
- 1
- 1
- ,
- 6
- 5
- 8
To Quiz Yourself: Select OFF by clicking the button to hide the diagnosis & additional resources under the case.
Quick Browser: Select ON by clicking the button to hide the additional resources for faster case review.
CASE NUMBER
214
Diagnosis
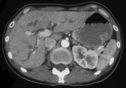
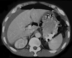
Subtle Gastric Cancer Nearly Missed By Food in the Stomach
THIS IS CASE
214
OF
2,029
