
- 1
- 4
- ,
- 3
- 6
- 6
To Quiz Yourself: Select OFF by clicking the button to hide the diagnosis & additional resources under the case.
Quick Browser: Select ON by clicking the button to hide the additional resources for faster case review.
CASE NUMBER
22
Diagnosis
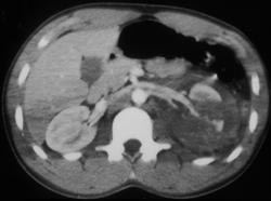
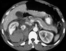
Renal Laceration With Contrast Extravasation on Delayed Scan
THIS IS CASE
22
OF
1,515
