Diagnostic Case Quiz ❯ Quiz of the Month ❯ April 2025
Archives:
Instructions
- Login / Register to CTisus.com to save your answers and track your score and progress.
- Review your answers below.
- Click on thumbnail images to view a larger version of the image
- Select the best answer
- Submit your answers by selecting the "Submit" button at the end of the quiz.
Quiz Discussion
1) The most likely diagnosis in this case is?


abscess
necrotizing fasciitis
osteomyelitis
resolving hematoma
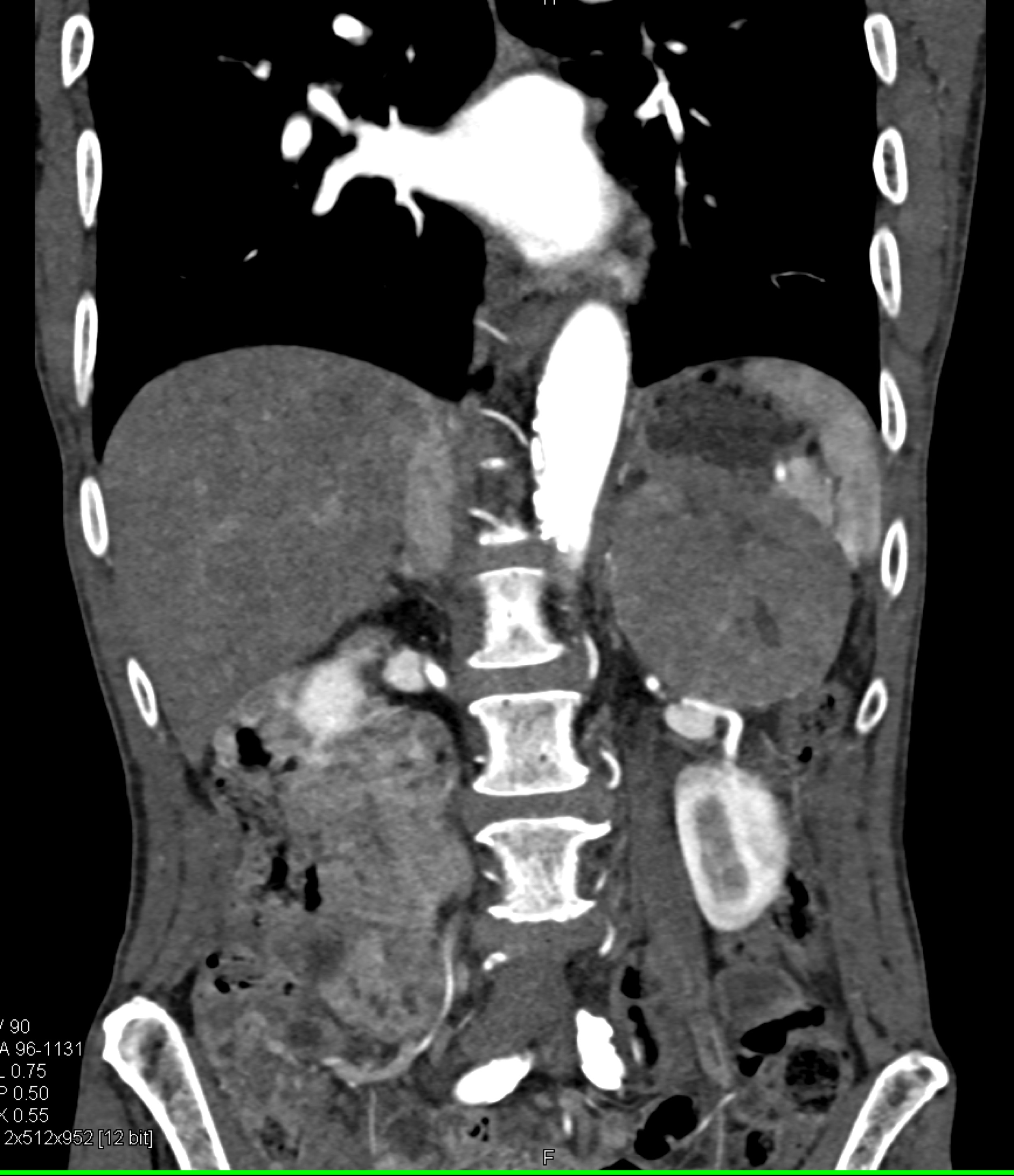
2) The most likely diagnosis in this case is?


classic adrenal adenoma
adrenal adenoma with bleed
pheochromocytoma
adrenal cyst
3) In this patient with back pain the most likely diagnosis is?


lymphoma
intramuscular bleed
nerve sheath tumor
aggressive sarcoma
4) In this patient with a history of IVDA best diagnosis is?


sarcoma
muscle abscess
hematoma
metastases to muscle
5) In this patient with hematuria the best diagnosis is?


TB
bladder carcinoma
blood clot
post BCG treatment of bladder lesion
6) The most likely diagnosis in this case is?


sickle cell disease
thalassemia
renal osteodystrophy
metastatic prostate cancer
7) In this patient with fever the best diagnosis is?


acute pyelonephritis
post radiation therapy changes
sepsis
multiple renal infarcts
9) The most likely diagnosis is?


primary adrenal carcinoma
hepatoma with adrenal metastases
pheochromocytoma
adrenal hematoma