
- 6
- 7
- ,
- 0
- 3
- 6
To Quiz Yourself: Select OFF by clicking the button to hide the diagnosis & additional resources under the case.
Quick Browser: Select ON by clicking the button to hide the additional resources for faster case review.
CASE NUMBER
1,189
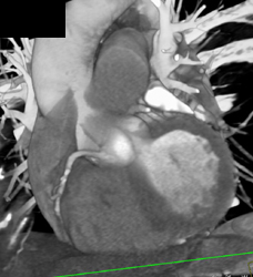
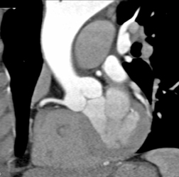
Diagnosis
Stent in LAD and It Is Patent
THIS IS CASE
1,189
OF
8,647
