
- 4
- 6
- ,
- 8
- 0
- 8
To Quiz Yourself: Select OFF by clicking the button to hide the diagnosis & additional resources under the case.
Quick Browser: Select ON by clicking the button to hide the additional resources for faster case review.
CASE NUMBER
1,696
Diagnosis
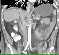
Subtle Tumor of Body of the Pancreas Encases the SMA and Aorta
THIS IS CASE
1,696
OF
6,284
