
- 3
- 3
- ,
- 2
- 3
- 7
To Quiz Yourself: Select OFF by clicking the button to hide the diagnosis & additional resources under the case.
Quick Browser: Select ON by clicking the button to hide the additional resources for faster case review.
CASE NUMBER
4,352
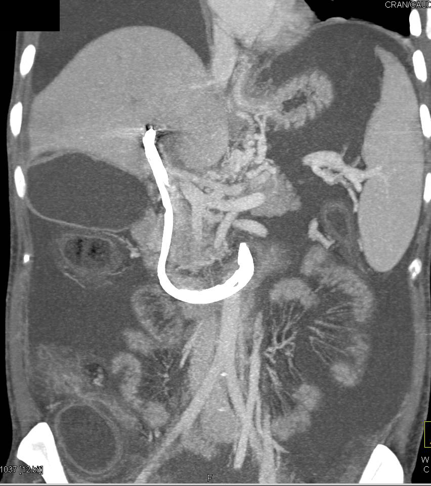
Diagnosis
Hepatocellular Carcinoma (Hepatoma) with Neovascularity Arising in a Cirrhotic Liver. Arteriovenous (AV) Shunting Also Seen
THIS IS CASE
4,352
OF
6,079
