Diagnostic Case Quiz ❯ Quiz of the Month ❯ June 2022
Archives:
Instructions
- Login / Register to CTisus.com to save your answers and track your score and progress.
- Review your answers below.
- Click on thumbnail images to view a larger version of the image
- Select the best answer
- Submit your answers by selecting the "Submit" button at the end of the quiz.
Quiz Discussion
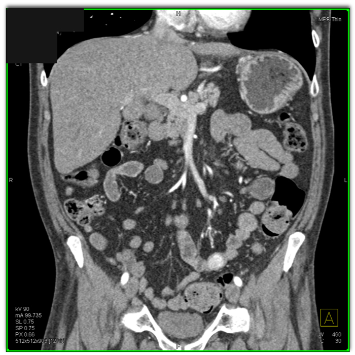
1) The likely cause for a GI bleed in this patient is?
AV malformation
diverticular disease
small bowel tumor (vascular)
lymphoma
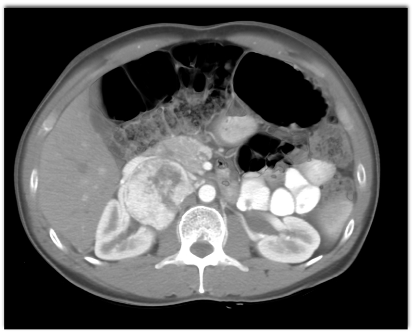
2) The most likely diagnosis in this 40ish year old female is?
MCN (mucinous cystic neoplasm)
serous cystadenoma
SPEN tumor (solid and papillary epithelial tumor)
IPMN
3) The most likely diagnosis in this case is?
fundic gland polyps
gastric adenocarcinoma
carcinoid tumor
lymphoma
4) The most likely diagnosis in this case is?
lymphoma
paraganglioma
neurofibroma
primary adrenal cortical carcinoma
5) The least likely diagnosis in this case is?
carcinoid tumor
crohn’s disease
small bowel adenocarcinoma
B-cell Lymphoma
6) The most likely diagnosis in this case is
clear cell renal cell carcinoma
renal lymphoma
papillary renal cell carcinoma
chromophobe adenoma
7) In this patient with chest pain the most likely diagnosis is?
type B dissection
intramural hematoma
patent ductus arteriosus (PDA)
type A dissection
8) The most likely diagnosis in this case is
pheochromocytoma
primary adrenal cortical carcinoma
adrenal myelolipoma
lymphoma
9) In this 30is year old with RUQ pain the most likely diagnosis is?
fibrolamellar hepatoma
liver abscess
focal nodular hyperplasia
hepatic adenoma



