
- 5
- 2
- ,
- 3
- 1
- 4
To Quiz Yourself: Select OFF by clicking the button to hide the diagnosis & additional resources under the case.
Quick Browser: Select ON by clicking the button to hide the additional resources for faster case review.
CASE NUMBER
6,949
Diagnosis
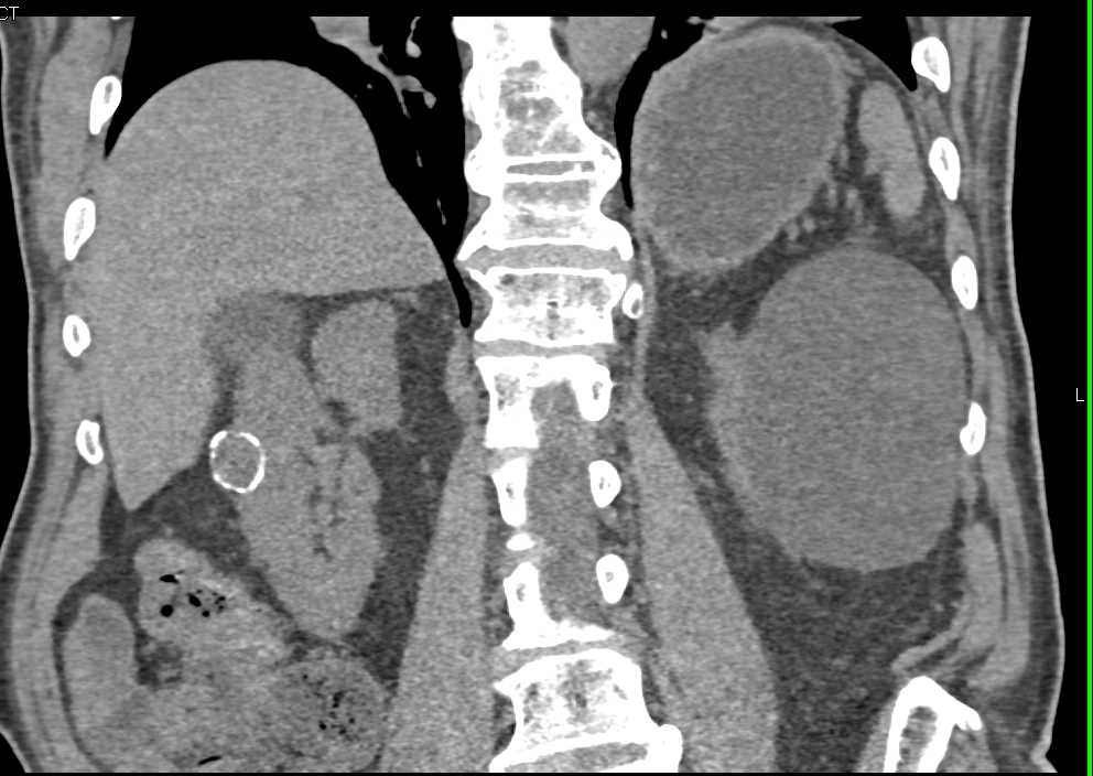
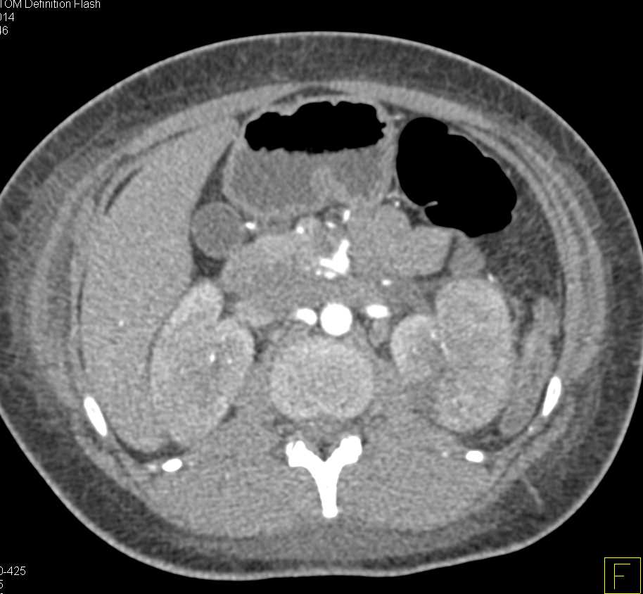
MEST or Mixed Epithelial Stromal Tumor
THIS IS CASE
6,949
OF
8,290
