
- 4
- 6
- ,
- 7
- 3
- 5
To Quiz Yourself: Select OFF by clicking the button to hide the diagnosis & additional resources under the case.
Quick Browser: Select ON by clicking the button to hide the additional resources for faster case review.
CASE NUMBER
481
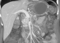
Diagnosis
Collateral Vessels Due to Splenic Vein Occlusion
THIS IS CASE
481
OF
6,278
