Small Serotonin-Producing Neuroendocrine Tumor of the Pancreas Associated With Pancreatic Duct Obstruction
Satomi Kawamoto1, Chanjuan Shi2, Ralph H. Hruban2, Michael A. Choti3, Richard D. Schulick3, Elliot K. Fishman1 and Stanley S. Siegelman1
Author Affiliations:
1 Russell H. Morgan Department of Radiology and Radiological Science, Johns Hopkins Hospital, 601 N Caroline St, JHOC 3235A, Baltimore, MD 21287.
2 Department of Pathology, Sol Goldman Pancreatic Cancer Research Center, Johns Hopkins Medical Institutions, Baltimore, MD.
3 Department of Surgery, Sol Goldman Pancreatic Cancer Research Center, Johns Hopkins Medical Institutions, Baltimore, MD.
Abstract
OBJECTIVE. Pancreatic neuroendocrine tumors expressing serotonin (carcinoid tumors) account for a small portion of pancreatic neuroendocrine tumors. The purpose of this study was to describe cases of small serotonin-producing pancreatic neuroendocrine tumors associated with pancreatic duct obstruction.
CONCLUSION. Serotonin produced by pancreatic neuroendocrine tumors can induce fibrosis and pancreatic duct obstruction. Pancreatic neuroendocrine tumors should be considered when CT shows a small hypervascular mass associated with upstream pancreatic duct dilatation or atrophy. Evidence of small pancreatic neuroendocrine tumors should be sought in cases of idiopathic pancreatic duct stenosis.
Pancreatic neuroendocrine tumors, also known as islet cell tumors, are uncommon, representing less than 3% of all pancreatic neoplasms [1]. These neoplasms can have a variety of histopathologic appearances and cause a range of clinical symptoms [1]. Pancreatic neuroendocrine tumors expressing serotonin (carcinoid tumors) account for a small portion of these tumors [2], and expression of serotonin can be evidenced by immunolabeling of the neoplastic tissue [3].
Segmental changes in the pancreatic duct are being increasingly encountered as patients undergo abdominal imaging for evaluation of a variety of symptoms and as imaging modalities improve [4]. Segmental pancreatic duct dilatation and pancreatic atrophy can be caused by duct obstruction as a result of nonneoplastic disease, such as chronic pancreatitis, and by malignant neoplasms, such as pancreatic ductal adenocarcinoma. In most such cases, clearly evident direct involvement or invasion of the main pancreatic duct is the cause.
In rare instances, small pancreatic neuroendocrine tumors cause obstruction of the pancreatic duct [4–10]. We have reported [10] a series of pancreatic neuroendocrine tumors with substantial upstream pancreatic duct dilatation or pancreatic atrophy out of proportion to the size of the tumor. Since that report, from November 2009 to May 2010, we encountered four additional cases of small pancreatic neuroendocrine tumors causing obstruction of the pancreatic duct. This essay illustrates six serotonin-producing pancreatic neuroendocrine tumors causing pancreatic duct obstruction with substantial upstream pancreatic duct dilatation or pancreatic atrophy. It includes two cases from our previous report and the four additional cases. CT showed a small hypervascular mass in proximity to but not within the pancreatic duct. Upstream pancreatic duct dilatation or atrophy secondary to pancreatic duct obstruction was the prominent feature in these patients.
Clinical Presentation
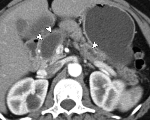
The cases of six patients are presented. Three of the lesions were found incidentally during imaging for another indication (Figs. 1A, 1B, 2A, 2B, 2C, 2D, 3A, and 3B), and two were discovered during imaging performed for nonspecific symptoms (e.g., abdominal discomfort, weight loss) (Figs. 4A, 4B, 4C, 5A, 5B, 5C, 5D, 5E, and 5F). One of the latter patients (Figs. 5A, 5B, 5C, 5D, 5E, and 5F) initially underwent CT because of an approximately 3-kg weight loss, and the images showed segmental dilatation of the pancreatic duct. The patient then underwent CT with a dedicated pancreas protocol, which revealed a dilated main pancreatic duct (4 mm) with an abrupt ductal transition in the head of the pancreas, but no discrete pancreatic mass was detected. One year later, the patient underwent another CT examination because of night sweats. The images revealed persistent dilatation of the pancreatic duct and a 5-mm enhancing lesion at the point of ductal transition. Finally, 6 years after the initial study, CT revealed increased pancreatic duct dilatation (6 mm), upstream pancreatic atrophy, and a 7-mm enhancing lesion in the pancreatic head at the ductal transition. The sixth patient presented with pancreatitis related to obstruction of the main pancreatic duct (Figs. 6A, 6B, 6C, and 6D). One patient (Figs. 3A and 3B) had no history of pancreatitis but had a slightly elevated serum amylase concentration.
Serotonin-expressing tumors of the pancreas associated with obstructive pancreatitis have been documented [8, 11, 12], and serotonin-expressing tumors of the pancreas are thought to be associated with a higher frequency of main pancreatic duct obstruction and pancreatitis than are other neuroendocrine tumors. Patients may have diabetes mellitus (Figs. 2A, 2B, 2C, 2D, 6A, 6B, 6C, and 6D). None of the patients described in this article had carcinoid syndrome or other hormone-related syndromes other than diabetes mellitus. Almost all concentrations of serum tumor markers, including CA 19-9, were normal; one patient (Figs. 5A, 5B, 5C, 5D, 5E, and 5F) had minimal elevation of CA 19-9 to 50.1 U/mL (normal, 0–36.0 U/mL).
CT Findings
In all patients, a hyperenhancing mass was seen in the pancreas at the point of ductal transition. The lesions were most commonly located in the head of the gland, but the tumors can be present in the body or tail of the pancreas [9, 10, 13]. Tumor size, as measured at CT, ranged from 7 mm to 1.5 cm. Most of the tumors were smaller than 1 cm in diameter (Figs. 2A, 2B, 2C, 2D, 3A, 3B, 5A, 5B, 5C, 5D, 5E, 5F, 6A, 6B, 6C, and 6D). The tumor was usually visualized as a hyperenhancing lesion relative to the normal pancreatic parenchyma. Peak enhancement was seen during the arterial phase (25 seconds from the start of IV contrast injection in our protocol) (Figs. 4A, 4B, 4C, 6A, 6B, 6C, and 6D) or the portal venous phase (55–60 seconds) (Figs. 1A, 1B, 2A, 2B, 2C, 2D, 3A, 3B, 5A, 5B, 5C, 5D, 5E, and 5F); it can be more conspicuous in the arterial phase or the portal venous phase. Occasionally, the mass may not be well seen on CT images, and only segmental ductal dilatation or pancreatic atrophy is seen [10].
In this study, the pancreas was considered atrophic when the anteroposterior diameter of the pancreatic parenchyma excluding the pancreatic duct was less than 15 mm on axial images. Pancreatic atrophy was more pronounced in some cases (Figs. 1A, 1B, 2A, 2B, 2C, and 2D), and in other cases dilatation of the main pancreatic duct was more apparent than pancreatic atrophy (Figs. 3A, 3B, 4A, 4B, 4C, 5A, 5B, 5C, 5D, 5E, and 5F). Downstream of the ductal transition, the pancreas is usually of normal size. Distant metastasis (Figs. 1A and 1B) and adenopathy may be found. Small tumors usually do not involve the common bile duct; biliary ductal dilatation was not found in our cases.
Isolated reports [8, 9, 13] have described serotonin-expressing tumors causing pancreatic duct obstruction and subsequent upstream duct dilatation or pancreatic atrophy. Takaji et al. [13] reported four cases of pancreatic carcinoid tumors. Dilatation of the main pancreatic ducts upstream of the tumors was seen in three cases. The tumors were hyperenhancing at dynamic CT and were most conspicuous in the arterial dominant phase (40 seconds) in three cases and the portal venous phase (70 seconds) in one case.
Endoscopic Ultrasound Findings
Endoscopic ultrasound (EUS) was performed for further evaluation and possibly biopsy of the lesions in four patients with tumors smaller than 1 cm in diameter found at CT (Figs. 2A, 2B, 2C, 2D, 3A, 3B, 5A, 5B, 5C, 5D, 5E, 5F, 6A, 6B, 6C, and 6D). In one patient (Figs. 2A, 2B, 2C, and 2D), EUS showed atrophic pancreatic body and tail and mild features of chronic pancreatitis. It was not possible, however, to evaluate the pancreatic neck and head because the patient had undergone a gastric bypass procedure. In another patient (Figs. 3A and 3B), EUS revealed a focal stricture of the pancreatic duct in the head with upstream dilatation of the pancreatic duct up to 7.7 mm in the body. No clear mass was identified in the region of the stricture. The pancreatic tail was mildly atrophic. A third patient (Figs. 5A, 5B, 5C, 5D, 5E, and 5F) underwent EUS after initial detection of a small mass at CT, but the pancreatic mass was not found with EUS. Repeat EUS 1 year before surgery showed dilatation of the pancreatic duct to 6 mm, but no mass was found. The final patient (Figs. 6A, 6B, 6C, and 6D) underwent EUS at another institution, and it was reported that biopsy did not yield enough tissue to establish a diagnosis. Because of the findings in our previous report [10] of small pancreatic neuroendocrine tumors causing obstruction of the pancreatic duct and upstream pancreatic duct dilatation or pancreatic atrophy out of proportion to the size of the tumor, these lesions were thought to be suspicious for pancreatic neuroendocrine tumor. The patients were fully informed of the status and were informed about alternatives, including careful active surveillance with imaging; indications; benefits; and risks of surgery. The patients underwent surgical exploration for planned resection.
Pathologic Findings
Pathologically, all lesions were found to be well-differentiated pancreatic neuroendocrine tumors. All six cases were remarkable for marked stromal fibrosis in the area of the neoplasm, which resulted in concentric narrowing of the pancreatic duct. Immunohistochemical labeling for serotonin revealed that the neoplasms all strongly and diffusely expressed serotonin (Figs. 2A, 2B, 2C, 2D, 5A, 5B, 5C, 5D, 5E, 5F, 6A, 6B, 6C, and 6D). An additional pathologic finding in two patients was chronic pancreatitis, presumably a result of duct obstruction (Figs. 5A, 5B, 5C, 5D, 5E, 5F, 6A, 6B, 6C, and 6D).
Causes of Pancreatic Duct Obstruction
In previously reported cases of serotonin-producing pancreatic neuroendocrine tumors causing pancreatic duct obstruction and subsequent upstream duct dilatation or pancreatic atrophy, associated findings that might have contributed to obstruction of the main pancreatic duct included fibrosis [5, 6, 9] and compression of the pancreatic duct [8]. Takaji et al. [13] also found invasion serotonin-expressing pancreatic neuroendocrine tumors into the main pancreatic duct, something we did not observe.
We have been intrigued by the extent of duct dilatation and parenchymal atrophy encountered upstream of such small lesions. We believe the key phenomenon involved is a consequence of elaboration of serotonin by these small neoplasms [10]. Localized effects of serotonin or related metabolites induce a dense fibrotic response that constricts the pancreatic duct. The scarring and retraction are reminiscent of the process that occurs in the mesentery adjacent to deposits of small-intestinal carcinoid tumors [14]. The precise means by which serotonin or related products cause fibrous proliferation are not known [15]. Current thinking is that fibrogenesis is a consequence of the production of a number of substances, including serotonin, 5-hydroxyindoleacetic acid. and other components of the downstream signaling pathway [16].
After we became aware of the phenomenon of small pancreatic neuroendocrine tumors associated with pancreatic duct dilatation and pancreatic atrophy with ductal transition [10], we started to carefully search CT images for a small hypervascular lesion at the duct transition. In so doing we found four additional cases of small pancreatic neuroendocrine tumors with pancreatic duct obstruction. This series of events nicely shows how an observation can lead to identification of an association, which in turn allows one to recognize lesions that were likely missed for years.
According to case reports and literature published in the 1990s [3, 17], serotonin-expressing pancreatic neuroendocrine tumors generally grow slowly and invade to the adjacent organs late in their course. There is, however, a high incidence of distant metastasis, and these neoplasms are usually diagnosed late when they are large and have metastasized. The finding of small pancreatic neuroendocrine tumors causing obstruction of the pancreatic duct we describe suggests a way to detect and treat these neoplasms while they are small and therefore potentially curable [10]. Further data are needed to determine how often pancreatic neuroendocrine tumors expressing serotonin are associated with pancreatic duct obstruction and how often small pancreatic neuroendocrine tumors associated with pancreatic duct obstruction express serotonin.
Conclusion
Small neuroendocrine tumors of the pancreas can produce pancreatic duct obstruction resulting in upstream duct dilatation and pancreatic atrophy out of proportion to the size of the tumor. These tumors often are adjacent to but do not invade the duct and frequently are immunolabeled for serotonin. When pancreatic duct dilatation or pancreatic atrophy is associated with a hyperenhancing mass at CT, pancreatic neuroendocrine tumor should be strongly considered. If idiopathic pancreatic duct stenosis is found, a careful search for a small enhancing lesion may prove fruitful.
References
1. Verbeke CS. Endocrine tumors of the pancreas. Histopathology 2010; 56:669–682
2. Wilson RW, Gal AA, Cohen C, DeRose PB, Millikan WJ. Serotonin immunoreactivity in pancreatic endocrine neoplasms (carcinoid tumors). Mod Pathol 1991; 4:727–732
3. Mao C, el Attar A, Domenico DR, Kim K, Howard JM. Carcinoid tumors of the pancreas. Status report based on two cases and review of the world's literature. Int J Pancreatol 1998; 23:153–164
4. Powell AC, Hajdu CH, Megibow AJ, Shamamian P. Nonfunctioning pancreatic endocrine neoplasm presenting as asymptomatic, isolated pancreatic duct stricture: a case report and review of the literature. Am Surg 2008; 74:168–171
5. Odaira C, Choux R, Payan MJ, Bockman DE, Sarles H. Chronic obstructive pancreatitis, nesidioblastosis, and small endocrine pancreatic tumor. Dig Dis Sci 1987; 32:770–774
6. Sarles H, Cambon P, Choux R, et al. Chronic obstructive pancreatitis due to tiny (0.6 to 8 mm) benign tumors obstructing pancreatic ducts: report of three cases. Pancreas 1988; 3:232–237
7. Uemura K, Murakami Y, Hayashidani Y, et al. Main pancreatic duct obstruction due to a small nonfunctioning endocrine tumor of the pancreas. Hiroshima J Med Sci 2009; 58:45–48
8. Kim HC, Park SI, Park SJ, et al. Pancreatic carcinoid tumor with obstructive pancreatitis: multislice helical CT appearance —case repor t. Abdom Imaging 2005; 30:601–604
9. Hamada Y, Nakayama Y, Maeshiro K, Ikeda T, Hayashi H, Iwasaki H. Two cases of primary carcinoid tumor of the pancreas associated with marked stenosis of the main pancreatic duct. Pancreas 2009; 38:834–835
10. Shi C, Siegelman SS, Kawamoto S, et al. Pancreatic duct stenosis secondary to small endocrine neoplasms: a manifestation of serotonin production? Radiology 2010; 257:107–114
11. Gettenberg G, Zimbalist E, Marini C. Chronic pancreatitis and pseudocyst formation secondary to carcinoid tumor of the pancreas. Gastroenterology 1988; 94:1222–1224
12. Nagai E, Yamaguchi K, Hashimoto H, Sakurai T. Carcinoid tumor of the pancreas with obstructive pancreatitis. Am J Gastroenterol 1992; 87:361–364
13. Takaji R, Matsumoto S, Mori H, et al. Carcinoid tumors of the pancreas: dynamic CT and MRI features with pathological correlation. Abdom Imaging 2009; 34:753–758
14. Pantongrag-Brown L, Buetow PC, Carr NJ, Lichtenstein JE, Buck JL. Calcification and fibrosis in mesenteric carcinoid tumor: CT findings and pathologic correlation. AJR 1995; 164:387–391
15. Modlin IM, Shapiro MD, Kidd M. Carcinoid tumors and fibrosis: an association with no explanation. Am J Gastroenterol 2004; 99:2466–2478
16. Druce M, Rockall A, Grossman AB. Fibrosis and carcinoid syndrome: from causation to future therapy. Nat Rev Endocrinol 2009; 5:276–283
17. Maurer CA, Baer HU, Dyong TH, et al. Carcinoid of the pancreas: clinical characteristics and morphological features. Eur J Cancer 1996; 32A:1109–1116





















