Diagnostic Case Quiz ❯ Quiz of the Month ❯ March 2022
Archives:
Instructions
- Login / Register to CTisus.com to save your answers and track your score and progress.
- Review your answers below.
- Click on thumbnail images to view a larger version of the image
- Select the best answer
- Submit your answers by selecting the "Submit" button at the end of the quiz.
Quiz Discussion
1) The most likely diagnosis in this case is?
lymphoma
Malignant Melanoma
metastatic neuroendocrine tumor
neurofibromatosis
2) The most likely diagnosis in this patient with weight loss is?
sarcoidosis
TB
malignant melanoma
lymphoma
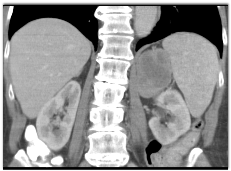
3) This incidental adrenal mass was detected and is least likely?
pheochromocytoma
primary adrenal carcinoma
adrenal adenoma
prior adrenal bleed
4) The least likely diagnosis in this incidental pancreas mass is?
IPMN
MCN (mucinous cystic neoplasm)
PDAC (pancreatic adenocarcinoma)
Serous Cystadenoma
5) In this patient with abdominal pain the least likely dx is?
small bowel adenocarcinoma
lymphoma
metastatic carcinoma to the small bowel
crohn's disease
6) The most likely diagnosis in this case is?
IPMN
cystic neuroendocrine tumor (PNET)
serous cystadenoma
pseudocyst
7) The best diagnosis in this case is?
normal coronary arteries
anomalous RCA off the left cusp
coronary artery stenosis
aberrant origin of the left coronary artery
8) The best diagnosis in this case is?
bicuspid aortic valve
tricuspid aortic valve
aortic valve stenosis
aortic valve leaflet thickening
9) The least likely diagnosis in this case is?
metastatic renal cell carcinoma
metastatic hepatoma
pulmonary artery sarcoma
lymphoma



