
- 4
- 6
- ,
- 8
- 0
- 8
To Quiz Yourself: Select OFF by clicking the button to hide the diagnosis & additional resources under the case.
Quick Browser: Select ON by clicking the button to hide the additional resources for faster case review.
CASE NUMBER
1,653
Diagnosis
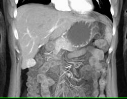
Focal Nodular Hyperplasia (FNH) Right Lobe of Liver on Multiple Phases
THIS IS CASE
1,653
OF
6,284
