google ads
Number of Images to Date
  • 1
  • 4
  • ,
  • 3
  • 6
  • 6

To Quiz Yourself: Select OFF by clicking the button to hide the diagnosis & additional resources under the case.

Quick Browser: Select ON by clicking the button to hide the additional resources for faster case review.

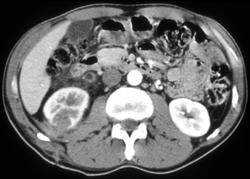
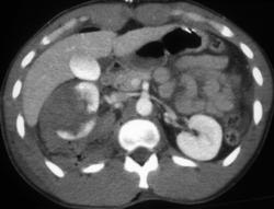
CASE NUMBER 20
Diagnosis

Renal Laceration

Diagnosis Hidden - Click to View
Related videos to the case

Privacy Policy

Copyright © 2025 The Johns Hopkins University, The Johns Hopkins Hospital, and The Johns Hopkins Health System Corporation. All rights reserved.