
- 4
- 6
- ,
- 8
- 0
- 8
To Quiz Yourself: Select OFF by clicking the button to hide the diagnosis & additional resources under the case.
Quick Browser: Select ON by clicking the button to hide the additional resources for faster case review.
CASE NUMBER
1,714
Diagnosis
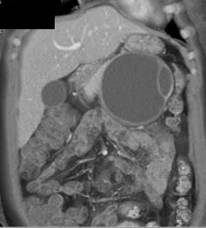
Islet Cell Tumor With Cavernous Transformation of the Portal Vein (CTPV) and Splenic Vein Occlusion
THIS IS CASE
1,714
OF
6,284
