
- 1
- 1
- ,
- 6
- 5
- 8
To Quiz Yourself: Select OFF by clicking the button to hide the diagnosis & additional resources under the case.
Quick Browser: Select ON by clicking the button to hide the additional resources for faster case review.
CASE NUMBER
212
Diagnosis
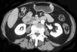
Pneumoperitoneum Due to Perforated Gastric Ulcer
THIS IS CASE
212
OF
2,029
