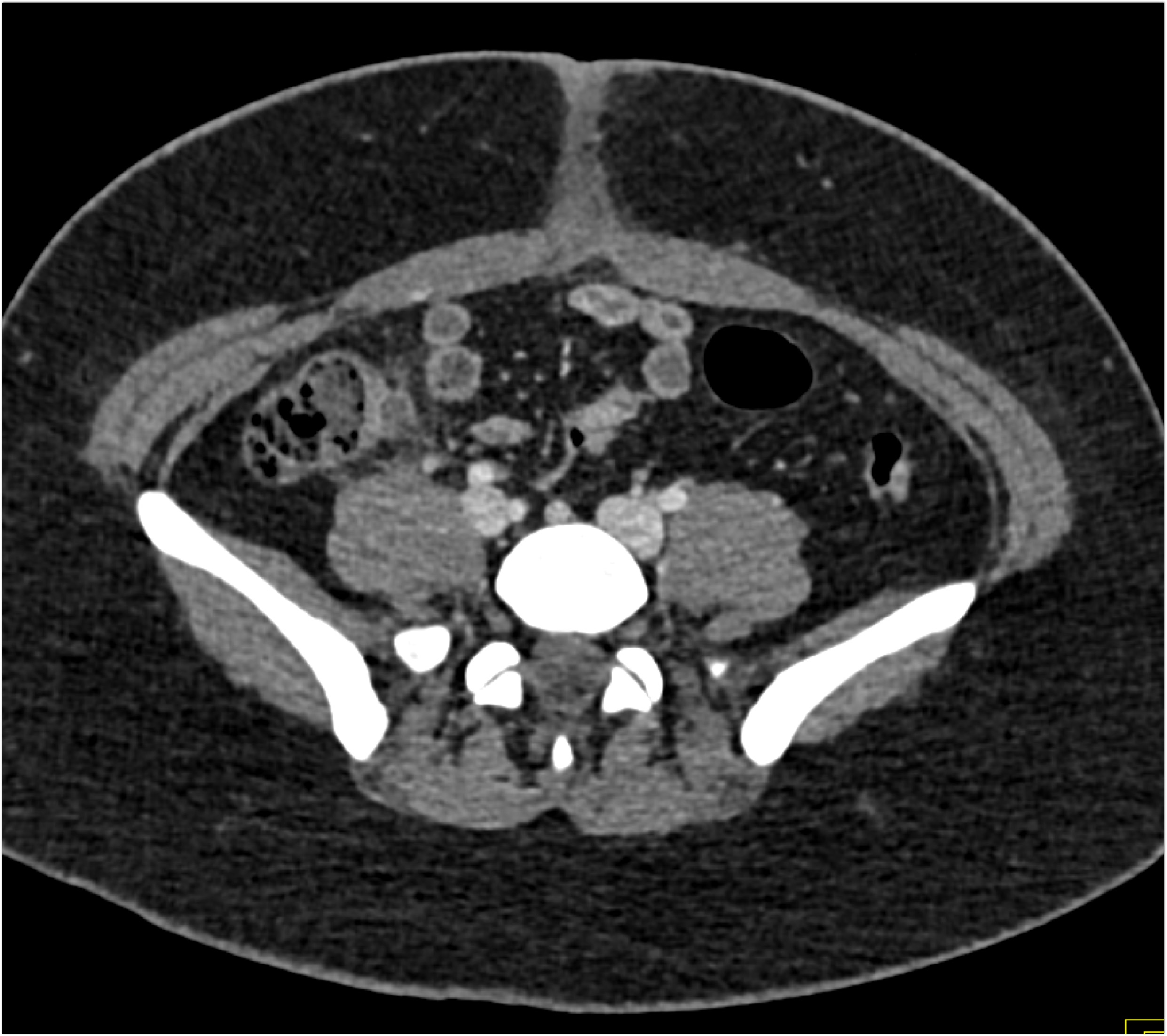
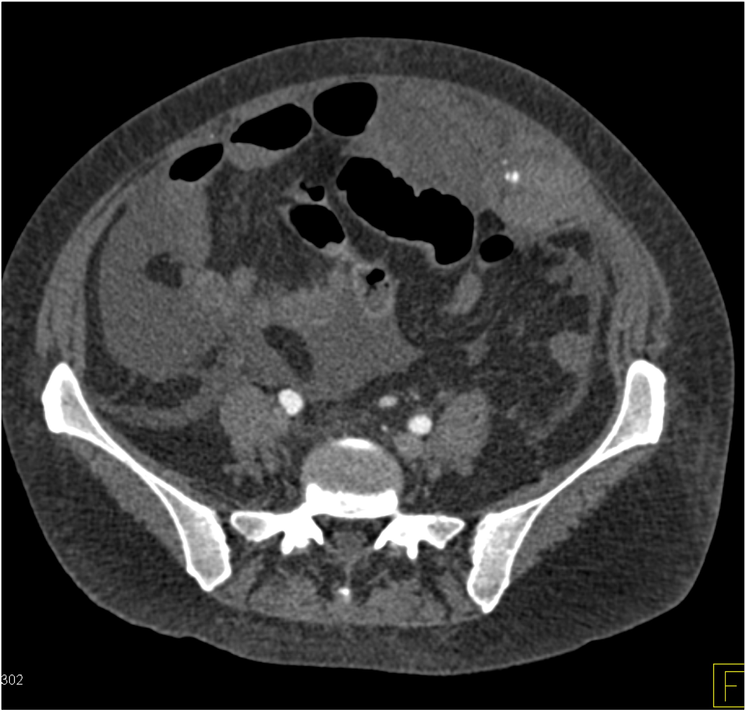
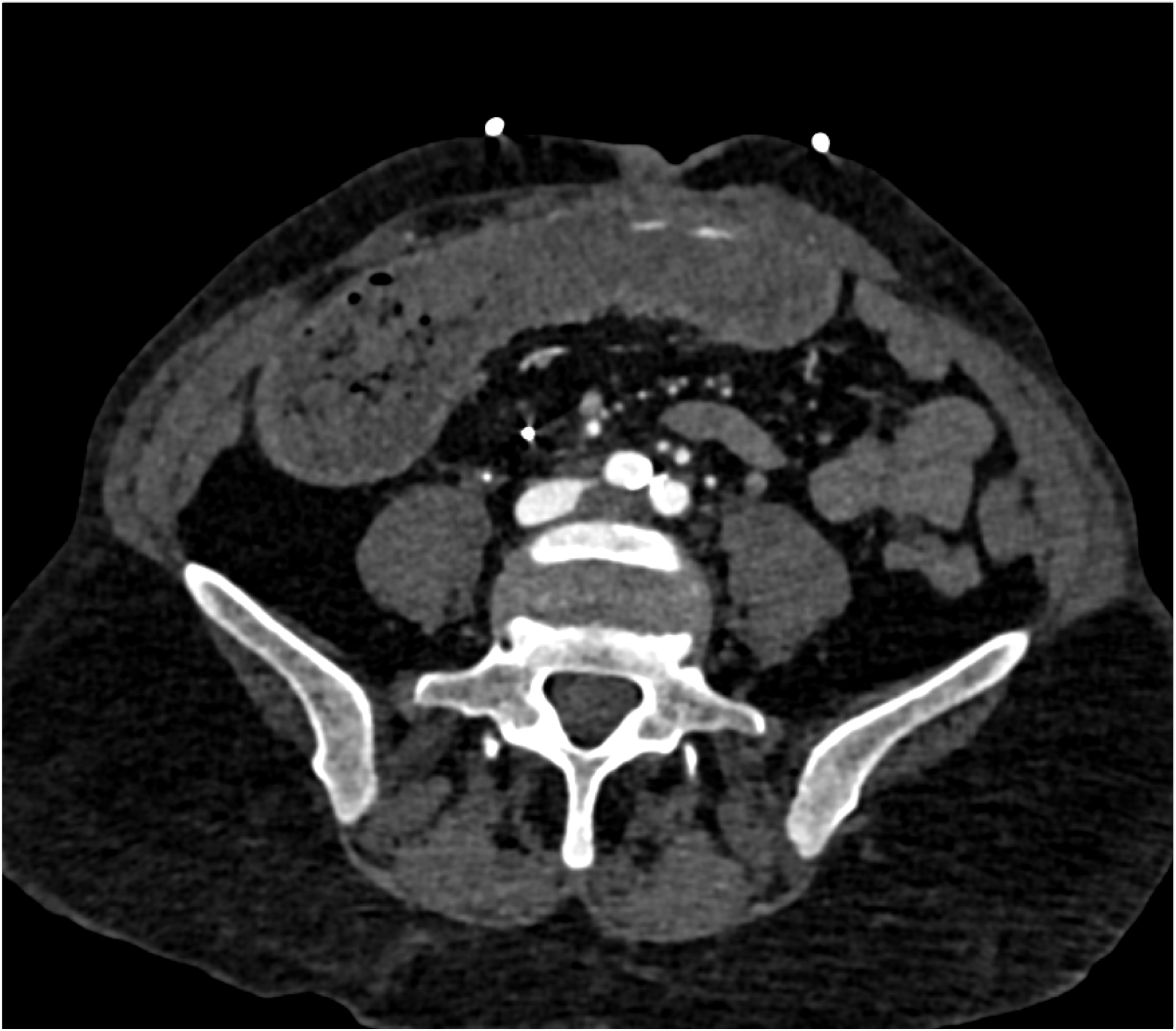
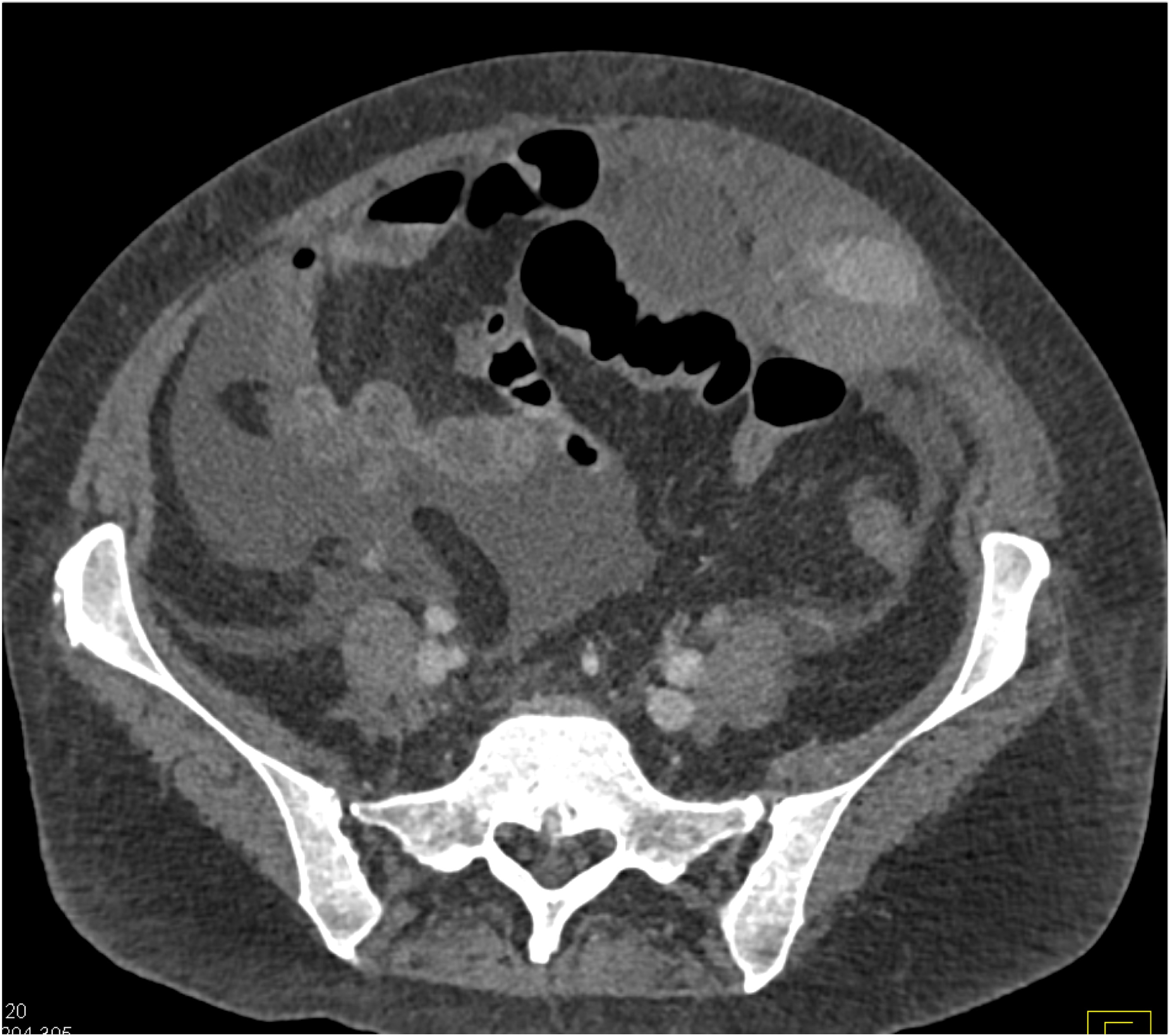
1) The best diagnosis in this patient with RLQ pain and fever is?
salmonella infection
acute appendicitis
Crohn’s disease
TB of the ileum
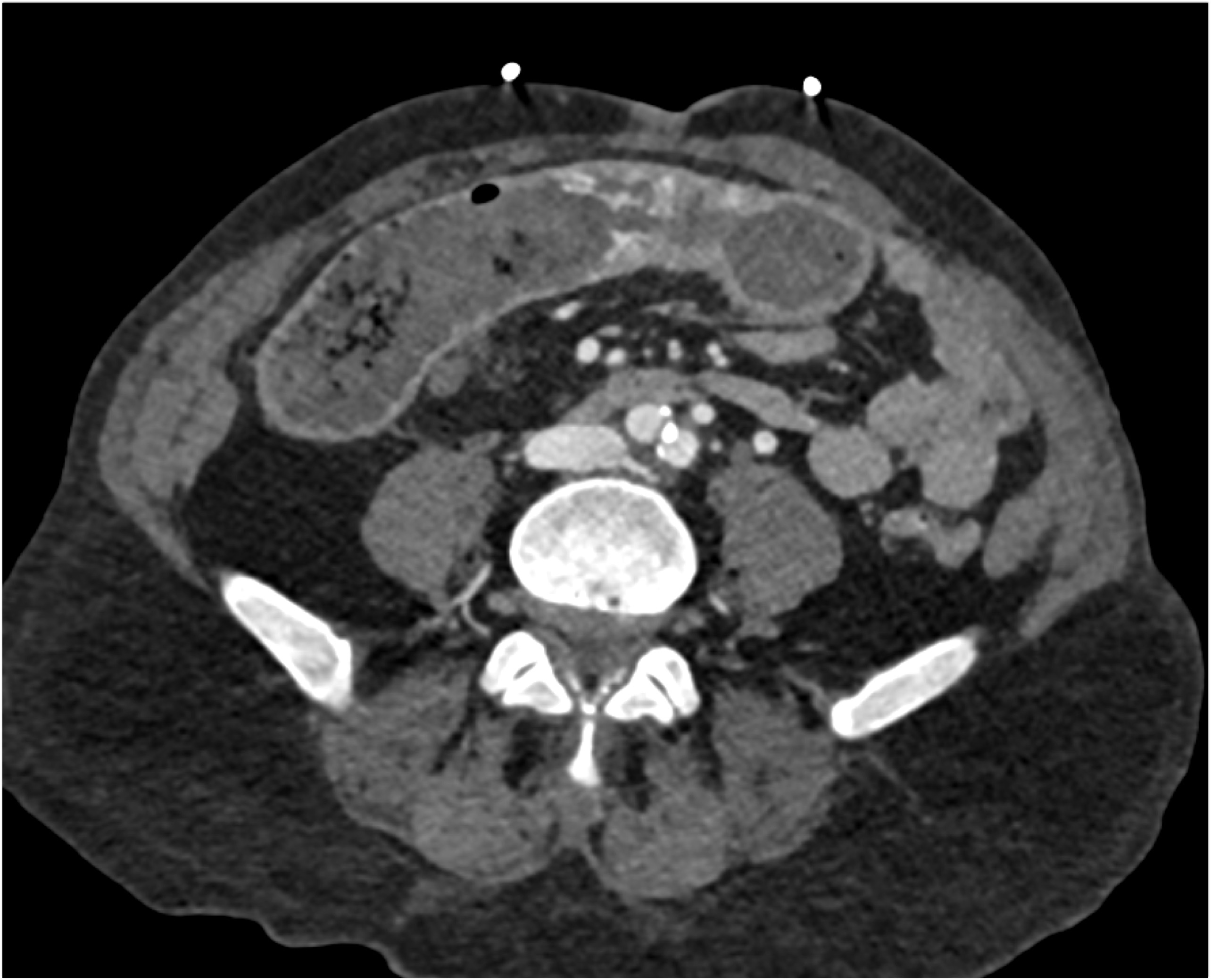
2) In this patient with a palpable right abdominal wall mass the best dx is?
rectus sheath hematoma
lymphoma
desmoid tumor
metastatic renal cell carcinoma
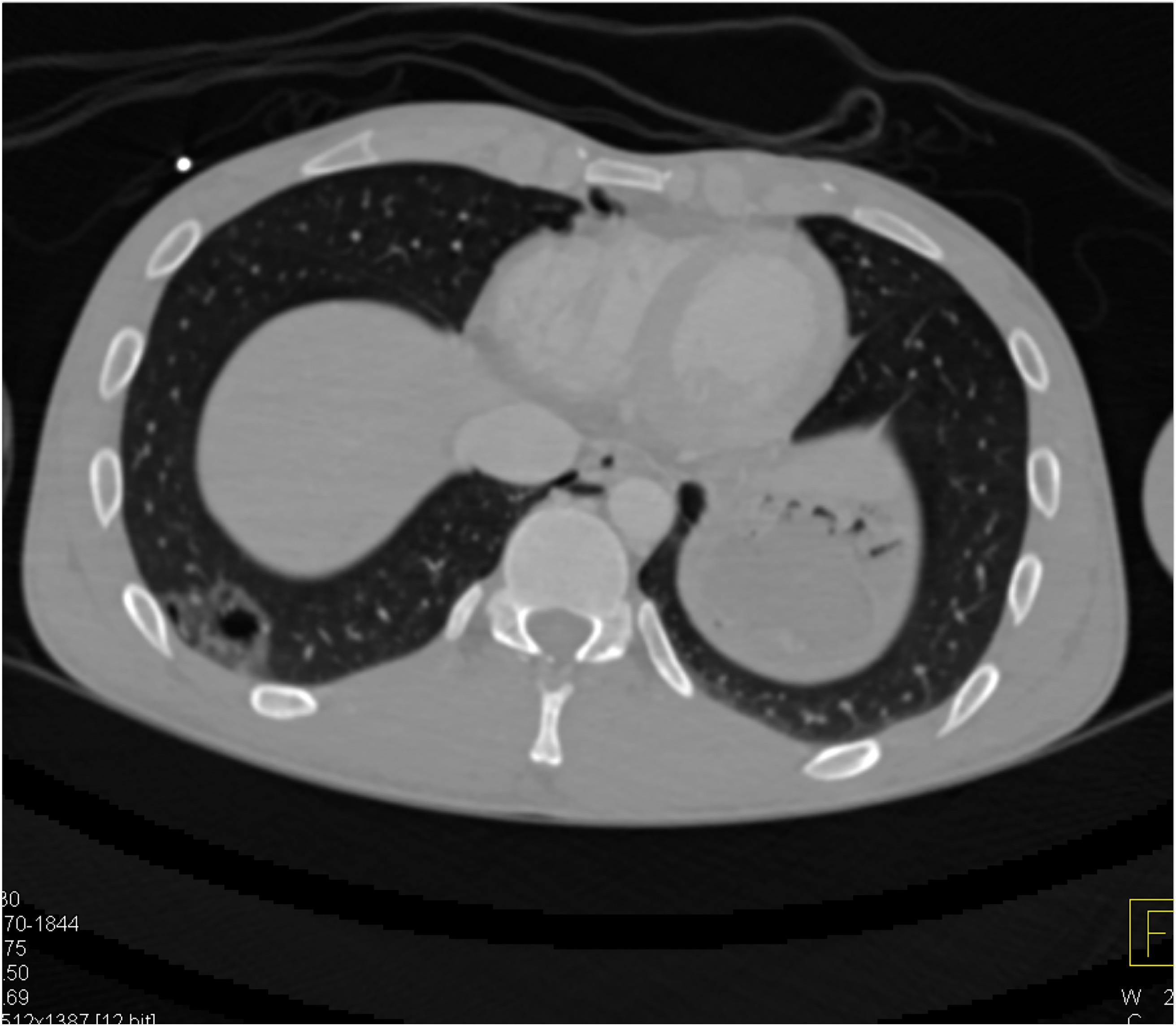
3) The most likely diagnosis in this case is?
lung cancer
lymphoma
pulmonary artery aneurysm
sarcoidosis
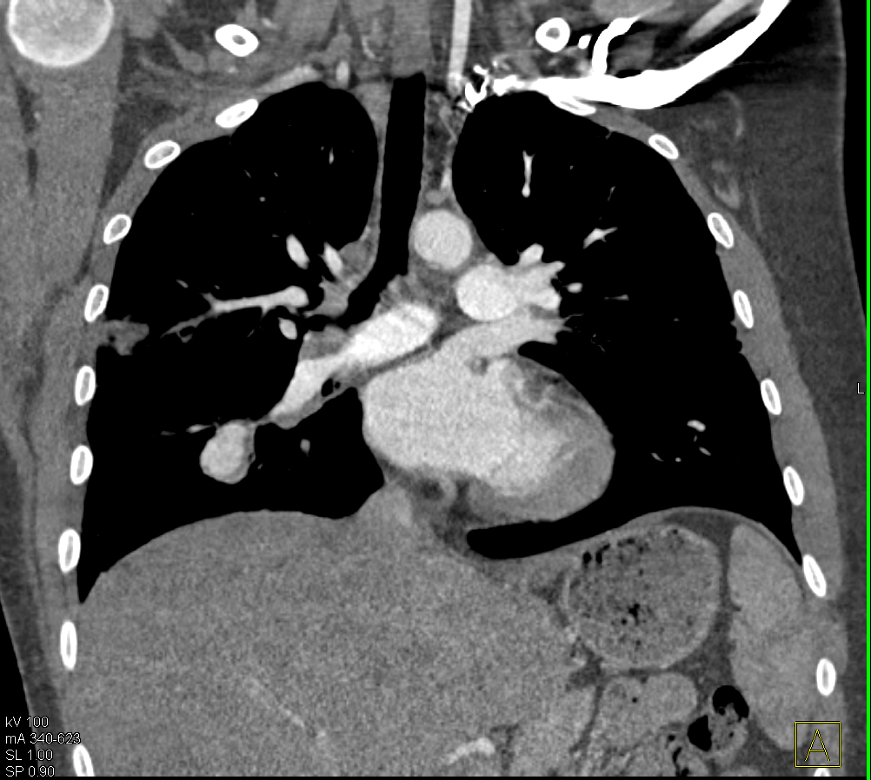
4) The mass in the right lower lung in this patient post trauma is
pulmonary contusion
lung infarct
adenocarcinoma
pulmonary laceration
5) In this patient with Crohn’s disease and abdominal pain the critical CT finding is
stricture of colon
bowel wall thickening
active GI bleed
superimposed colon cancer
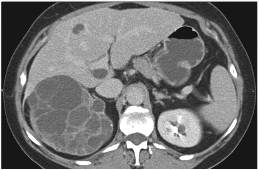
6) The most likely diagnosis in this 40ish year old female is
serous cystadenoma
mucinous cystic neoplasm (MCN)
IPMN
SPEN
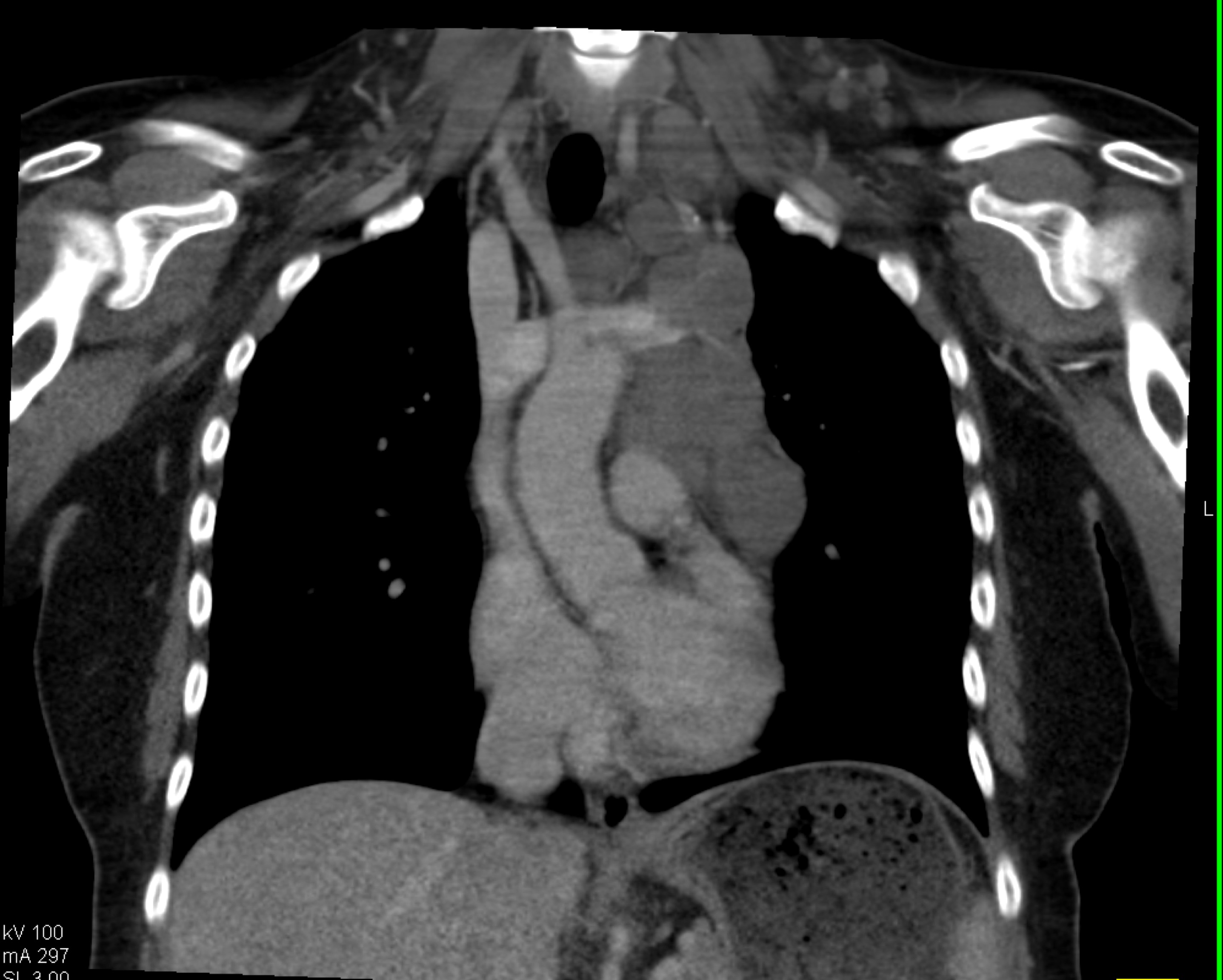
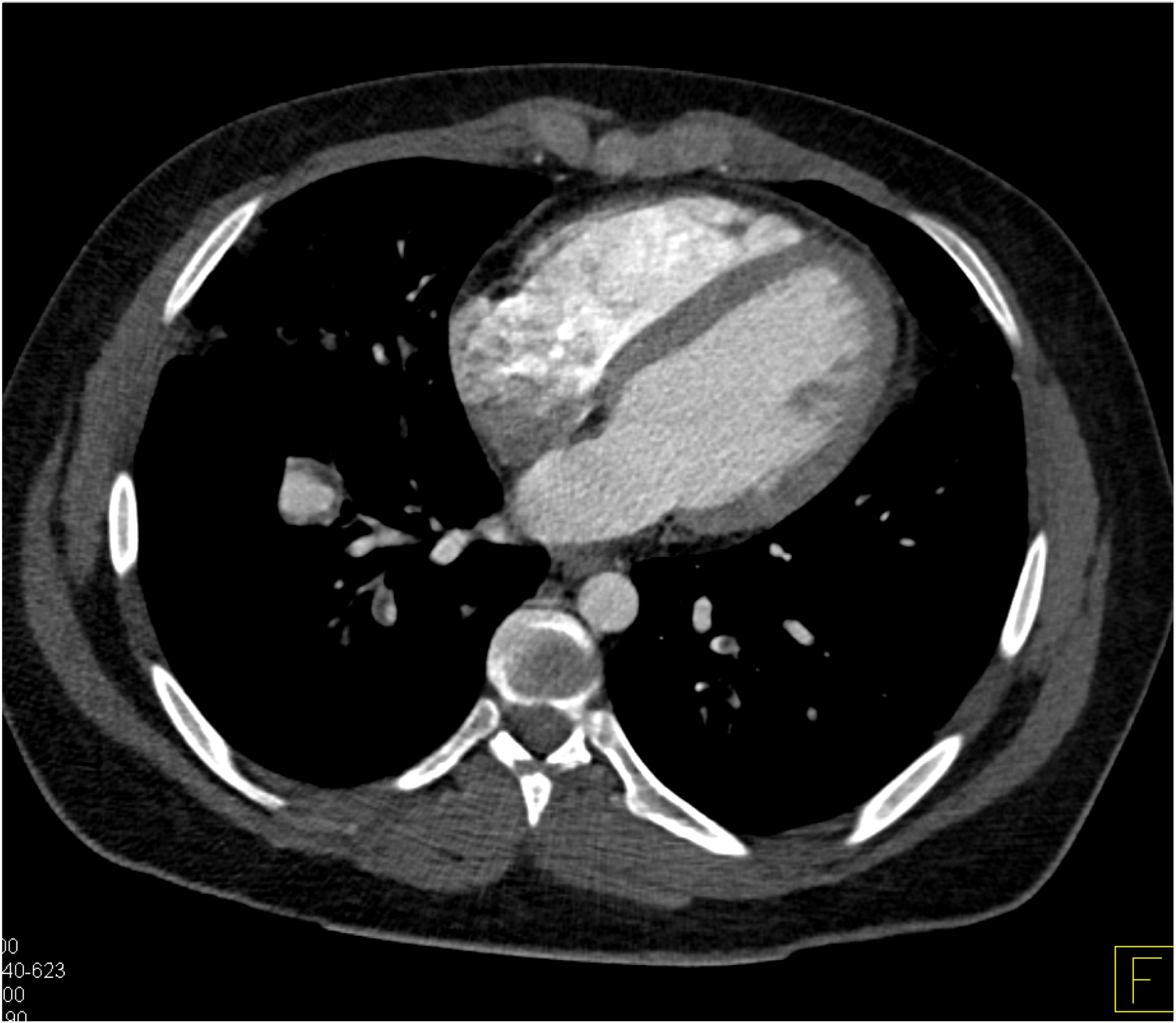
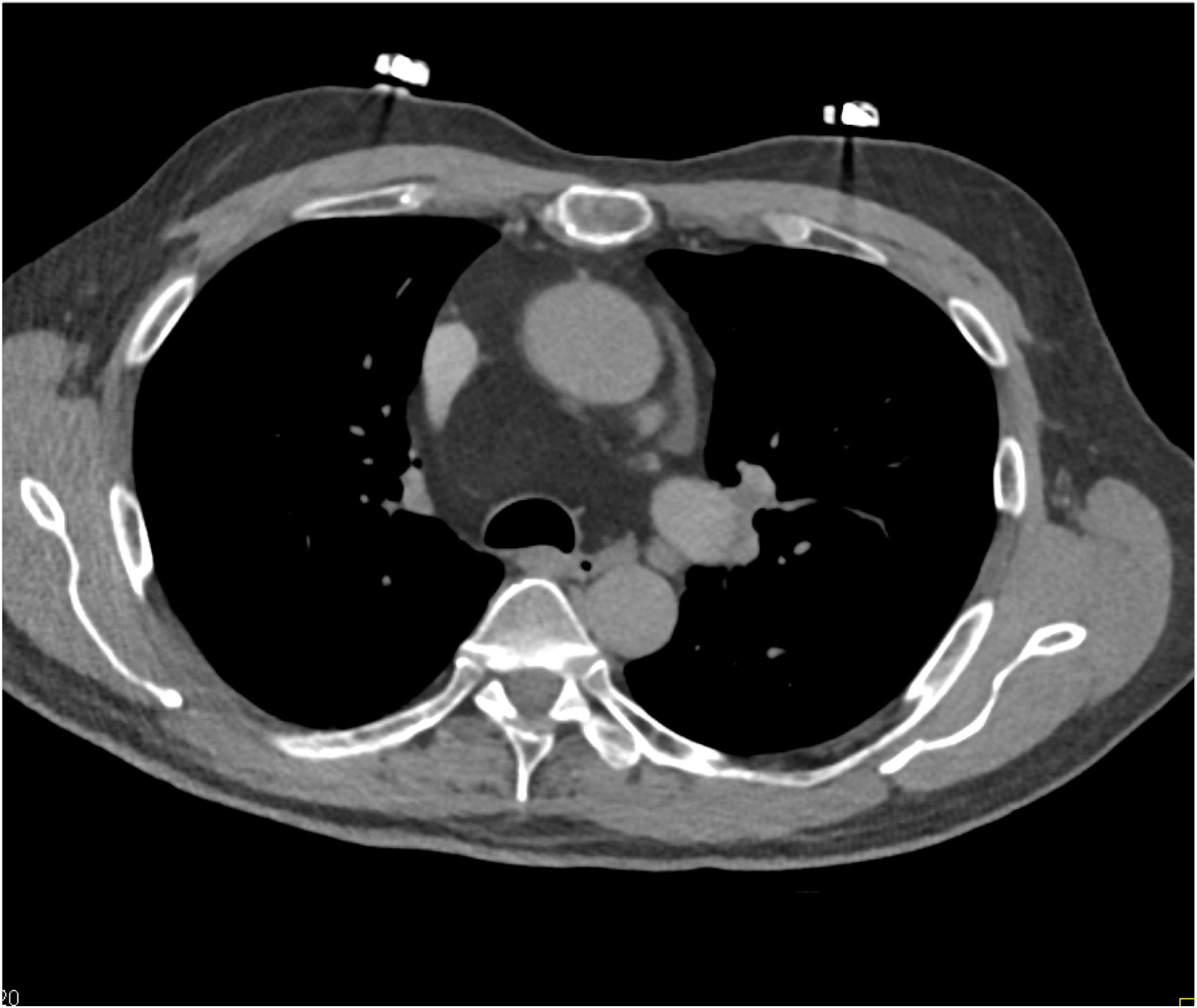
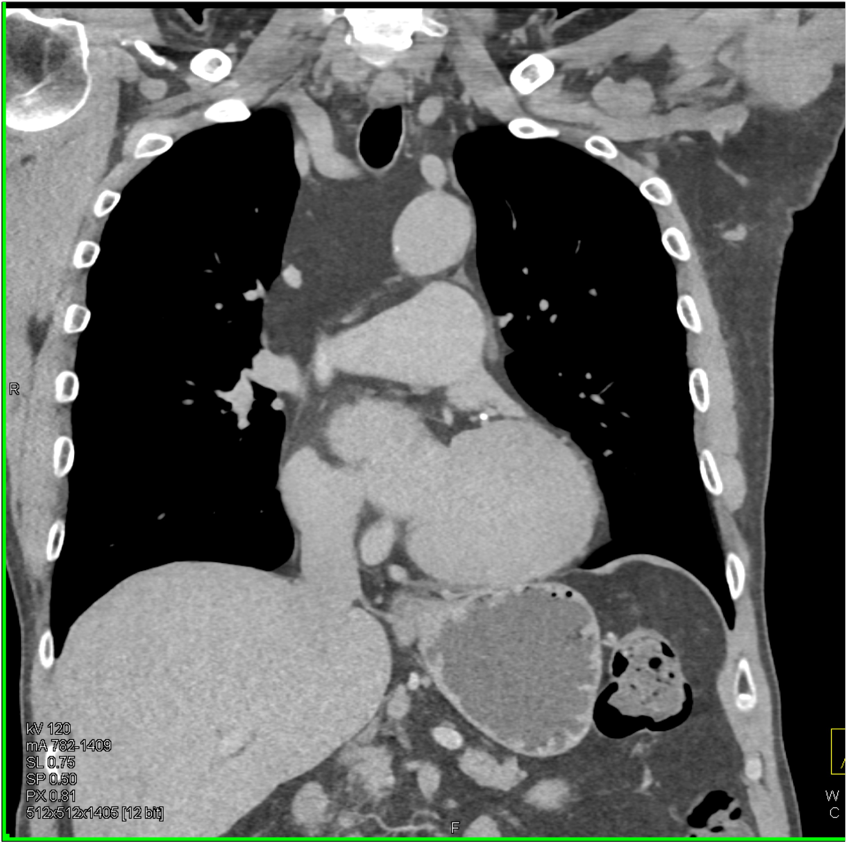
7) In this patient with mediastinal widening on CXR the best diagnosis is?
lymphoma
mediastinal lipoma
bronchogenic cyst
duplication cyst
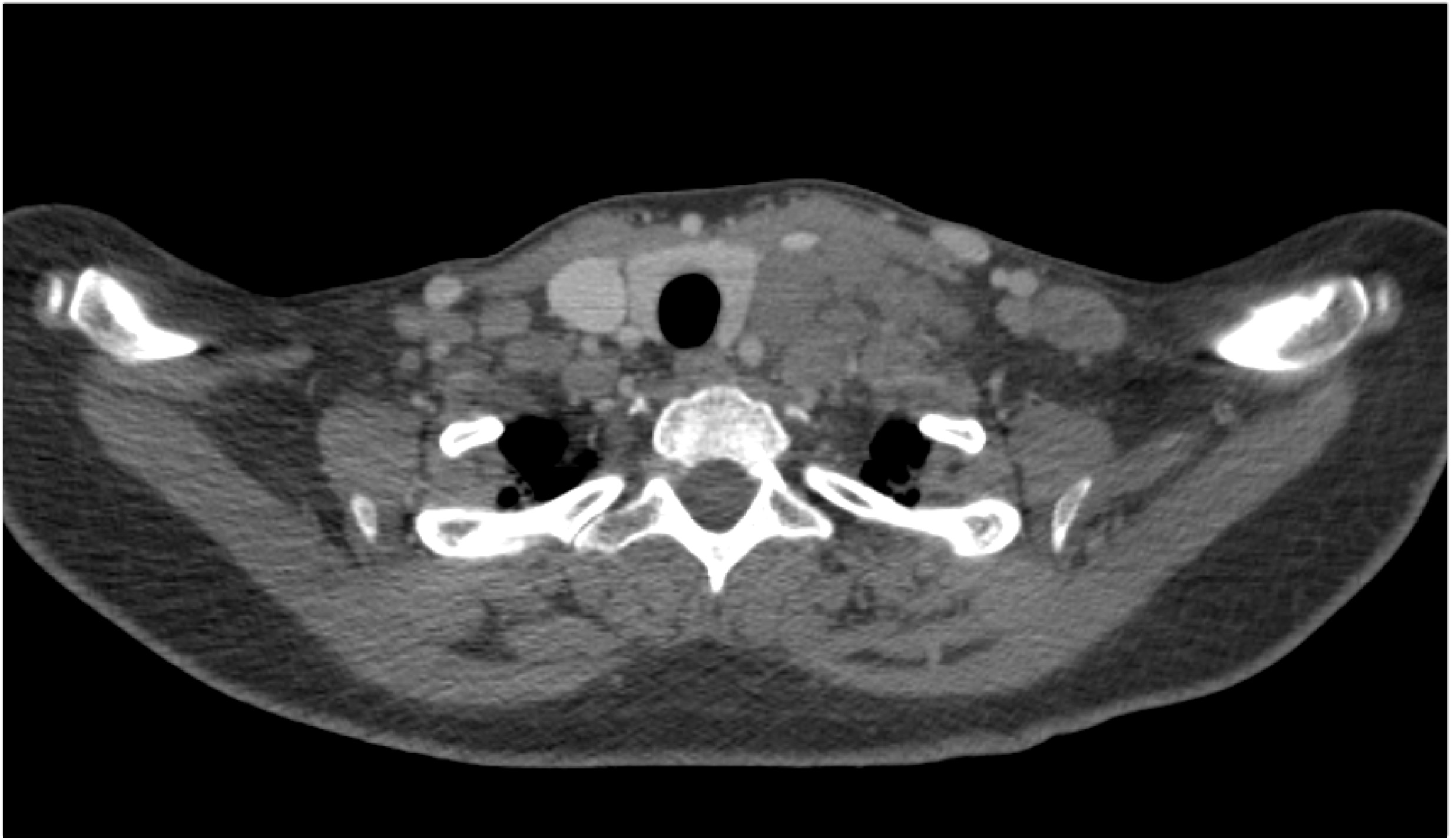
8) In this patient with mediastinal widening on CXR the best diagnosis is?
lymphoma
germ cell tumor
lung cancer
teratoma
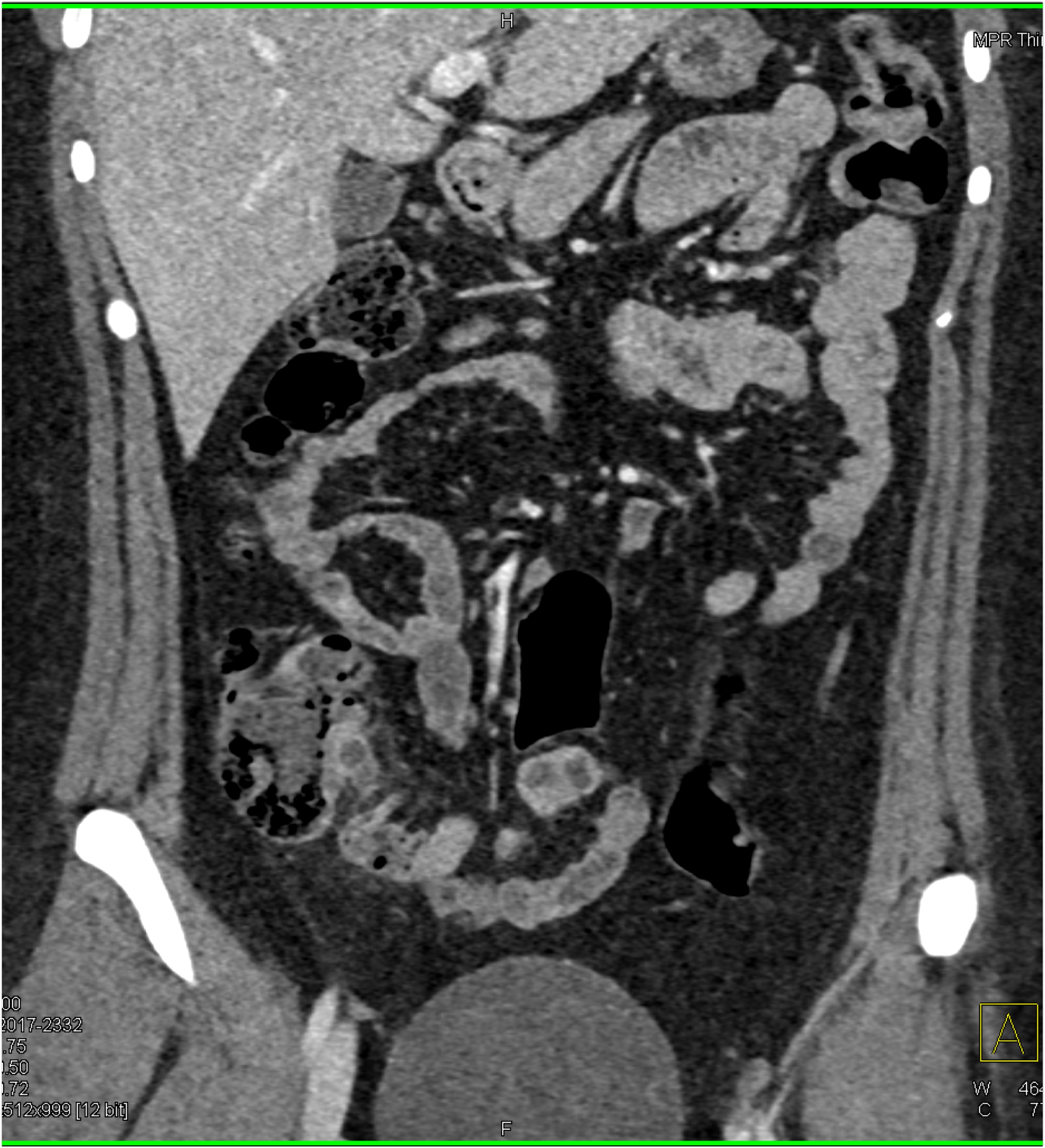
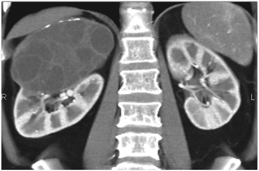
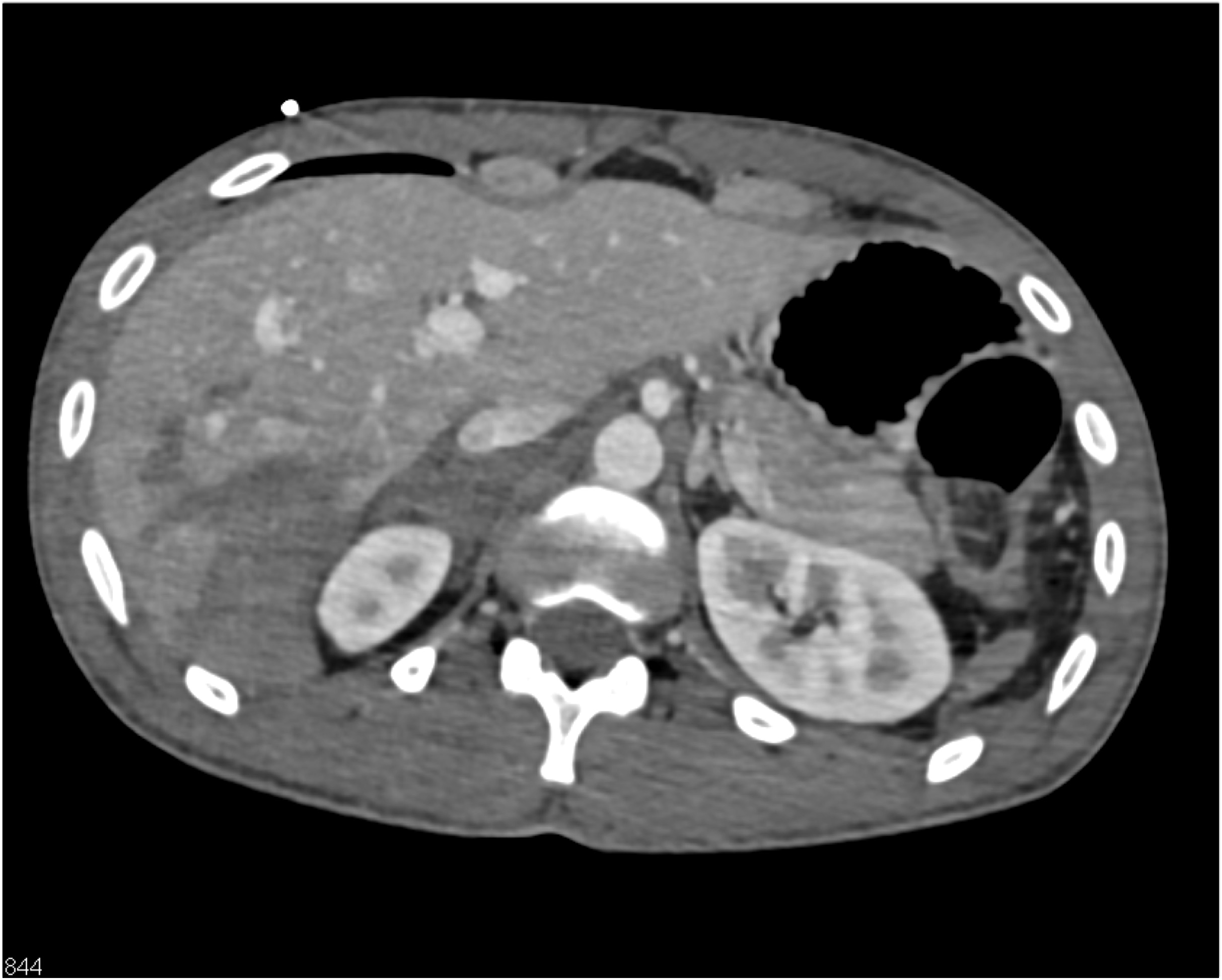
9) The best diagnosis in this 30ish year old female is?
renal cell carcinoma
MEST tumor (mixed epithelial and stromal tumor)
Wilms tumor
polycystic kidney disease



