
- 3
- 3
- ,
- 2
- 3
- 7
To Quiz Yourself: Select OFF by clicking the button to hide the diagnosis & additional resources under the case.
Quick Browser: Select ON by clicking the button to hide the additional resources for faster case review.
CASE NUMBER
4,354
Diagnosis
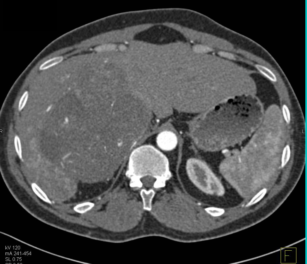
Cholangiocarcinoma with Stent and Bulky Nodes in Porta Hepatitis
THIS IS CASE
4,354
OF
6,079
