
- 4
- 6
- ,
- 8
- 0
- 8
To Quiz Yourself: Select OFF by clicking the button to hide the diagnosis & additional resources under the case.
Quick Browser: Select ON by clicking the button to hide the additional resources for faster case review.
CASE NUMBER
1,697
Diagnosis
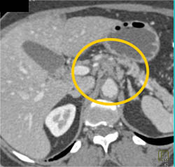
Superior Mesenteric Vein (SMV) Clot Due to Pancreatitis
THIS IS CASE
1,697
OF
6,284
