
- 4
- 6
- ,
- 7
- 3
- 5
To Quiz Yourself: Select OFF by clicking the button to hide the diagnosis & additional resources under the case.
Quick Browser: Select ON by clicking the button to hide the additional resources for faster case review.
CASE NUMBER
1,349
Diagnosis
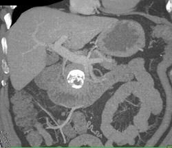
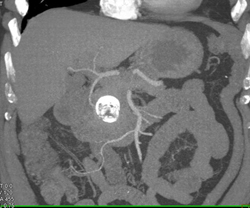
Occlusion of Splenic Vein By Pancreatic Cancer
THIS IS CASE
1,349
OF
6,278
