
- 5
- 2
- ,
- 3
- 1
- 4
To Quiz Yourself: Select OFF by clicking the button to hide the diagnosis & additional resources under the case.
Quick Browser: Select ON by clicking the button to hide the additional resources for faster case review.
CASE NUMBER
6,951
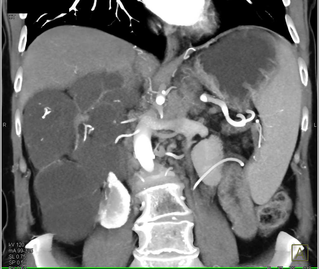
Diagnosis
Mixed Epithelial Stromal Tumor (MEST) Kidney
THIS IS CASE
6,951
OF
8,290
