Diagnostic Case Quiz ❯ Quiz of the Month ❯ October 2025
Archives:
Instructions
- Login / Register to CTisus.com to save your answers and track your score and progress.
- Review your answers below.
- Click on thumbnail images to view a larger version of the image
- Select the best answer
- Submit your answers by selecting the "Submit" button at the end of the quiz.
Quiz Discussion
1) This study protocol uses dual energy CT for evaluation of suspected


osteoporosis
rheumatoid arthritis
gout
Paget’s disease
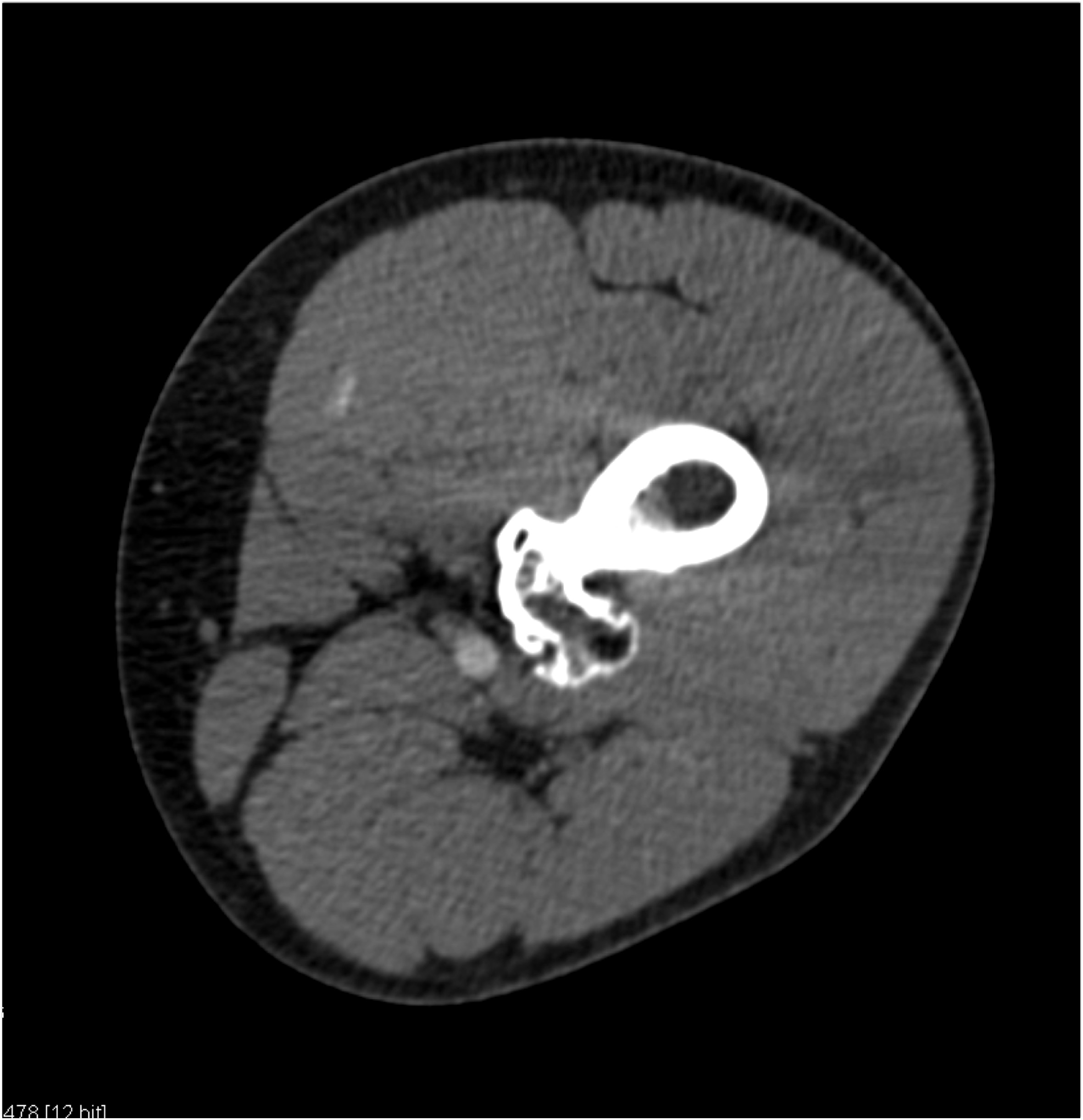
2) In this patient on dialysis for ESRD the best diagnosis is?


normal bypass graft
AV fistulae with aneurysms
vasculitis
infectious vascular disease
3) The most likely diagnosis in this 30ish year old with FUO is?


teratoma
thymoma
ectopic thyroid tissue
B-cell lymphoma
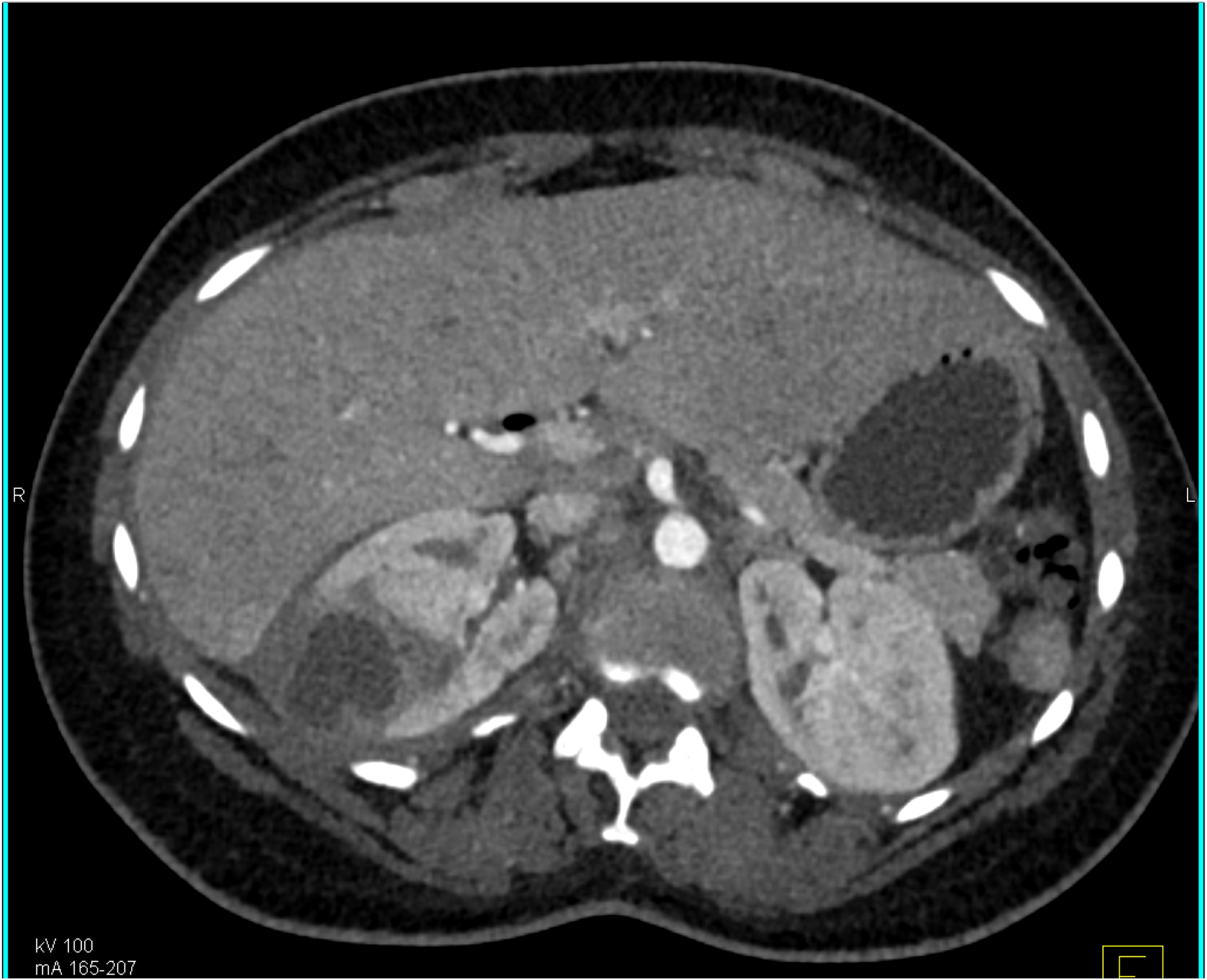
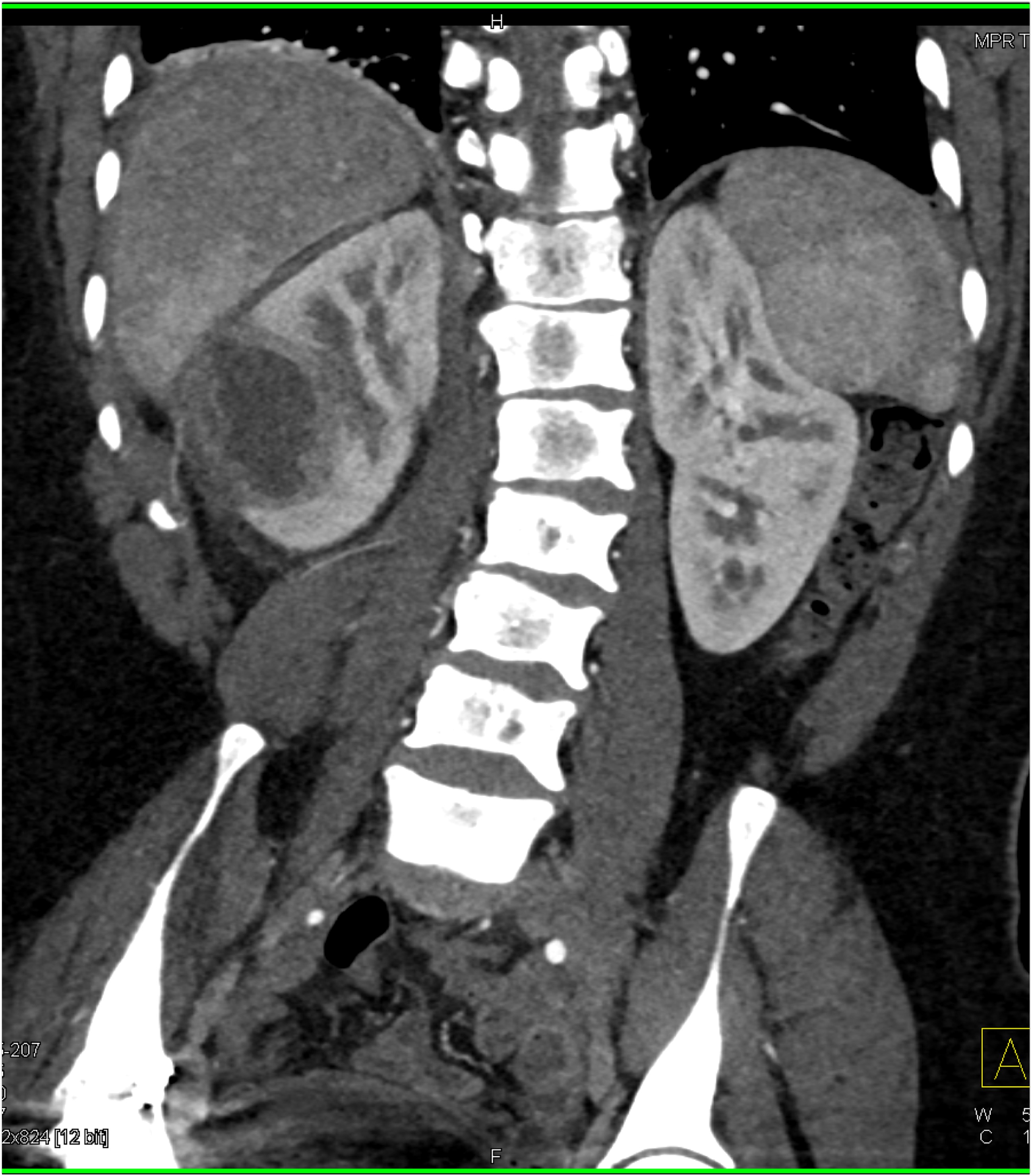
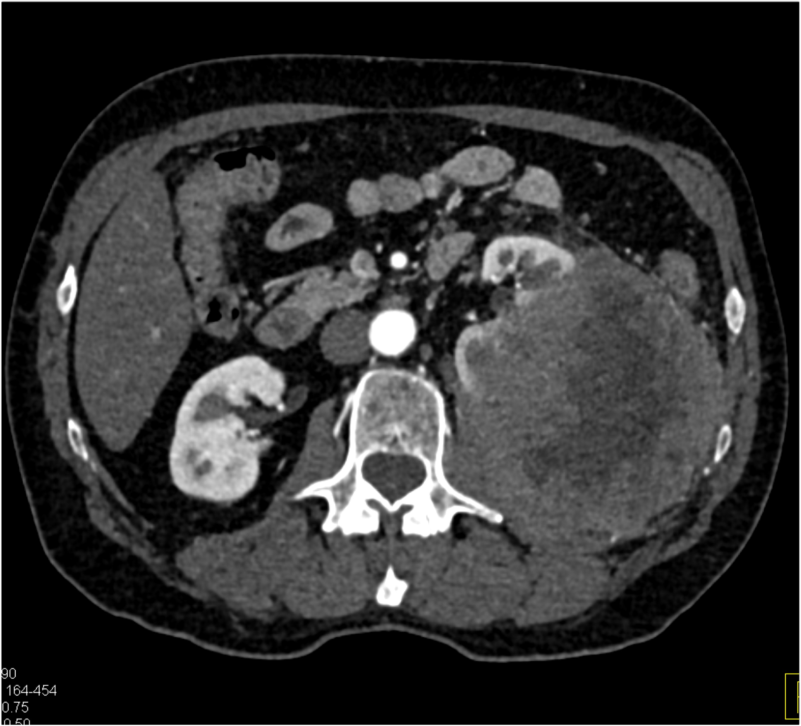
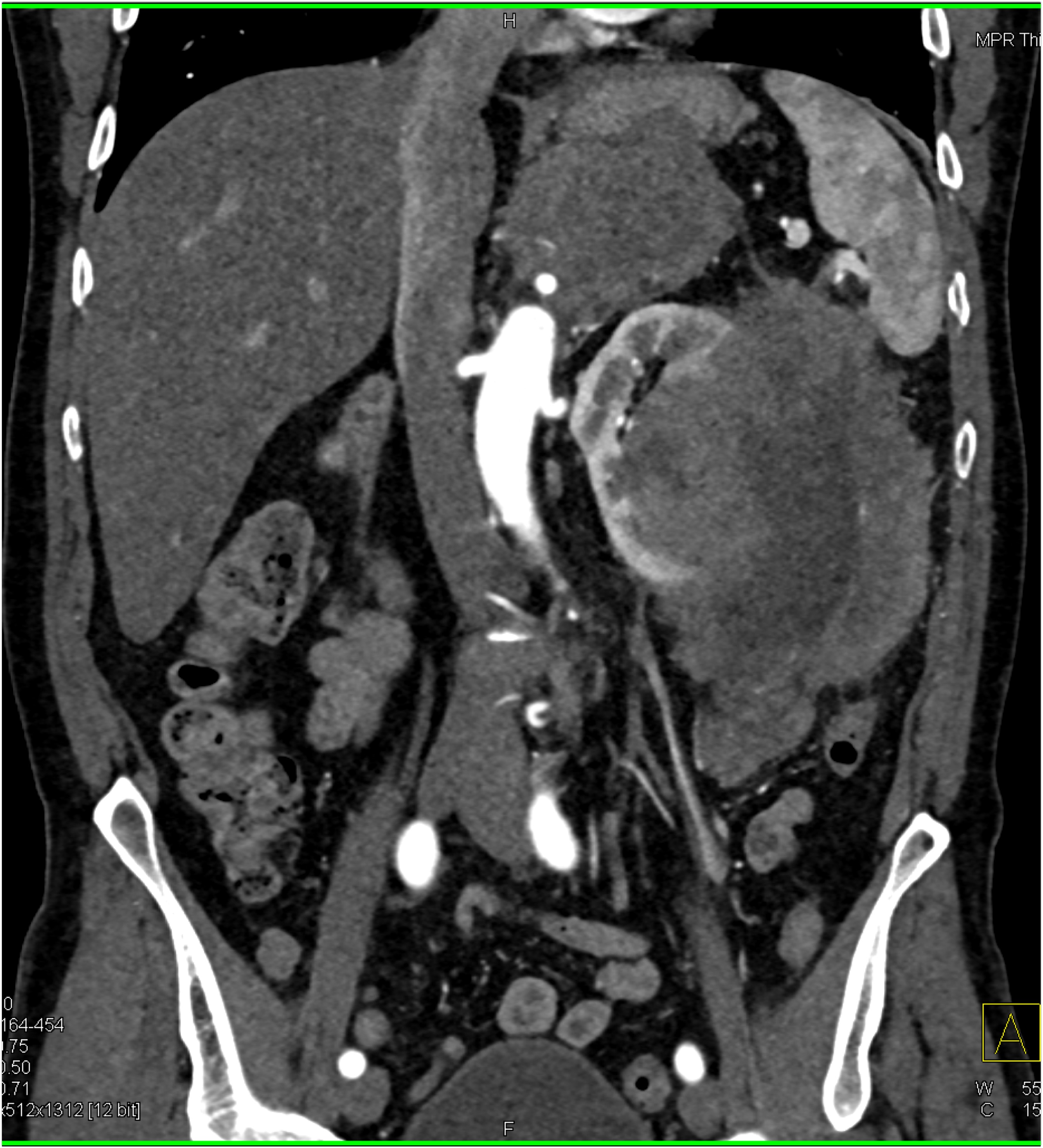
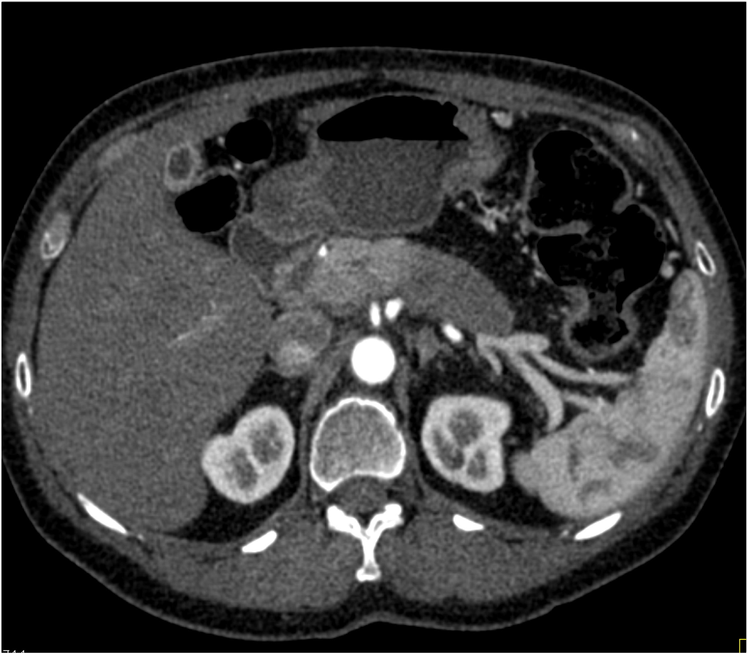
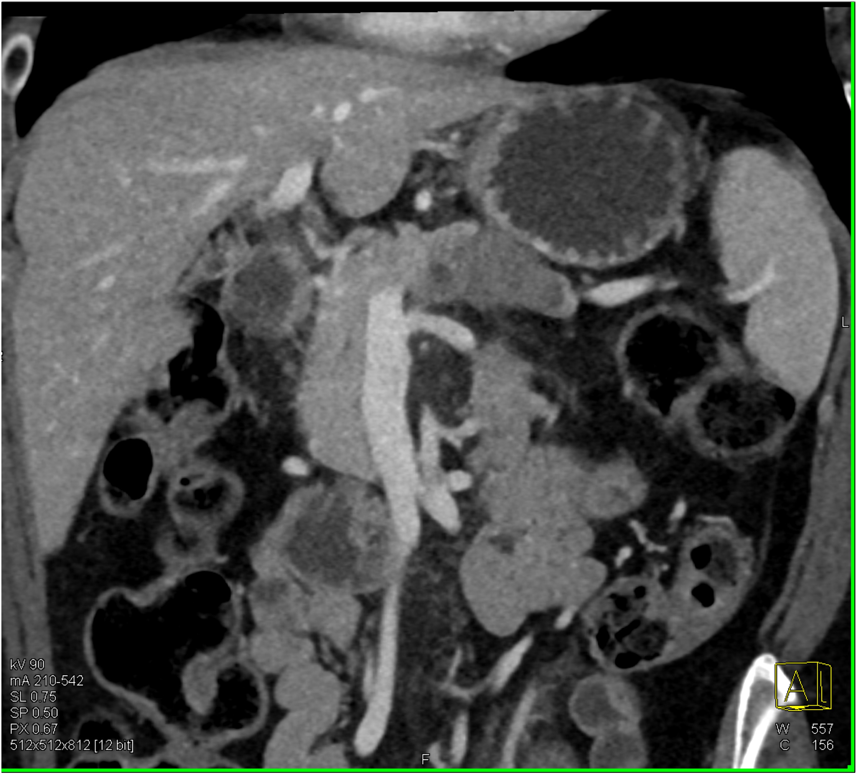
4) In this patient with sickle cell disease the most likely diagnosis is?


lymphoma
renal cell carcinoma
renal abscess
MEST tumor
5) In this painful forearm the most likely diagnosis is?


acute bleed (hematoma)
abscess
sarcoma
infarction
6) The most likely diagnosis in this case is?


vegetations in pulmonary valve
failed pulmonic valve
normal appearance of repaired pulmonary valve
abscess of the pulmonary artery
7) The most likely diagnosis in this case is?


Ehlers Danlos disease
Kawasaki disease
Takayasu’s aortitis
Ig4 vasculitis
8) The most likely diagnosis in this case is?


clear cell renal cell carcinoma
large B-cell lymphoma
seminoma
renal abscess
9) The most likely diagnosis in this case is?


healing femur fracture
exostosis femur compresses vessels
osteosarcoma
chondrosarcoma