
- 3
- 1
- 6
To Quiz Yourself: Select OFF by clicking the button to hide the diagnosis & additional resources under the case.
Quick Browser: Select ON by clicking the button to hide the additional resources for faster case review.
CASE NUMBER
106
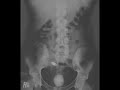
Diagnosis
Bladder stone
Note
This is a 35 year old male who presents with abdominal pain. He has a history of paraplegia following a motor vehicle collision. Frontal radiographs demonstrates a large calcification in the pelvis. The second frontal radiograph demonstrates a lamellated appearance of the calcification. Differential diagnosis for a calcification in the pelvis is broad and includes calcified uterine fibroids, pelvic phelobiliths in paraovarian veins, appendicoliths, bladder stones, atherosclerotic disease, and prostate calcifications. The large size of this calcification as well as the lamellated appearance is most consistent with a large bladder calculus. The most common causes of bladder calculi include a neurogenic bladder in the setting of paralysis as well as chronic bladder outlet obstruction.
THIS IS CASE
106
OF
129
