
- 3
- 0
- ,
- 0
- 8
- 2
To Quiz Yourself: Select OFF by clicking the button to hide the diagnosis & additional resources under the case.
Quick Browser: Select ON by clicking the button to hide the additional resources for faster case review.
CASE NUMBER
1,390
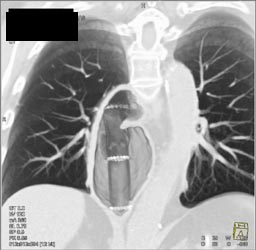
Diagnosis
Increased Pulmonary Blood Flow to Lower Lung Fields
THIS IS CASE
1,390
OF
4,999
