
- 2
- 4
- ,
- 4
- 4
- 1
To Quiz Yourself: Select OFF by clicking the button to hide the diagnosis & additional resources under the case.
Quick Browser: Select ON by clicking the button to hide the additional resources for faster case review.
CASE NUMBER
2,224
Diagnosis
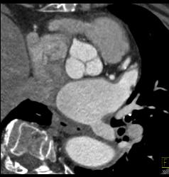
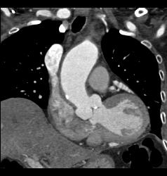
Supravalvular Stenosis and Prior Myocardial Infarction
THIS IS CASE
2,224
OF
4,102
