
- 2
- 4
- ,
- 4
- 4
- 1
To Quiz Yourself: Select OFF by clicking the button to hide the diagnosis & additional resources under the case.
Quick Browser: Select ON by clicking the button to hide the additional resources for faster case review.
CASE NUMBER
2,225
Diagnosis
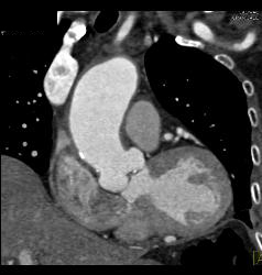
Supravalvular Stenosis and Prior Myocardial Infarction
THIS IS CASE
2,225
OF
4,102
