
- 4
- 6
- ,
- 7
- 3
- 5
To Quiz Yourself: Select OFF by clicking the button to hide the diagnosis & additional resources under the case.
Quick Browser: Select ON by clicking the button to hide the additional resources for faster case review.
CASE NUMBER
1,347
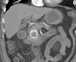
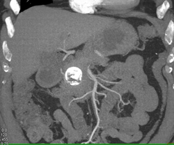
Diagnosis
Pseudocyst
THIS IS CASE
1,347
OF
6,278
