Vascular Foci in Duodenum: Angiodysplasia ![]() |
![]() |
![]() |
![]() |
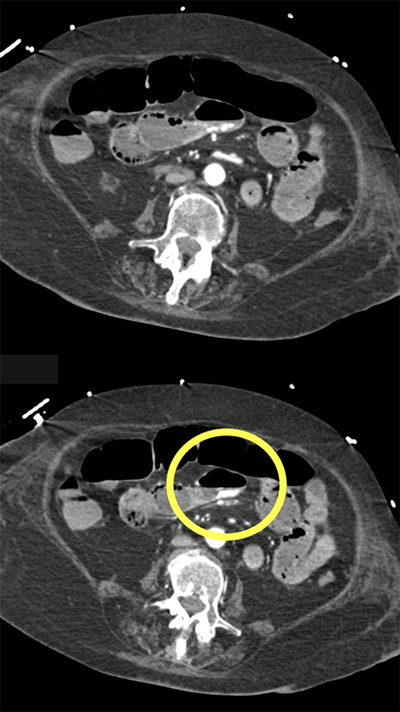
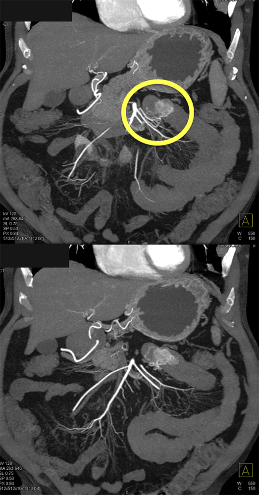
Bleeding Ulcer Small Bowel in Patient with Polymyositis and ILD (Bleed increases Art-Venous) ![]() |
![]() |
![]() |
![]() |
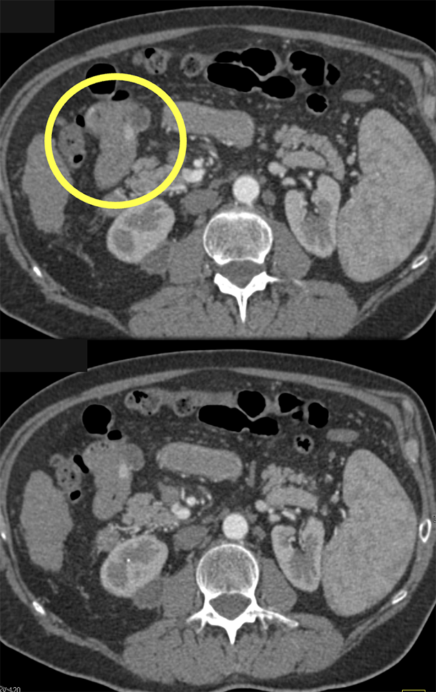
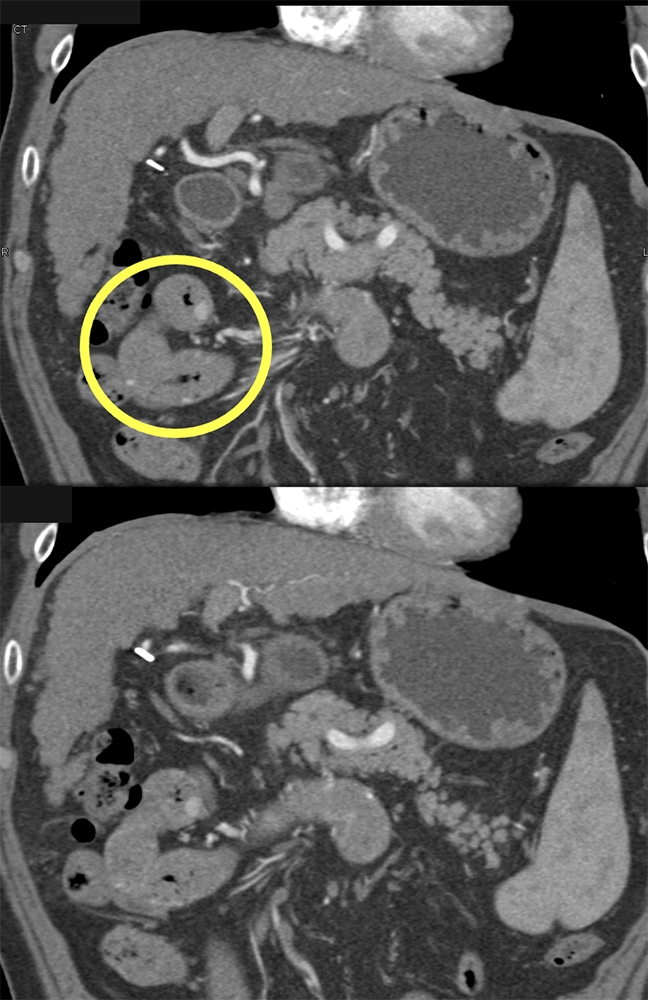
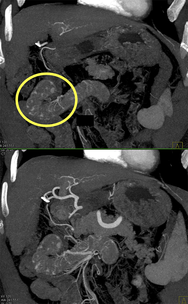
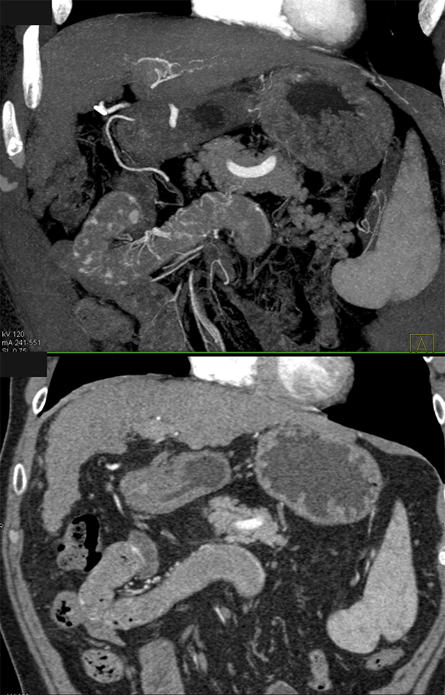
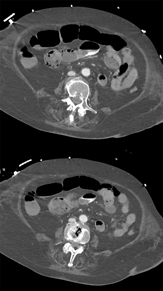
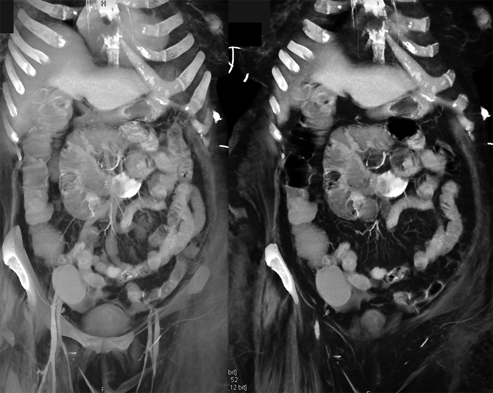
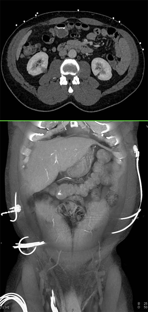
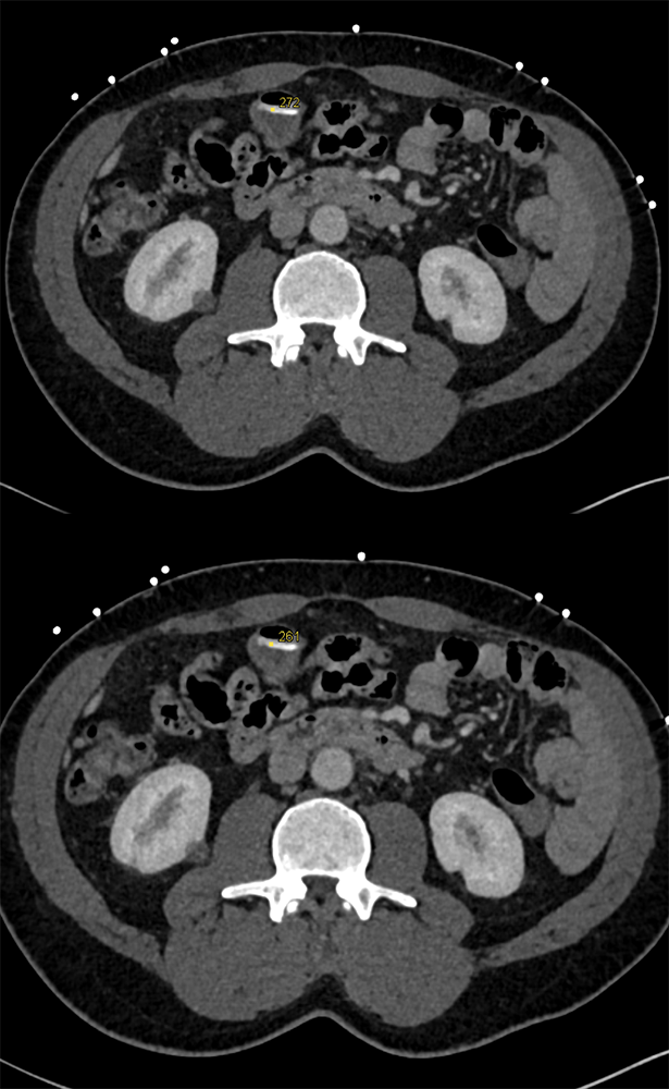
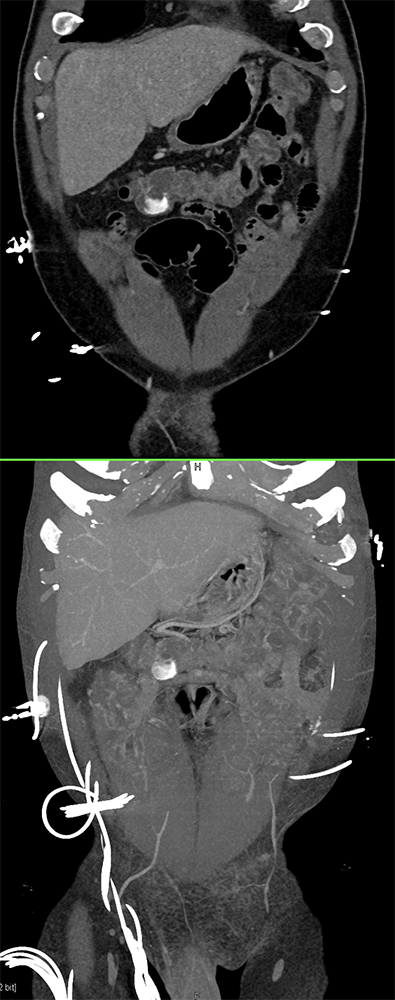
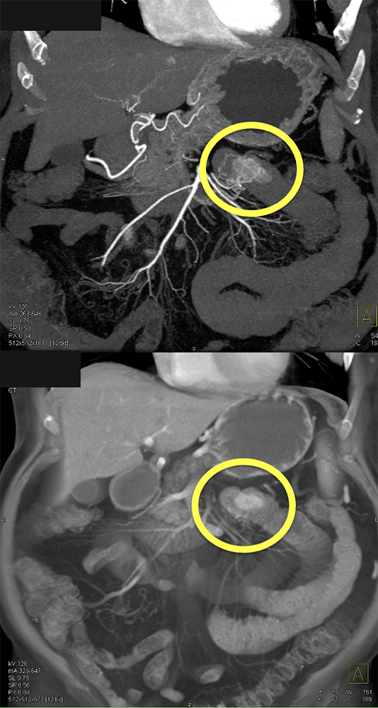
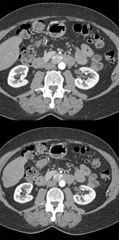
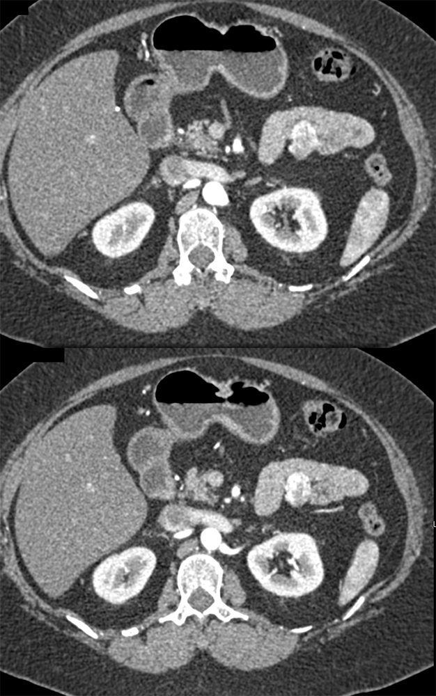
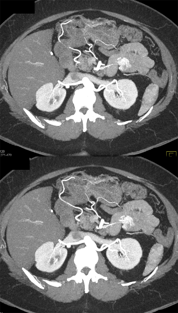
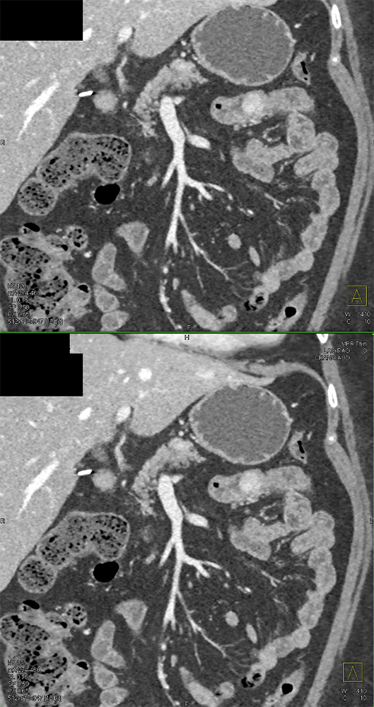
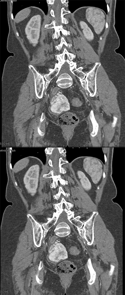
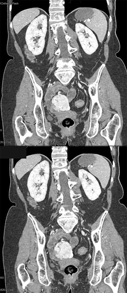
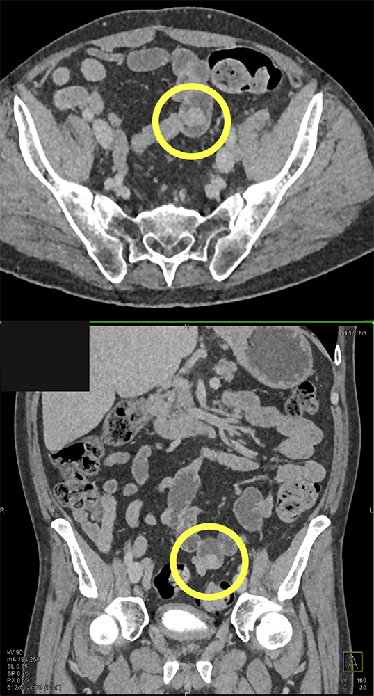
GI Bleed in Patient with Crohn’s and had Atrial Fib on Anticoagulants ![]() |
![]() |
![]() |
![]() |
![]() |
![]() |
![]() |
Small Bowel Neoplasms Clinical Presentation
|
“Small bowel cancer is a rare malignancy that comprises less than 5 % of all gastrointestinal malignancies. The estimated annual incidence is 0.3–2.0 cases per 100,000 persons, with a higher prevalence rates in the black population than the white, and has been recently increasing. It is most frequently diagnosed among people aged 55–64, with the incidence increasing after age 40. The current 5-year survival rate in the USA is 65.5 %; cancer stage at diagnosis has a strong influence on the length of survival.” Small bowel adenocarcinoma of the jejunum: a case report and literature review Li J et al. World Journal of Surgical Oncology 2016; 14:177 |
GIST Tumors: Site of Origin
|
GIST Tumors of the Small Bowel: Clinical Presentation
|
“All patterns of enhancement on contrast enhanced computed tomography (CECT) can be seen with GISTs, including hypoenhancing, isoenhancing, and hyperenhancing tumors. They can be large or small, endoluminal or exophytic. Clinical presentations include asymptomatic patients, nonspecific symptoms, obstruction, and bleeding. Bleeding can take the form of slow, intraluminal GI bleeding or massive intraperitoneal bleeding secondary to rupture and can be seen regardless of the enhancement pattern.” Getting the GIST: a pictorial review of the various patterns of presentation of gastrointestinal stromal tumors on imaging. Scola D et al. Abdom Radiol 2017 May;42(5):1350-1364. |
“Occasionally, patients may present with GI bleeding, which may be occult or take the form of frank hemorrhage with hemodynamic instability. Likewise, tumors can rupture on the external surface, causing intraperitoneal hemorrhage which can be life threatening.” Getting the GIST: a pictorial review of the various patterns of presentation of gastrointestinal stromal tumors on imaging. Scola D et al. Abdom Radiol 2017 My;42(5):1350-1364. |
GIST Tumor Jejunum as the Cause of GI Bleeding ![]() |
![]() |
![]() |
GI Bleed ![]() |
![]() |
![]() |
GIST Tumor Duodenum ![]() |
GI Bleed ![]() |
![]() |
![]() |
![]() |
GI Bleed with Leiomyoma Ileum with Negative Capsule Study ![]() |
![]() |
![]() |
![]() |
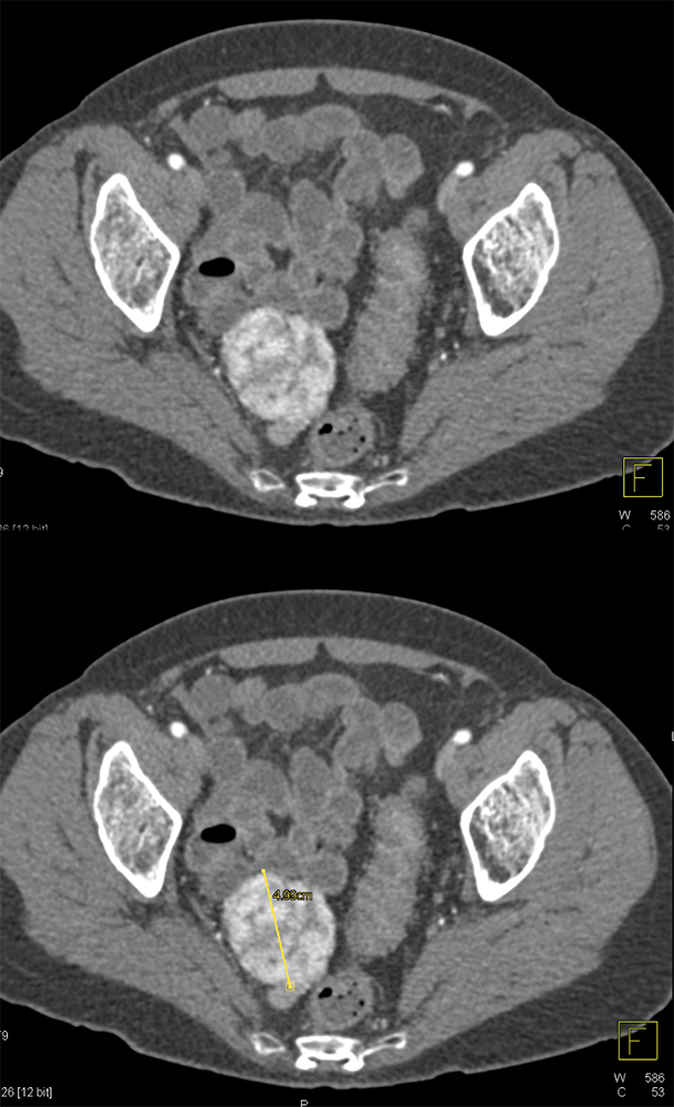
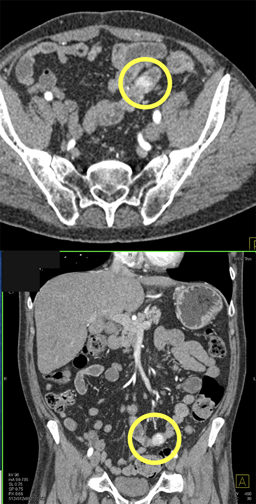
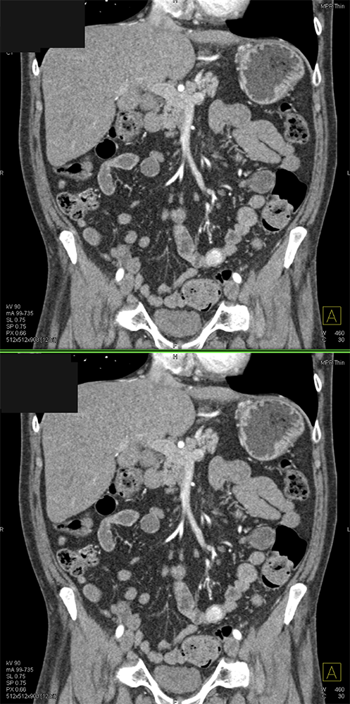
RCC Metastatic to Small Bowel ![]() |
![]() |
![]() |
![]() |


































