
- 1
- 4
- ,
- 3
- 6
- 6
To Quiz Yourself: Select OFF by clicking the button to hide the diagnosis & additional resources under the case.
Quick Browser: Select ON by clicking the button to hide the additional resources for faster case review.
CASE NUMBER
24
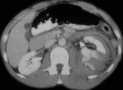
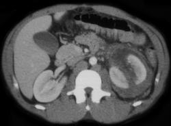
Diagnosis
Subcapsular Hematoma
THIS IS CASE
24
OF
1,515
