
- 4
- 6
- ,
- 8
- 0
- 8
To Quiz Yourself: Select OFF by clicking the button to hide the diagnosis & additional resources under the case.
Quick Browser: Select ON by clicking the button to hide the additional resources for faster case review.
CASE NUMBER
1,649
Diagnosis
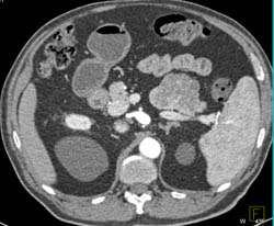
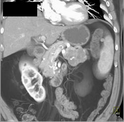
Islet Cell Tumor Occludes the Splenic Vein An Portal Vein
THIS IS CASE
1,649
OF
6,284
