
- 4
- 6
- ,
- 7
- 3
- 5
To Quiz Yourself: Select OFF by clicking the button to hide the diagnosis & additional resources under the case.
Quick Browser: Select ON by clicking the button to hide the additional resources for faster case review.
CASE NUMBER
482
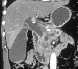
Diagnosis
Pancreatic Cancer With Portal Vein Invasion
THIS IS CASE
482
OF
6,278
