
- 4
- 6
- ,
- 8
- 0
- 8
To Quiz Yourself: Select OFF by clicking the button to hide the diagnosis & additional resources under the case.
Quick Browser: Select ON by clicking the button to hide the additional resources for faster case review.
CASE NUMBER
1,716
Diagnosis
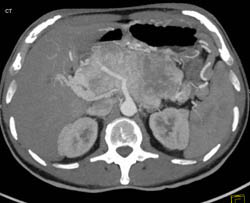
Partial Superior Mesenteric Vein (SMV) Occlusion By Thrombus
THIS IS CASE
1,716
OF
6,284
