
- 6
- 7
- ,
- 0
- 3
- 6
To Quiz Yourself: Select OFF by clicking the button to hide the diagnosis & additional resources under the case.
Quick Browser: Select ON by clicking the button to hide the additional resources for faster case review.
CASE NUMBER
1,191
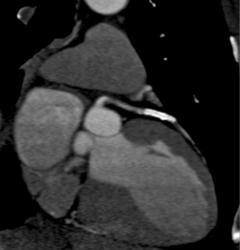
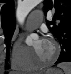
Diagnosis
Stent in LAD and Diseased RCA
THIS IS CASE
1,191
OF
8,647
