Adjustable Laparoscopic Gastric Banding: Demonstrated on Multidetector Computed Tomography With Multiplanar Reformation and 3-Dimensional Imaging
Kawamoto, Satomi MD; Fishman, Elliot K. MD
Author Information
From the Russell H. Morgan Department of Radiology and Radiological Science, Johns Hopkins Hospital, Baltimore, MD.
Received for publication January 8, 2008; accepted January 8, 2008.
Reprints: Satomi Kawamoto, MD, Department of Radiology, Johns Hopkins Hospital, 601 N Caroline St, Baltimore, MD 21287 (e-mail: [email protected]).
Abstract
Laparoscopic adjustable gastric banding (LAGB) is a widely performed surgical procedure for morbid obesity in Europe and Australia. An upper gastrointestinal examination is usually used to assess for band placement and possible complications. Computed tomography (CT) is not used routinely but may be beneficial to evaluate LAGB and possible complications. Also, LAGB may be incidentally demonstrated on CT. We report 2 patients with LAGB that was well demonstrated on multidetector CT with multiplanar reformation and 3-dimensional imaging.
Laparoscopic adjustable gastric banding (LAGB) was introduced in the early 1990s and is today the most commonly performed surgical procedure for morbid obesity in Europe and Australia. It has been shown to result in significant long-term weight loss. However, the Food and Drug Administration did not approve its use in the United States until 2001, and LAGB represents less than 10% of bariatric procedures in the United States. Laparoscopic adjustable gastric banding contains 3 main parts: an adjustable gastric band, connection tubing, and an access port/reservoir. An upper gastrointestinal (GI) examination is usually used to assess for placement of band, pouch size, stoma size, and possible complications such as extraluminal leak or obstruction. Computed tomography (CT) is not used routinely after LAGB but may be beneficial to evaluate gastric banding and possible complications. Also, gastric banding may be incidentally demonstrated on CT performed for other indications. We report 2 cases of LAGB that was well demonstrated on multidetector CT with multiplanar reformation and 3-dimensional imaging.
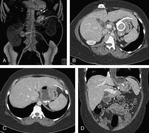
CASE REPORT
Case 1
Case 2
DISCUSSION
Laparoscopic gastric banding was introduced in the early 1990s as a potentially safe, controllable, and reversible means for weight loss in morbidly obese patients. A silicone band is placed around the proximal part of the stomach to create a small gastric pouch. The silicone band has an adjustable inner balloon cuff that is connected by a catheter to a subcutaneous injection reservoir that typically is sutured to the anterior rectus sheath. Percutaneous puncture of the access port allows postoperative adjustment of the stomal diameter of the band by adding or removing saline solution and inflating or deflating a section of the band.
The band may be adjusted several times in case of inadequate weight reduction. The gastric pouch volume created is typically 15 cm3 that restricts oral intake, and initial stomal size is approximately 12 mm in diameter. The inflatable cuff is left empty after surgery, and the stoma may be adjusted postoperatively by inflating the cuff within the band. The optimal volume of saline in the band varies from each patient and is ranged from 1 to 4.5 mL, with an average of 2.5 mL. The ideal stomal size is 3 to 5 mm to achieve an optimal weight loss, and the width of the stoma may be determined at upper GI examination.
Laparoscopic adjustable gastric banding may be associated with complications, such as pouch dilatation, band slippage, access-port and band infection, and band erosion. Other rare complications include gastric bezoars in the pouch. In 1 study, gastric pouch and esophageal dilatation occurred in 6.8% of the 500 patients and was associated with symptoms of gastroesophageal reflux disease, retrosternal chest pain, and progressive dysphagia. In most cases, the dilatation reversed with deflation of the band cuff. Band slippage occurs when the band is dislocated from its appropriate position, including anterior slippage, posterior slippage, and, the most rare, concentric slippage with complete displacement of the band distally. It may be associated with varying degrees of obstruction at the point of slippage. Band erosion is a rare complication, and the band erodes into the gastric lumen incrementally. The complications relate to the port, and tubing complex may occur, including infections, tubing breaks, leaks, kinking, and disconnection. Small bowel obstruction caused by the connecting tube has also been reported.
Upper GI examination after LAGB procedure is important to assess placement of the band, size of the pouch and stoma, and possible complications such as extraluminal leak or obstruction. Computed tomography is not used routinely after LAGB and may not be technically feasible in the most severely obese patients. However, CT may be beneficial to evaluate for a source of infection and to assess for complications. In patients with normal LAGB, CT images should reveal the radiopaque band around the proximal stomach and the attached connecting tubing extending through the anterior abdominal wall to the subcutaneous port. Computed tomography with multiplanar reformation and 3-dimensional imaging is helpful to delineate the entire LAGB, the location and orientation of the band relative to the stomach, the size of the gastric pouch, and possible complications such as band erosion, gastric herniation, and infection.
REFERENCES
1. Ren CJ, Horgan S, Ponce J. US experience with the LAP-BAND system. Am J Surg. 2002;184:46S-50S.
2. Fielding GA, Ren CJ. Laparoscopic adjustable gastric band. Surg Clin North Am. 2005;85:129-140, x.
3. Carucci LR, Turner MA, Szucs RA. Adjustable laparoscopic gastric banding for morbid obesity: imaging assessment and complications. Radiol Clin North Am. 2007;45:261-274.
4. Sarker S, Myers J, Serot J, et al. Three-year follow-up weight loss results for patients undergoing laparoscopic adjustable gastric banding at a major university medical center: does the weight loss persist? Am J Surg. 2006;191:372-376.
5. Wiesner W, Schob O, Hauser RS, et al. Adjustable laparoscopic gastric banding in patients with morbid obesity: radiographic management, results, and postoperative complications. Radiology. 2000;216:389-394.
6. Szucs RA, Turner MA, Kellum JM, et al. Adjustable laparoscopic gastric band for the treatment of morbid obesity: radiologic evaluation. AJR Am J Roentgenol. 1998;170:993-996.
7. Hainaux B, Coppens E, Sattari A, et al. Laparoscopic adjustable silicone gastric banding: radiological appearances of a new surgical treatment for morbid obesity. Abdom Imaging. 1999;24:533-537.
8. Zacharoulis D, Roy-Chadhury SH, Dobbins B, et al. Laparoscopic adjustable gastric banding: surgical and radiological approach. Obes Surg. 2002;12:280-284.
9. Parameswaran R, Ferrando J, Sigurdsson A. Gastric bezoar complicating laparoscopic adjustable gastric banding with band slippage. Obes Surg. 2006;16:1683-1684.
10. Spivak H, Hewitt MF, Onn A, et al. Weight loss and improvement of obesity-related illness in 500 U.S. patients following laparoscopic adjustable gastric banding procedure. Am J Surg. 2005;189:27-32.
11. Wolnerhanssen B, Kern B, Peters T, et al. Reduction in slippage with 11-cm lap-band and change of gastric banding technique. Obes Surg. 2005;15:1050-1054.
12. McNatt SS, Longhi JJ, Goldman CD, et al. Surgery for obesity: a review of the current state of the art and future directions. J Gastrointest Surg. 2007;11:377-397.
13. Hainaux B, Agneessens E, Rubesova E, et al. Intragastric band erosion after laparoscopic adjustable gastric banding for morbid obesity: imaging characteristics of an underreported complication. AJR Am J Roentgenol. 2005;184:109-112.
14. Zappa MA, Lattuada E, Mozzi E, et al. An unusual complication of gastric banding: recurrent small bowel obstruction caused by the connecting tube. Obes Surg. 2006;16:939-941.
15. Srikanth MS, Oh KH, Keskey T, et al. Critical extreme anterior slippage (paragastric Richter's hernia) of the stomach after laparoscopic adjustable gastric banding: early recognition and prevention of gastric strangulation. Obes Surg. 2005;15:207-215, discussion 215.
Key Words: adjustable laparoscopic gastric banding; multidetector CT; multiplanar reformation imaging; 3-dimensional imaging
IMAGE GALLERY
Figure 1 | Figure 2 |




