google ads

Prevalence of Unsuspected Pancreatic Cysts on MDCT

Thomas A. Laffan, Karen M. Horton, Alison P. Klein, Bruce Berlanstein, Stanley S. Siegelman, Satomi Kawamoto, Pamela T. Johnson, Elliot K. Fishman and Ralph H. Hruban

Abstract

OBJECTIVE. Current generation MDCT technology facilitates identification of small, nonenhancing lesions in the pancreas. The objective of this study was to determine the prevalence of findings of unsuspected pancreatic cysts on 16-MDCT in a population of adult outpatients imaged for disease unrelated to the pancreas.

MATERIALS AND METHODS. Contrast-enhanced MDCT scans of the abdomen were reviewed from 2,832 consecutive examinations to identify pancreatic cysts. Patients with a history of pancreatic lesions or predisposing factors for pancreatic disease or who were referred for pancreatic CT were excluded.

RESULTS. A total of 73 patients had pancreatic cysts, representing a prevalence of 2.6 per 100 patients (95% CI, 2.0–3.2). Cysts ranged in size from 2 to 38 mm (mean, 8.9 mm) and were solitary in 85% of cases. Analysis of demographic information showed a strong correlation between pancreatic cysts and age, with no cysts identified among patients under 40 years and a prevalence of 8.7 per 100 (95% CI, 4.6–12.9) in individuals from 80 to 89 years. After controlling for age, cysts were more common in individuals of the Asian race than all other race categories, with an odds ratio of 3.57 (95% CI, 1.05–12.13). There was no difference by sex in the prevalence of cysts (p = 0.527); however, cysts were on average 3.6 mm larger (p = 0.014) in men than women.

CONCLUSION. In this outpatient population, the prevalence of unsuspected pancreatic cysts identified on 16-MDCT was 2.6%. Cyst presence strongly correlated with increasing age and the Asian race.

Introduction

This year an estimated 37,170 Americans will be diagnosed with pancreatic cancer, and 33,370 will die from the disease [1]. Detection of this disease in its early curable stages is difficult, to the extent that more than 80% of pancreatic cancers have metastasized or are locally unresectable at the time of diagnosis [2]. As a result, the 5-year survival rate for all stages combined is 5% [3]. The detection and treatment of early precursors to invasive pancreatic cancer offer the best hope for improving outcome.

Three histologically distinct precursors to invasive adenocarcinoma of the pancreas have been identified. These include the intraductal papillary mucinous neoplasm, the mucinous cystic neoplasm, and pancreatic intraepithelial neoplasia [4]. Pancreatic intraepithelial neoplasias are too small to be detected by most imaging methods. However, both intraductal papillary mucinous neoplasms and mucinous cystic neoplasms should be detectable, and both appear as cystic pancreatic lesions on cross-sectional imaging [5]. This suggests that an asymptomatic cyst detected in the pancreas could represent a treatable precursor to invasive cancer.

A limited number of previous studies have reported both the incidence and prevalence of pancreatic cysts across a range of patient populations using autopsy, MRI, and CT [69]. However, current generation MDCT technology with narrow detector thickness provides exceptional spatial and temporal resolution, thus facilitating identification of small, nonenhancing lesions in the pancreas. Using this technology, we sought to determine the prevalence of unsuspected (i.e., previously undiagnosed and not related to the indication for the CT examination) asymptomatic pancreatic cysts in adult subjects who did not have known pancreatic disease. This data will provide the foundation for additional investigation into the pathophysiology and natural history of these lesions and will ultimately contribute toward the establishment of an evidence-based management plan.

Materials and Methods

The institutional review board at Johns Hopkins School of Medicine granted an exemption for this retrospective record review and waived the requirement for informed patient consent.

Subjects

We retrospectively identified all patients who underwent abdominal CT at an outpatient center over a 1-year period for conditions other than known or suspected pancreatic disease. The period covered was from June 20, 2005, to June 19, 2006. Relevant scans were identified using an internal coding system for CT scans that included the abdomen.

The following were the inclusion criteria for the study: Age greater than 19 years at the time of CT and an IV contrast-enhanced 16-MDCT examination including the pancreas using the protocols outlined later in the CT Technique section. To ensure that any cysts discovered were truly unsuspected, we excluded patients with known pancreatic disease or predisposing factors for pancreatic disease or who had symptoms related to the pancreas. Such patients were defined using the following exclusion list: patients with a known history of either symptomatic or asymp tomatic pancreatic cysts or masses; CT exami nations ordered specifically to image the pancreas; patients who underwent pancreatectomy in any form (Whipple, total, distal); pancreas transplant recipients; CT examinations performed for nonspecific pain, mass, and so on for which the cause was subsequently deemed to be related to the pancreas; and patients with Zollinger-Ellison syndrome, polycystic kidney disease, cystic fibrosis, chronic pancreatitis, insulinoma, von Hippel-Lindau disease, or pancreas divisum.

CT Technique

All CT examinations were performed with a Somatom Sensation 16-MDCT scanner (Siemens Medical Solutions) using a range of protocols depending on the clinical indication for the examination. Detector row configuration was either 0.625 mm or 1.25 mm and reconstruction thickness ranged from 3 to 5 mm. Depending on the protocol used, IV contrast acquisitions may have included an arterial phase (25–30 seconds), portal venous phase (50–70 seconds), and/or delayed phase (4–5 minutes). All studies had at least one contrast-enhanced phase, usually the portal ven ous phase. Some studies performed for suspected renal ab normalities included arterial and excre tory phase imaging as well.

Data Collection

All CT scans were retrospectively reviewed by one of four attending radiologists in the division of body CT, using Ultravisual Software (Ema geon). CT studies were reviewed in reverse chronological order, so that if a patient underwent more than one CT examination during the study period, only the most recent examination was reviewed. Axial sections were reviewed at the workstation with a soft-tissue window (width, 410 HU; level, 7 HU), and measurements were performed with an electronic caliper measuring tool. The following data were collected for each scan: the presence, size, and location of all pancreatic cysts; whether a mural nodule was present; and the largest diameter of the pancreatic duct. If a cyst was identified, then the CT was re-reviewed by two attending body CT radiologists in con sensus to confirm that the lesion identified was a pancreatic cyst. The patient's complete record was then manually reviewed to determine if the cyst had been reported previously. The patient's age, race, sex, and medical and surgical history were also reviewed. The indication for the exami nation was obtained from the CT report.

For reporting purposes, the pancreatic head was defined as the portion of the gland that lies to the right of the superior mesenteric vein and gives rise to the uncinate process. The pancreatic neck lies immediately anterior to the superior mesenteric vessels. The body is the portion of the pancreas that lies to the left of the superior mesenteric vessels. The tail is not always well demarcated from the body on CT. However, for this study, the tail was defined as the distal tip of the pancreas, which extends into the splenic hilum.

Data were recorded in Microsoft Access. The prevalence of cysts by age, race, sex, and indication for CT was examined using univariate and multivariate logistic regression. Linear regres sion (univariate and multivariate) was used to assess whether cyst size varied by location, sex, race, age, and location of cyst. All statistical analysis was conducted using Stata version 9.0 (Stata Software).

Samples of the CT scans we reviewed are presented in Figures 1A, 1B, 2A, 2B, 3, 4.

Results

MDCT scans were reviewed for the 2,832 patients who fulfilled the inclusion criteria. The mean age of the patients was 58.2 years and 49% were women. Seventy-three cysts were detected during the study, yielding a prevalence of 2.6 per 100 individuals (95% CI, 2.0–3.2) for newly discovered asymptomatic pancreatic cysts at outpatient CT. A summary of findings is presented in Table 1.

The prevalence of cysts increased with increasing age, with the highest prevalence in individuals 80–89 years, at 8.7 per 100 individuals (95% CI, 4.6–12.9). No cysts were identified in the 332 patients who were less than 40 years old or in the 13 who were greater than 90 years old who underwent CT. The oldest individual who underwent CT was 95 years. There was no difference by sex in the prevalence of cysts (p = 0.527). The prevalence of cysts was similar between racial or ethnic groups except for Asians, who had an overall prevalence of 4.7 per 100 (95% CI, –0.6 to 10.2). However, only a limited number of patients reported Hispanic ethnicity (30 individuals, all with no evidence of cysts), thus limiting our ability to examine the prevalence of cysts in detail in this group. Overall, the prevalence of cysts did not differ significantly by indication for CT.

To further examine the impact of age and race on the prevalence of cysts, multivariate logistic regression analysis was conducted (Table 2). Neither sex nor indication for CT was predictive of cyst prevalence, and therefore these criteria were excluded from the final model. The relationship between increasing age and increasing prevalence of cysts was still present after controlling for race, with the odds of a cyst being present increasing by 1.06 (95% CI, 1.04–1.08) for each increasing year. When we examined the prevalence of cysts in Asians compared with all other racial or ethnic groups combined while controlling for age, Asians had an increased odds ratio of 3.57 (95% CI, 1.05–12.13) of having a pancreatic cyst compared with whites.

When we examined the prevalence of cysts by location in the pancreas (head, neck, body, tail, and uncinate) there were no significant differences, as reported in Table 3. However, cysts in the body were more prevalent in men (0.83 per 100; 95% CI, 0.36–1.30) and cysts in the uncinate less prevalent (0.28; 95% CI, 0.05–0.57). Conversely, within women, tail cysts were slightly more prevalent at 0.87 per 100 (95% CI, 0.38–1.4).

Among patients with a cyst, the size of the cyst (or size of the largest cyst among those with more than one cyst) was examined to determine if it varied by age, sex, race, or location (Table 4). Overall, cysts ranged from 2 to 38 mm, with a mean size of 8.9 mm. Cysts were on average 3.6 mm larger (p = 0.014) in men compared with women. Cyst size did not vary by race or location; however, cysts were slightly larger among those 80–89 years old, with an average size of 12.3 mm (p = 0.078) in this age group. There was only one patient found to have a cyst greater than 3 cm: an 80-year-old white man. Yet, after excluding this case, cysts were still larger by 10.6 mm (p = 0.169) in this age group.

Eleven patients were found to have more than one cyst. Six of the patients were men, two were Asian, and the average age was 68 years (age range, 40–87 years). Furthermore, seven of the 11 patients had two pancreatic cysts, and four had more than two lesions. Among the 11 patients with multiple cysts, only in four cases was the size of the largest cyst comparable (within 20%) to the size of the second largest cyst.

The largest duct diameter was investigated in patients seen to have a cyst, and it was measurable in 52 of 73 patients (we considered a measurement of zero to be nonmeasurable). Where measurable, the largest duct diameter had a mean of 2.5 mm with a range of 1–5.3 mm. There did not appear to be a strong linear correlation between duct diameter and cyst size (p = 0.241). Finally, all cysts were examined for mural nodules, but none was identified.

Discussion

Only limited data are available on the incidence or prevalence of pancreatic cysts in the general population, and when reported, the frequency at which pancreatic cysts are detected has varied from as low as 0.7% to as high as 36.7% [6, 9]. At the low end of the detection spectrum, Spinelli et al. [6] reported on 24,039 MRI and CT scans identified by a computerized search for specific terms and reported that 0.7% of those without any mention of pancreatitis were found to have pancreatic cysts. This figure may be an underestimation because the study was over a 7-year period from 1995 to 2002 and included 4-, 8-, and 16-MDCT, and a wide variety of imaging techniques and protocols was used. Also, data were derived from dictated reports, and the CT scans were not rereviewed specifically for pancreatic cysts.

A study by Zhang et al. [7] reviewed the spin-echo MR images of 1,444 patients specifically for the presence of cysts and found a prevalence of 19.6%. This was from a group of all patients who underwent MRI, which included the pancreas, with no bias for or against pancreatic symptoms. Thus, these were not all asymptomatic cysts, precluding direct comparison with our results.

Similarly, a study of 300 autopsy cases found that 24.3% had pancreatic cystic lesions [8]. This series was from a Japanese geriatric hospital and included all patients with no bias for or against pancreatic disease. Therefore, again, these were not unsuspected cysts. The higher percentage of patients with a pancreatic cyst in this study may also be due to the (presumably) predominantly Asian race; older age of the population (85% were 65 years or older); resolution of gross examination of the pancreas as compared with imaging; or, as noted earlier, that these cysts were not all incidentally discovered.

Fig. 1A

Fig. 1A —75-year-old white woman with two pancreatic cysts. Transverse contrast-enhanced CT scan shows 14-mm cyst (arrow) in head of pancreas. Common duct (arrowhead) is also seen.

Fig. 1B

Fig. 1B —75-year-old white woman with two pancreatic cysts. Transverse CT image cephalad to A shows 13-mm cyst (arrow) in body of pancreas.

At the high end of the detection spectrum, Fernandez-del Castillo and colleagues [9] studied the records of 212 patients with pancreatic cystic lesions seen at Massachusetts General Hospital and found that 36.7% were asymptomatic. However, this definition was based on the criterion that the cysts were discovered during evaluation for a different medical problem even if some of those patients had “low-intensity symptoms” that could be potentially related to the pancreatic cystic lesion. We also do not know the denominator of this study—that is, the total number of asymptomatic patients examined to identify those with a pancreatic cyst.

Some of the wide variation in numbers reported in these series is the result of the misuse of the terms “incidence” and “prevalence” [10] and some by the use of the ambiguous term “incidentaloma” [11]. In our analysis we specifically excluded any cysts already known before the start of the study period. Furthermore, our exclusion criteria were very broad and precluded inclusion of patients with symptoms that were attributed to the pancreas, a history suggestive of pancreatic disease, or pancreatic disease risk factors. This was necessary because our hospital is a tertiary referral center for pancreatic disease, and it helped to ensure that any cysts included were truly asymptomatic and unsuspected findings.

The likelihood of having a pancreatic cyst correlated with increasing age in our study, similar to both the MRI study and the autopsy-based study [7, 8]. On MRI, it was noted that 4.8% of cysts were found in patients less than 30 years old [7]—we found none less than 40 years old. Also similar to our study, the MRI series found no significant difference in prevalence of cysts with respect to sex [7]. Although we found a strong correlation between Asian race and cyst prevalence, we have identified no other series with similar findings.

Fig. 2A

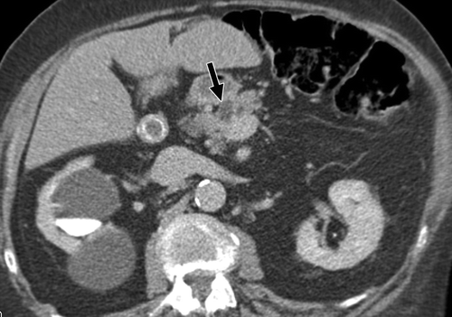
Fig. 2A —82-year-old white man with cyst in pancreas and dilated pancreatic duct. Transverse image from delayed contrast-enhanced CT scan shows 14-mm cyst (arrow) in head of pancreas.

Fig. 2B

Fig. 2B —82-year-old white man with cyst in pancreas and dilated pancreatic duct. Transverse image from delayed contrast-enhanced CT scan shows largest diameter of pancreatic duct (arrowheads) was 5.2 mm.

The reported distribution of cysts within the pancreas varies among series. In the autopsy series, they were identified marginally more often in the tail than the head [8], and on MRI, they were seen mainly in the body of the pancreas [7]. In our study, we found no significant differences in the distribution of cysts. However, in women, tail cysts were slightly more prevalent at 0.87 per 100 (95% CI, 0.38–1.40). It is known that a particular type of cyst (mucinous cystic neoplasm) is most commonly found in the tail of perimenopausal women; however, such cysts are typically large (mean, 10 cm) [12] and unlikely to account fully for this finding.

Fig. 3

Fig. 3 —84-year-old white woman. Transverse image from IV contrast-enhanced CT scan shows 3-mm cyst (arrow) in neck of pancreas.

Fig. 4

Fig. 4 —77-year-old white man. Transverse image from IV contrast-enhanced CT scan shows 24-mm cyst (arrow) in tail of pancreas.

A key difference between the results of our study and other series is the number of patients with multiple cysts in the pancreas. Both the previously noted autopsy and MRI studies reported significantly more patients with multiple cysts than we noted on MDCT. In this study, we found that 11 patients, or 15% of all patients found to have cysts, had more than one cyst. On MRI, 23% of the patients with a cyst had two cysts, and 21.2% had more than two cysts [7]. At autopsy, half the pancreata with cystic changes had one lesion, 40% had 2–5 lesions, and 12% had more than six lesions [8]. However, neither of these studies excluded patients with pancreatic disease and the autopsy investigation involved older patients, both factors that may account for the presence of multiple cysts.

If we extrapolate from other series, of the 73 patients in whom we found lesions, we can expect that some of them are neoplastic or premalignant [9] lesions such as intraductal papillary mucinous neoplasms, and thus these lesions certainly cannot be dismissed. The challenge then becomes which cysts can be ignored, which should be carefully followed, and which should be surgically resected.

Although further studies are needed in which patients with incidentally discovered cysts are followed, there is some evidence-based medicine that can guide the management of these patients today. Tanno et al. [13] followed 82 patients with branch-duct type intraductal papillary mucinous neoplasms without a mural nodule for a median of 61 months, and nine (11%) of the 82 showed some progression on follow-up. None of these patients developed an invasive cancer during the study. Thus it would seem reasonable to manage these patients using an algorithm that includes size of the lesion, imaging characteristics, clinical aspects, and further tests such as endoscopic sonography or fine-needle aspiration [14, 15]. For example, Allen and Brennan [15] proposed that selected patients with mucinous cysts without a solid component and of less than 3-cm diameter can be safely followed because the risk of malignancy approximates the risk of mortality from surgical resection. Further study to determine the natural history and histologic subtype of the lesions identified will be a great aid in further refining these algorithms.

Several aspects of our study need to be kept in mind when considering our results. Because our facility is a tertiary referral center for pancreatic cancer, an exhaustive list of exclusions was used, as detailed in the Materials and Methods section, to ensure that the cysts found were truly representative of the prevalence in the wider population. The retrospective nature of the study is not ideal for generating a random sample but was necessary to organize the reviewing of cases in a time-efficient manner. The MDCT data acquisition and reconstruction technique was not uniform across all subjects. Uniform use of submillimeter detector sections and 2 to 3 mm reconstruction sections in all subjects could have potentially revealed more small pancreatic cysts. Our study is strengthened because experienced radiologists re-reviewed all of the MDCT images specifically to look for cysts as opposed to relying on dictated reports. No standards were set in advance for detection criteria, and concordance among radiologists was not measured. If a patient had a cyst that diminished sufficiently in size between two CT scans over the year, that cyst may not have been identified in our study because only the later scan would have been reviewed. However, the frequency of such an occurrence is assumed to be low. Finally, even though this study population was multiracial, whites and blacks significantly outnumbered Asians and other races, reflecting the overall Johns Hopkins Hospital patient population.

In conclusion, with advancements in CT technology and improved spatial resolution, unsuspected small pancreatic cysts are being detected with increased frequency. In the outpatient population in this study, the prevalence of unsuspected, asymptomatic cysts identified on 16-MDCT was 2.6%. Presence of a cyst showed a strong correlation with increasing age as well as the Asian race. This determination will provide a framework for the rational evidence-based management of unsuspected pancreatic cysts.

Footnotes

Address correspondence to K. M. Horton ([email protected]).

A. P. Klein was supported by the Cigarette Restitution Fund and the Gastrointestinal Cancer SPORE 5 P50 CA62924 (Kern) Program of the National Cancer Institute.

Received October 24, 2007.

Accepted March 20, 2008.

© American Roentgen Ray Society

References

1. American Cancer Society. Cancer, facts and figures 2007. www.cancer.org/downloads/STT/CAFF2007PWSecured.pdf. Accessed September 17, 2007

2. Winter JM, Cameron JL, Campbell KA, et al. 1423 pancreaticoduodenectomies for pancreatic cancer: a single-institution experience. J Gastrointest Surg 2006;10 :1199 –1210

3. Jemal A, Siegel R, Ward E, Murray T, Xu J, Thun MJ. Cancer statistics, 2007. CA Cancer J Clin 2007;57 : 43–66

4. Hruban RH, Pitman MB, Klimstra DS. Atlas of tumor pathology: tumors of the pancreas, 4th ed. Washington, DC: American Registry of Pathology and Armed Forces Institute of Pathology,2007

5. Hruban RH, Takaori K, Canto M, et al. Clinical importance of precursor lesions in the pancreas. J Hepatobiliary Pancreat Surg 2007; 14:255 –263

6. Spinelli KS, Fromwiller TE, Daniel RA, et al. Cystic pancreatic neoplasms: observe or operate. Ann Surg2004 ; 239:651 –657

7. Zhang XM, Mitchell DG, Dohke M, Holland GA, Parker L. Pancreatic cysts: depiction on single-shot fast spin-echo MR images. Radiology 2002;223 : 547–553

8. Kimura W, Nagai H, Kuroda A, Muto T, Esaki Y. Analysis of small cystic lesions of the pancreas. Int J Pancreatol1995 ; 18:197 –206

9. Fernandez-del Castillo C, Targarona J, Thayer SP, Rattner DW, Brugge WR, Warshaw AL. Incidental pancreatic cysts: clinicopathologic characteristics and comparison with symptomatic patients. Arch Surg 2003; 138:427 –433

10. Shuman WP. Incidence and prevalence: proper use. AJR 1985; 145:649 –650

11. Mirilas P, Skandalakis JE. Benign anatomical mistakes: incidentaloma. Am Surg 2002;68 :1026 –1028

12. Maitra A, Fukushima N, Takaori K, Hruban RH. Precursors to invasive pancreatic cancer. Adv Anat Pathol 2005;12 : 81–91

13. Tanno S, Nakano Y, Nishikawa T, et al. Natural history of branch duct intraductal papillary-mucinous neoplasms of the pancreas without mural nodules: long-term follow-up results. Gut2008 ; 57:339 –343

14. Sahani DV, Saokar A, Hahn PF, Brugge WR, Fernandez-del Castillo C. Pancreatic cysts 3 cm or smaller: how aggressive should treatment be? Radiology 2006;238 : 912–919

15. Allen PJ, Brennan MF. A selective approach to the resection of cystic lesions of the pancreas: results from 539 consecutive patients. Ann Surg 2007;245 : 827–828

Privacy Policy

Copyright © 2025 The Johns Hopkins University, The Johns Hopkins Hospital, and The Johns Hopkins Health System Corporation. All rights reserved.