CT Angiography: Clinical Applications
This manuscript is based on the Refresher Course presented by Elliot Fishman at RSNA 2000.
Introduction
The development of subsecond spiral computed tomography (CT), soon followed by that of multidetector CT, has provided the radiologist with unparalleled capabilities to acquire high-quality image data (1,2). Whether it be the capability to acquire thin-section images (1–1.25 mm), reconstruct data at narrow interscan intervals (1.0 mm), or acquire these data in the arterial and portal venous phases, the newest scanners provide capabilities that were never thought possible a few short years ago. Yet, the true advance of these newer scanners is not just the ability to obtain thinner sections faster, but the ability to truly move from a "section scanning mode" mentality to a "volume acquisition mode." Although at first glance the difference may seem to be more a change in nomenclature than a strategic inflection point, this is not the case. With a volume acquisition system, we scan a volume of interest (eg, the entire abdomen, the liver, the pancreas), and we display that volume not as sections but as a true volume. Therefore, a CT scan is not an axial image (or 300 axial images) but a three-dimensional display of those axial images in a form that not only is easier and faster to understand but also has unique and optimal display parameters.
This article reviews some of the current clinical applications of CT angiography in the abdomen. The techniques used for optimization of scan protocols and postprocessing are addressed. Specific applications of this modality in evaluating the pancreas, mesenteric vasculature, and liver are discussed. The role of CT angiography in pancreatic cancer for potentially improving staging of pancreatic cancer and in determining resectability and preoperative vascular mapping is addressed in detail. Similarly, the use of CT angiography of the mesenteric vasculature and bowel for evaluation of intestinal ischemia and Crohn disease is also addressed and discussed. Finally, the use of CT angiography for hepatic imaging in preoperative planning of liver transplantation and liver resection of hepatic tumors is defined. The clinical advantages of CT angiography and its potential directions and advances in its technology are also discussed.
CT Angiographic Scanning and Postprocessing Techniques
The specific scanning techniques used for acquiring data for CT angiography are critical (3,4), and although these techniques are not the focus of this article, a few basic concepts bear repeating here.
Positive enteric contrast agents are never used in cases of abdominal CT angiography. We use only water as a marker for stomach and bowel distention.
Although specific scan parameters vary among the various scanners and continue to evolve for imaging of detailed vascular anatomy, we use a section thickness of 1–1.25 mm with image data reconstructed at 1-mm intervals. We do not routinely reconstruct images with an overlap of 50%–60%. All data are sent to the workstation in the original resolution of 512 × 512.
Once the image data acquisition is completed, the CT data ideally should be analyzed on a computer workstation. In-depth discussions of the various workstations and the importance of the rendering algorithms have previously been addressed (3,4). A few important observations are presented here.
Creation of the three-dimensional CT angiograms is best done on a freestanding workstation located away from the actual point of scanning. This configuration also allows consultation with the referring physicians without interfering with the principal image acquisition functions of the scanner.
We prefer a computer workstation that allows direct interaction with all the CT data for a particular study, rather than a system that creates select views for the user. We believe that the radiologist should take an active role in image analysis, because he or she can best choose the optimal plane and orientation for demonstrating the extent and presence of pathologic conditions. Discernment of unsuspected abnormalities or better definition of disease is more likely to occur when the radiologist interactively views the data volume. This capability is typically referred to as real-time rendering and is currently available on select workstations.
Our preferred three-dimensional rendering technique for CT angiography is volume rendering (5–7). Its specific advantages in vascular imaging, such as more accurate visualization of vessel detail, stenosis, and presence and location of vascular anomalies and the ability to change the postprocessing parameters to view multiple tissue types (ie, both a pancreatic mass and the superior mesenteric vein [SMV]), are ideal for abdominal CT angiography. However, we also find that maximum intensity projection (MIP) rendering is valuable as an adjunct display, especially for depicting smaller vessels within an enhancing organ such as the liver and kidney. We have not found shaded surface display to be useful in our clinical experience.
Clinical Applications
Although there are numerous clinical applications of CT angiography in the abdomen that seem to be increasing on nearly a daily basis, this article focuses on CT angiography of three major areas: the pancreas, mesenteric vessels and bowel, and the liver.
Pancreatic Imaging
Protocols.— The protocols for CT angiography of the pancreas are currently being debated, including the use of a 40-second pancreatic phase (8–14). Our protocol uses dual-phase imaging, with data obtained 25 and 60 seconds after the injection of 120 mL of ioxehol (Omnipaque-350; Nycomed Amersham, Princeton, NJ) at a rate of 3 mL/sec. Scan parameters are a 1.25-mm scan width reconstructed at 1-mm intervals for multidetector CT and a 3-mm scan width reconstructed at 1-mm intervals for single-detector CT. After data acquisition, the images are sent over the hospital imaging network to the workstation, and three-dimensional images selected from both phases of the data acquisition are generated.
Most pancreatic masses, because they are hypovascular, are best seen on the portal-venous-phase images. Other tumors, including islet cell tumors and metastases, are hypervascular and are best seen on arterial-phase images.
Graf et al (15) found that tumor conspicuity of pancreatic adenocarcinoma was better in the portal-venous-phase images, in which the tumor-to-pancreas contrast difference was 54 HU ± 31, compared with the arterial-phase images, in which the contrast difference was 31 HU ± 29. Regardless of the tumor type, the use of thin-section CT with small interscan intervals allows changes in the gland enhancement patterns to be readily seen and thus smaller tumors can be detected. Although axial imaging and review of these images alone has been the standard mode of CT evaluation, it may not remain the standard as newer technologies become available. Bonaldi et al (9) found that simply reviewing the axial images on a workstation with a cine display provided better definition of tumors, as well as of vascular anatomy and ductal anatomy. The use of three-dimensional rendering can be very helpful in select cases, since the mass or suspected mass can be defined in multiple planes. In many cases, this technique may help distinguish a true pancreatic mass from adjacent duodenal or small bowel tumor or peripancreatic adenopathy.
Vascular Mapping.— The area of greatest challenge in pancreatic imaging has been the ability of CT to demonstrate accurately the presence of vascular invasion. In the pre–spiral CT era, several investigators clearly showed the equivalence of carefully performed CT and catheter angiography in the depiction of vascular encasement (10,11).
With spiral CT and multidetector CT, our capabilities have gone far beyond looking at vessels in the axial plane. Partial averaging of data, determining whether a tumor is adjacent to or encases a vessel, and lack of an ideal display are problems with axial CT alone (Fig 1). The use of image reconstruction, especially generation of a three-dimensional vascular map, has obvious advantages, especially to the referring surgeon who is more comfortable with a volumetric display.
The goal of preoperative vascular mapping in patients who are potential candidates for a Whipple procedure is to clearly define the angiographic map with an accuracy equal to or exceeding that provided by classic catheter angiography. Anatomic variations, such as a common celiac and superior mesenteric artery (SMA) trunk or a right hepatic artery arising from the SMA, are all easily detailed on the three-dimensional display. The viewing of these data with a stereoscopic display may add further information in cases of complicated vascular anatomy.
In cases in which there is potential vascular invasion, the three-dimensional display can depict the course of the vessel and its relationship to the pancreatic mass. By using this technique, the radiologist can clearly see whether a mass actually encases or just abuts a vessel in most cases. The ability to view images in any plane or perspective is an important tool that supplements the information from axial CT and replaces angiography. Although, to our knowledge, no large series has been published, our experience suggests that the results of three-dimensional CT angiography have a near one-to-one correlation with surgical findings (12) (Figs 2–4).
With axial images alone, numerous investigators tried to develop strategies for defining tumor resectability. Lu et al (13) graded vessel invasion on a 0–4 scale based on circumferential contiguity of tumor to vessel: That is, in grade 0, there was no contiguity of tumor to vessel; in grade 1, tumor was contiguous with a vessel for less than one-quarter of its circumference; in grade 2, contiguity extended between one-quarter and one-half of the vessel circumference; in grade 3, contiguity extended between one-half and three-quarters of the vessel circumference; and in grade 4, contiguity extended greater than three-quarters of the vessel circumference or the vessel was constricted. Involvement of more than one-half the vessel circumference or grade 3 vessel invasion was highly specific for unresectable tumor. However, half of the grade 2 cases proved to be unresectable and 12.5% of grade 3 cases were resectable. We believe these results and those of similar studies highlight some of the disadvantages of viewing vessels in only an axial plane. The limitations of axial imaging are especially evident when it is used to judge vessel narrowing or constriction. In multidetector CT examinations, the number of sections obtained through the pancreas is increased by a factor of 2 or 3 compared with the number acquired in even the best single-detector spiral CT examination. With its increased data sampling at 1–1.25-mm section thickness and 1-mm interscan intervals and its higher resolution, multidetector CT may prove better than single-detector CT for defining key arterial vessels, even if only the axial images are reviewed. However, the capability of multidetector CT to show vessels in multiple orientations may provide a more complete and accurate display in which even subtle vessel invasion can be detected.
Numerous articles, including one by Vedantham et al (14), have shown that helical CT performed in the portal venous phase at 40–70 seconds after injection of contrast material is ideal for demonstrating peripancreatic venous anatomy for determining tumor invasion. However, as noted previously, the use of axial CT alone may not be ideal for pancreatic imaging and a more volumetric display may provide additional information. Graf et al (15) used single-detector CT to create accurate CT venograms of the mesenteric veins that were equivalent to angiograms in the depiction of variations in vascular anatomy. However, a detailed analysis of the images would suggest that the detail of those CT venograms was not adequate to define the early vessel invasion that occurs in pancreatic cancer. Novick et al (16) showed that by using advanced three-dimensional techniques such as volume rendering to produce vascular maps, they could not only define the venous anatomy but also accurately predict vascular invasion. Raptopoulos et al (17) had similar results with CT angiography from using single-detector spiral CT data sets. In their study, use of both CT angiograms and axial images yielded a negative predictive value of a resectable tumor of 96%, compared with 70% when only axial images were used. The CT angiograms were especially valuable for determining unresectability.
The use of multidetector CT coupled with three-dimensional postprocessing provides an even better way to image vessel patency, since the technique yields true volume data sets of the arterial and venous system. With the three-dimensional display, we can define vessel patency and determine early vessel encasement or invasion. The use of these display tools may decrease the likelihood of false-positive studies and indeterminate studies. Anatomic areas for which the three-dimensional display is especially helpful include the confluence of the portal vein and the SMV and the more distal portions of the portal vein. As surgeons become more aggressive in treating pancreatic cancer by placing vascular grafts when only limited invasion is present, the use of these three-dimensional angiographic maps will become even more valuable. However, carefully controlled, double-blind studies will be needed to truly document these observations with detailed statistical analysis.
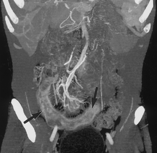
Imaging of Mesenteric Vasculature and Bowel
When analyzing the detail of the display of the mesenteric arteries and veins routinely demonstrated in patients with suspected pancreatic disease, it becomes clear that there are other abdominal conditions for which multidetector CT angiography may prove beneficial. One such application is in the evaluation of the patient with suspected ischemic bowel. Although CT has long been used as a diagnostic study for the evaluation of ischemic bowel, the classic CT findings are more often seen in patients with more advanced disease. The CT signs of early ischemia may be only several dilated loops of bowel, which is a nonspecific finding. The more classic CT signs, such as pneumatosis of the bowel wall, edema or thickening of the bowel wall, inflammation of the pericolonic fat, and clot in the SMA or SMV, are seen in later stages of ischemia. Ideally, we would like to detect ischemic bowel at an earlier stage, when intervention can have a greater impact on decreasing morbidity and mortality.
The introduction of multidetector CT with three-dimensional rendering may provide unique capabilities for this application (Fig 5). The presence of SMA or SMV stenosis or occlusion, narrowing or occlusion of proximal or distal mesenteric branch vessels, and patterns of collateralization can be clearly defined with this technique (Fig 6). The use of both volume rendering and MIP-based three-dimensional reconstruction allows the branching of the mesenteric vessels to be defined in similar or better detail compared with classic angiography without the need for catheter placement. An additional advantage of CT angiography over conventional angiography is the ability to evaluate bowel enhancement. In cases of ischemia, there are often changes in bowel enhancement, which may be seen as focal decreased enhancement of the small bowel on the CT images (18).
Our experience with multidetector CT angiography shows the need for dual-phase acquisitions. The arterial-phase acquisition is best for arterial mapping, especially of smaller more distal branch vessels, whereas the venous phase is best for defining SMV patency and the patency of the portal vein, inferior mesenteric vein, and its tributaries. The later phase images are also best for detecting changes in bowel enhancement in ischemia.
Not surprisingly, the ability to visualize small vessels typically requires narrow scan widths (1–1.25 mm) and small interscan intervals (1 mm). The data must be acquired in a successful single breath hold so it is not surprising that multidetector CT is essential. Although single-detector CT can be used, it has significant limitations for this application.
One obvious disadvantage of using CT to image the mesenteric vasculature is that vasoactive medications cannot be introduced during the imaging evaluation, as can be done with catheter angiography. However, since clinicians may be more willing to request a CT study rather than the more invasive angiographic examination, this diagnostic tool may provide the opportunity for more aggressive diagnosis. Further investigation is needed in this area.
Another potential application that we believe may be developed with multidetector CT and CT angiography is a more functional examination of the bowel in Crohn disease (Fig 7). Although CT has long been used to determine the extent of Crohn disease involvement especially for extraluminal disease, the question of disease activity has always been a challenge. If the bowel is thickened, it is simply a sign of Crohn disease but not an indicator of activity. Preliminary work suggests that we may be able to obtain additional information from CT angiography about disease activity. We have found two important signs at dual-phase CT angiography that may suggest active disease. First, the distant arterial branches to bowel appear dilated and often serpentine. Second, the areas of active disease are increasingly enhanced on the early-phase images, which is probably a result of hyperemia and increased blood flow. Prior reports of ultrasonographic and magnetic resonance imaging findings have suggested that active Crohn disease manifests with increased blood flow. Larger studies with surgical and pathologic correlation will be needed to document the frequency of these findings, and only then will the role of CT angiography in evaluating Crohn disease be clearer.
Hepatic Imaging
CT angiography is becoming an important primary and secondary imaging modality in the evaluation of hepatic disease. As a primary imaging modality, CT angiography is used as a replacement for conventional angiography in such applications as preoperative planning for hepatic resection, preoperative evaluation and planning for liver transplantation (in both potential recipients and living related donors for both adult-child and adult-to-adult transplantation), pretreatment planning for patients considered for hepatic arterial infusion chemotherapy, and pretreatment evaluation of portal vein patency for a variety of reasons (eg, transjugular intrahepatic portosystemic shunt placement) (19–25). As a secondary imaging modality, CT angiography can provide supplemental information in patients with cirrhosis, upper gastrointestinal tract bleeding due to varices, or primary extrahepatic neoplasms.
Regardless of the application for which the modality is being used, the study design and scanning protocol will continue to be the most critical steps for a successful CT angiographic study of the liver. In most applications, two phases of data acquisition are needed: an arterial phase (25-second delay) and a portal venous phase (60-second delay). In select cases, a third phase (either unenhanced or 90-second delay after injection of contrast media) may be needed. In other cases, such as evaluation of portal vein patency, only a single phase of acquisition is needed. Although routine CT examinations of the liver for suspected metastatic or primary tumor may be performed with 5-mm section thickness, CT angiography requires the use of 1–1.25-mm section thickness. The scan data are then reconstructed at 1-mm intervals, which usually results in an average of 200–230 sections per patient per acquisition. Although single-detector scanners can be used, the protocols with 1–1.25-mm section width are typically possible only with a multidetector CT scanner. When a single-detector scanner is used, the section collimation used is typically 3 mm with data reconstruction at 2-mm intervals.
Evaluation for Liver Transplantation.— One of the most common applications for CT angiography of the liver today is in the evaluation of potential liver transplant candidates (23) (Fig 8). Inthe patient with liver disease who may require a transplant, the modality provides a comprehensive examination that answers a number of specific questions including (a) what is the status of the liver parenchyma, (b) is a hepatoma present, (c) is extrahepatic disease present, (d) are varices present and if so to what extent and where, (e) is the portal vein patent, and (f) what is the origin and branching pattern of the hepatic arterial system?
The use of dual-phase acquisition with three-dimensional reconstruction provides unique tools for data display, orientation, and interaction. These tools are helpful in better defining vessels such as the hepatic artery or vein depending on the clinical situation. Not surprisingly, determination of portal vein patency requires use of portal-venous-phase or later phase imaging as well.
Smith et al (23) reviewed the results of dual-phase spiral CT with three-dimensional volume rendering in 50 consecutive patients and found that the study provided a comprehensive preoperative liver transplant evaluation, supplying the information necessary for both patient selection and surgical planning. In the series of 50 patients, 10 patients (20%) had anomalous origin of the hepatic artery and six patients (12%) had cavernous transformation of the portal vein. Five patients had hepatic masses of which one was a hepatoma and four had nonneoplastic tumors. Nghiem et al (24) similarly reviewed a series of 80 potential liver transplant recipients who underwent double helical CT and three-dimensional CT angiography (DHCT/3D-CTA). The authors found that "DHCT/3D-CTA provides noninvasive means to identify findings that have significant impact on surgical planning for hepatic transplantation including celiac axis stenosis, diameter of inflow arterial vessel ≤3 mm, complete replacement of hepatic arterial supply, portal vein thrombosis, and splenic artery aneurysm."
With the severe shortage of cadaveric livers for transplantation, there is much interest in alternative solutions, including transplanting a portion of the liver from a living related donor. In the past, parent-to-child liver donation has been successful and a viable treatment alternative for children with hepatic failure. In these cases, the adult typically donated the lateral segment of the left lobe. CT angiography of the adult liver was performed to define the vascular map and to measure liver volumes. Conventional spiral CT of the child was also performed to measure the volume of the liver to be removed to ensure that the donated liver tissue would fit into the recipient. More recently, the procedure has been attempted in adult-to-adult living donor transplantation. In these cases, the portion of the donor’s liver that is used is the right lobe, and CT angiography appears to be an ideal way to noninvasively evaluate these patients.
Kamel et al (26,27) reviewed the multidetector CT examinations of 40 consecutive potential donors and found that 15 patients were excluded as donors based on the CT findings. Multidetector CT in this series "provided comprehensive parenchymal, and volumetric preoperative evaluation of potential donors undergoing living adult right lobe liver transplantation." The three-dimensional maps allowed both patient stratification and preoperative surgical planning (Fig 9). The CT angiographic mapping is especially valuable for defining variations in hepatic venous anatomy, which may be crucial in patient selection. Three-dimensional mapping of arterial and venous anatomy with CT angiography is rapidly becoming the state of the art for this clinical application.
Once the liver has been transplanted, CT angiography can also be used for evaluation of potential transplant complications in either the transplant donor or recipient. Katyal et al (22) used the technique to successfully detect common and potentially lethal vascular complications, including hepatic artery stenosis, hepatic artery thrombosis, and portal vein stenosis.
Planning Liver Resection for Hepatic Tumors.— The use of subsecond single-detector spiral CT and of multidetector CT with its ability to acquire multiple well-timed sets of image data has increased our ability to detect and classify hepatic tumors. Whether the lesions be hypovascular or hypervascular, the use of thin collimation and multiphasic data acquisition has helped us to optimize both detection and classification of liver disease (Figs 10–12).
Once the presence and extent of disease are defined, decisions about resectability need to be made. The use of three-dimensional CT angiography is a natural progression of the work done over the past decade in surgical planning for hepatic resection. Three-dimensional rendering of arterial-phase and portal-venous-phase imaging data allow us to construct highly detailed and accurate vascular maps that are used as a guide for surgical planning. These vascular maps provide better detail of the portal or hepatic veins and of possible tumoral vascular invasion by displaying the course of the vessels in optimal planes. Uchida et al (25) compared the MIP technique with the volume rendering technique (VRT) and found that both techniques could provide valuable information. However, "the VRT was needed to sufficiently depict the relationship of the hepatic and intrahepatic portal veins to the segmental anatomic structure and to the tumor." The volume rendering technique, therefore, was thought to be critical for surgical planning and for providing detailed anatomic displays of the normal liver, the tumor, and the vascular map. This is similar to our experience, in which the volume-rendered images are the primary display mode and MIP is used to supplement this display. However, with today’s workstations with real-time rendering, it takes literally a split second to change from one rendering technique to the other so there is little need for controversy and both techniques have select advantages.
Evaluation of Cirrhosis.— The ability to evaluate the liver in multiple phases of enhancement is ideal for the evaluation of hepatic parenchymal disease. The portal venous phase is best for defining the patency of the portal vein and the SMV and the patterns of collateral flow. Whether the collateral vessels are dilated coronary veins, gastroepiploic veins, or splenorenal veins, three-dimensional CT angiographic mapping is ideal for defining the extent and location of these vessels (Figs 13,14 ). This information may be helpful in biopsy planning and in evaluating potential transplant candidates.
Conclusions
The advances in single-detector spiral CT, and most recently multidetector CT, have given the radiologist unique imaging capabilities that provide the opportunity to revolutionize how we image and evaluate patients for a wide range of clinical indications. The ability to provide a noninvasive examination at 25%–33% of the cost of a more invasive study with equal or greater ease of use is a very exciting development in imaging.
The development of faster workstations, coupled with better and more usable user interfaces and investigative tools, promises to help drive the entire CT arena. The introduction over the next 12–24 months of newer multidetector scanners with 8–24 detectors and acquisition speeds in the 100–200 msec range, coupled with routine section collimation of 0.5 mm resulting in isotropic data sets, will continue to drive the field. Changes in our work flow will be needed if we are to take full advantage of this new technology. One obvious concern with these new applications is the potential radiation dose. The use of lower milliampere seconds, higher pitch, and scanners with more efficient detector systems all help minimize patient radiation exposure. Future developments including scanner-controlled dose modulation will also be important. We look forward to these exciting challenges and opportunities to help meet our goals of improving diagnosis, patient care, and therapy.
Abbreviations: MIP = maximum intensity projection, SMA = superior mesenteric artery, SMV = superior mesenteric vein
References
1. Foley WD, Mallisee TA, Hohenwalter MD, Wilson CR, Quiroz FA, Taylor AJ. Multiphase hepatic CT with a multirow detector CT scanner. AJR Am J Roentgenol 2000; 175:679-685.
2. Hu H, He HD, Foley WD, Fox SH. Four multidetector-row helical CT: image quality and volume coverage speed. Radiology 2000; 215:55-62.
3. Johnson PT, Heath DG, Kuszyk BS, et al. CT angiography with volume rendering: advantages and applications in splanchnic vascular imaging. Radiology 1996; 200:564-568.
4. Kuszyk BS, Heath DG, Ney DR, et al. CT angiography with volume rendering: imaging findings. AJR Am J Roentgenol 1995; 165:445-448.
5. Rieker O, Duber C, Pitton M, Schweden F, Thelen M. CT angiography versus intraarterial digital subtraction angiography for assessment of aortoiliac occlusive disease. AJR Am J Roentgenol 1997; 169:1133-1138.
6. Drebin RA, Carpenter L, Hanrahan P. Volume rendering. Comput Graph 1988; 22:65-74.
7. Ney DR, Drebin RA, Fishman EK, Magid D. Volumetric rendering of computed tomographic data: principles and techniques. IEEE Comput Graph Appl 1990; 10:24-32.
8. Graf O, Boland GW, Warshaw AL, Fernandez-del-Castillo C, Hahn PF, Mueller PR. Arterial versus portal venous helical CT for revealing pancreatic adenocarcinoma: conspicuity of tumor and critical vascular anatomy. AJR Am J Roentgenol 1997; 169:119-123.
9. Bonaldi VM, Bret PM, Atri M, Reinhold C. Helical CT of the pancreas: a comparison of cine display and film-based viewing. AJR Am J Roentgenol 1998; 170:373-376.
10. Freeny PC. Radiologic diagnosis and staging of pancreatic ductal adenocarcinoma. Radiol Clin North Am 1989; 27:121-128.
11. Freeny PC, Marks WM, Ryan JA, Traverso LW. Pancreatic ductal adenocarcinoma: diagnosis and staging with dynamic CT. Radiology 1988; 166:125-133.
12. Fishman EK, Horton KM, Urban BA. Multidetector CT angiography in the evaluation of pancreatic carcinoma: preliminary observations. J Comput Assist Tomogr 2000; 24:849-853.
13. Lu DSK, Reber HA, Krasny RM, Kadell BM, Sayre J. Local staging of pancreatic cancer: criteria for unresectability of major vessels as revealed by pancreatic-phase, thin-section helical CT. AJR Am J Roentgenol 1997; 168:1439-1443.
14. Vedantham S, Lu DSK, Reber HA, Kadell B. Small peripancreatic veins: improved assessment in pancreatic cancer patients using thin-section pancreatic phase helical CT. AJR Am J Roentgenol 1998; 170:377-383.
15. Graf O, Boland GW, Kaufman JA, Warshaw AL, Fernandez-del-Castillo C, Mueller PR. Anatomic variants of mesenteric veins: depiction with helical CT venography. AJR Am J Roentgenol 1997; 168:1209-1213.
16. Novick SL, Fishman EK. Three-dimensional CT angiography of pancreatic carcinoma: role in staging extent of disease. AJR Am J Roentgenol 1998; 170:139-143.
17. Raptopoulos V, Steer ML, Sheiman RG, Vrachliotas CA, Movson JS. The use of helical CT and CT angiography to predict vascular involvement from pancreatic cancer: correlation with findings at surgery. AJR Am J Roentgenol 1997; 168:971-977.
18. Horton KM, Fishman EK. 3D CT angiography of the celiac and superior mesenteric arteries with multidetector CT data sets: preliminary observations. Abdom Imaging 2000; 25:523-525.
19. Lim JH, Kim CK, Lee WJ, et al. Detection of hepatocellular carcinomas and dysplastic nodules in cirrhotic livers: accuracy of helical CT in transplant patients. AJR Am J Roentgenol 2000; 175:693-698.
20. Bluemke DA, Chambers TP. Spiral CT angiography: an alternative to conventional angiography. Radiology 1995; 195:317-319.
21. Raptopoulos V, Prassopoulos P, Chuttani R, McNicholas MMJ, McKee JD, Kressel HY. Multiplanar CT pancreatography and distal cholangiography with minimum intensity projections. Radiology 1998; 207:317-324.
22. Katyal S, Oliver JH, 3rd, Buck DG, Federle MP. Detection of vascular complications after liver transplantation: early experience in multislice CT angiography with volume rendering. AJR Am J Roentgenol 2000; 175:1735-1739.
23. Smith PA, Klein AS, Heath DG, Chavin K, Fishman EK. Dual-phase spiral CT angiography with volumetric 3D rendering for preoperative liver transplant evaluation: preliminary observations. J Comput Assist Tomogr 1998; 22:868-874.
24. Nghiem HV, Dimas CT, McVicar JP, et al. Impact of double helical CT and three-dimensional CT arteriography on surgical planning for hepatic transplantation. Abdom Imaging 1999; 24:278-284.
25. Uchida M, Ishibashi M, Abe T, Nishimura H, Hayabuchi N. Three-dimensional imaging of liver tumors using helical CT during intravenous injection of contrast medium. J Comput Assist Tomogr 1999; 23:435-440.
26. Kamel IR, Raptopoulos V, Pomfret EA, et al. Living adult right lobe liver transplantation: imaging before surgery with multidetector multiphase CT. AJR Am J Roentgenol 2000; 175:1141-1143.
27. Kamel IR, Kruskal JB, Pomfret EA, Keogan MT, Warmbrand G, Raptopoulos V. Impact of multidetector CT on donor selection and surgical planning before living adult right lobe liver transplantation. AJR Am J Roentgenol 2001; 176:193-200.



































