
- 3
 - 0
 - ,
 - 0
 - 8
 - 2
 
To Quiz Yourself: Select OFF by clicking the button to hide the diagnosis & additional resources under the case.
Quick Browser: Select ON by clicking the button to hide the additional resources for faster case review.
CASE NUMBER
  1,388
  
  
	
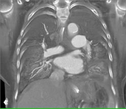
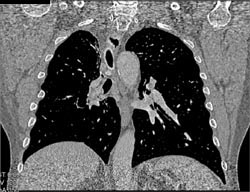
    Diagnosis
  
Neurogenic Sarcoma
	 THIS IS CASE
     1,388
       
	    OF
		4,999
   
       
     
   